胰腺癌(pancreatic carcinoma,PC)是一类早期诊断困难、恶性程度极高、预后极差的消化系统恶性肿瘤。由于生存率低于大多常见癌症,诊疗挑战大,胰腺癌也称为“癌症之王”,意大利男高音帕瓦罗蒂,香港明星“肥姐”沈殿霞都没有战胜这个魔头。胰腺癌唯一的根治方法是手术切除,但大多数患者在发病时就已无法切除或发生转移,因此,系统性治疗对大多数患者是必要的选择。随着肿瘤免疫学及肿瘤微环境研究的深入,免疫治疗称为胰腺癌继手术、放疗、化疗之后的治疗手段,其研究方向也从单纯免疫治疗向联合治疗转化。为此,由我,武汉大学人民医院肿瘤IV科陈永顺教授及团队给大家分享一例免疫联合方案治疗胰腺癌多发转移的病例,以增加患友们的信心。

陈永顺
肿瘤学博士、教授、主任医师;武汉大学博士生导师、博士后合作导师;武汉大学人民医院肿瘤四科主任,肿瘤中心副主任;澳洲Peter MacCallum Cancer Center博士后;中华医学会放射肿瘤治疗学分会第八届青年委员;中国生物医学工程学会肿瘤分子靶向治疗专委会委员;欧美同学会医师协会肝胆分会常务委员;湖北省临床肿瘤学会精准放疗专家委员会主任委员;湖北省医学会放射肿瘤治疗学会副主任委员;湖北省抗癌协会胰腺癌专业委员会副主任委员
病例详情
▶ 患者情况
患者,女,51岁
▶ 主诉
上腹疼痛2月余,伴恶心
▶ 既往史
体健,无其他重大疾病史
▶ 查体
腹软,中上腹轻压痛,无明显反跳痛
▶ PS评分
1分
▶ 简要病史
患者于2020年2月无明显诱因出现上腹部胀痛不适,伴恶心,无其他不适,遂于外院就诊,腹部增强CT提示:胰腺肿瘤伴肝脏多发转移可能,后就诊于我院。
▶ 辅助检查
实验室检查:CA125:96.40U/ml,CA199>140000.00U/ml,CEA:390.76ng/ml
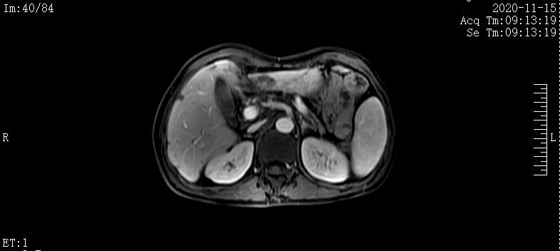
2020-4-20肝脏MRI提示:肝内多发团块,肝门及腹膜后淋巴结肿大;胰腺体尾部团块
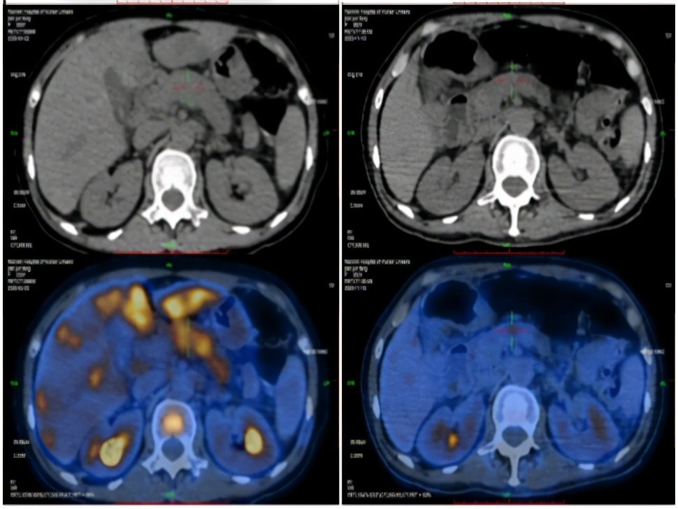
影像学检查

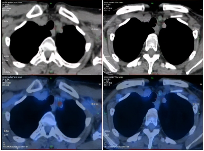
2020-4-22PET-CT提示:1. 胰腺体尾部稍低密度团块;肝内见多发团块、结节灶;肝门区、胰腺周围、腹膜后区多发肿大淋巴结;全身多发骨质密度不均;上述病灶代谢增高,考虑恶性病变,胰腺癌伴全身多发转移;2. 左锁骨上区及胸廓入口处淋巴结,代谢稍增高;不除外转移可能。
PET-CT(2020-04-22)

▶ 目前诊断
胰腺癌多发肝转移,骨转移
▶ 治疗过程
2020-4-24至2020-6-18(共3周期)
mFOLFIRINOX
安罗替尼(12mg,QD,服2周停1周)
卡瑞利珠单抗(200mg,IV,每3周1次)
2020-6-17肝脏MRI提示:1.胰腺体尾部异常信号,较前略缩小。2.肝内多发结节及团块,考虑转移瘤,部分病灶较前缩小。3.腰1-3椎体异常信号强化范围较前略缩小
疗效评估:
2020-04-22
因患者骨髓抑制严重
2020-7-22至2020-10-10(共3周期)
奥沙利铂+替吉奥(30mg,bid,服2周停1周)
安罗替尼(20mg,qd,服2周停1周)
卡瑞利珠单抗(200mg,iv,每3周1次)
▶ 疗效评估
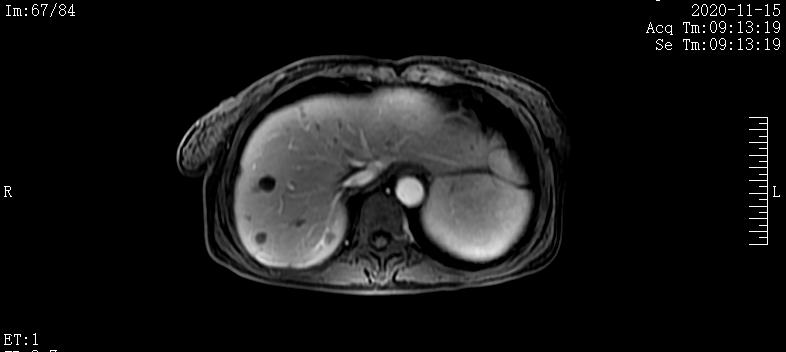
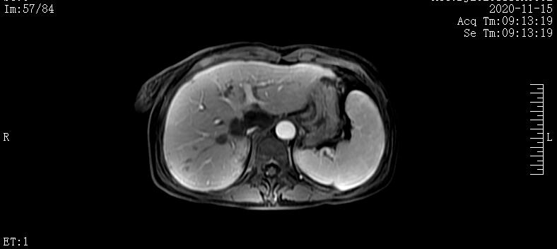
2020-8-22肝脏MRI提示:1.肝脏多发异常信号,较前稍缩小。2.腰椎内异常信号,较前缩小
2020-11-15



2020-11-18PET-CT提示:1.胰腺体部结节,代谢增高;肝实质多发稍低密度团块、结节灶,代谢增高;全身多发骨质密度不均,代谢稍增高;上述考虑胰腺癌伴多发转移灶治疗后改变,少许活性尚存。2.左锁骨上区及胸廊入口处淋巴结,较前缩小,代谢减低;肝门区、胰腺周围及腹膜后区高代谢淋巴结未见明显显示;上述考虑转移灶经治疗后改变,活性受抑
2020-4-22 2020-11-18


2020-4-22 2020-11-18


2020-4-22 2020-11-18


2020-4-22 2020-11-18



肿瘤标记物变化
▶ 病历小结
世界卫生组织国际癌症机构的最新预估数据显示,2020年中国胰腺癌新发病例12万,排第8位,死亡排第6位。胰腺癌位置隐匿,早期诊断困难,确诊时约50%伴有远处转移,而转移性胰腺癌的中位生存期仅3-6个月,一直是临床的难题。
在NCCN和CSCO诊疗指南中转移性胰腺癌的一线治疗方案均推荐化疗,MPACT Ⅲ期临床试验报道,GEM+白蛋白结合紫杉醇的mOS为8.7个月,GEM单药为6.6个月;FOLFIRINOX方案对比GEM方案,mOS分别为11.1个月和6.8个月,但其毒性反应发生率较高。另外随机对照Ⅲ期临床研究GEST试验结果显示,S-1单药用于局部晚期或转移性胰腺癌的总生存期不劣于GEM单药治疗。因此,针对体能状态良好的患者首选双药或三药的联合化疗方案,而体能状态较差者选择单药化疗或最佳支持治疗。全球著名的POLO研究开创了胰腺癌精准诊疗新时代和维持治疗时代。其结果显示:在BRCA1/2胚系突变的患者中一线含铂方案化疗后使用奥拉帕利相比安慰剂显著延长了患者的无进展生存期(7.4 vs 3.8个月),使疾病进展和死亡风险降低了47%。
最近10年间,免疫疗法在多种实体瘤的治疗中取得了惊人的进展,但该类新型抗癌策略对“癌症之王”胰腺癌却束手无策,不管是PD-1/PD-L1抗体或CTLA-4抗体单药治疗,还是两类药物联合治疗,在改善胰腺癌患者生存方面都没能获得显著的成功。主要原因是胰腺癌是典型的“冷”肿瘤,T细胞等免疫细胞难以对其产生有效的攻击。小分子多靶点酪氨酸激酶*制剂抑**联合化疗能够改善肿瘤微环境,为免疫细胞攻击癌细胞创造条件,使病灶外周和病灶中循环的免疫细胞(NK细胞、B细胞和T细胞)数量增加,效应免疫细胞不再停留在病灶边缘,而是进入病灶内部发挥效应。
本例患者初诊时肿瘤负荷大,PS评分0分,体能状态评估良好,一线化疗选择mFOLFIRINOX方案,我们同时使用了小分子多靶点酪氨酸激酶*制剂抑**,能够有效抑制VEGFR、PDGFR、FGFR、c-Kit等激酶,靶向联合化疗可以改善胰腺癌的微环境,降低免疫抑制细胞的浸润,从而促进免疫功能的发挥,同时也为免疫检查点*制剂抑**卡瑞利珠单抗的应用提供了条件。经过6周期的免疫治疗+靶向治疗+ mFOLFIRNIOX化疗后,原发肿瘤明显缩小,肝脏转移灶明显退缩,疗效评估为PR。随后进入维持治疗,采用免疫+靶向+ S-1单药化疗。
2020年8月11日《自然-医学》杂志上公布的COMBAT试验初步结果显示:免疫+靶向联合化疗方案的临床缓解率达到32%,比仅采用化疗的缓解率提升了一倍。正是基于传统治疗以及新型的靶向和免疫治疗方案的有效联合,在转移性胰腺癌的治疗方案及效果如此有限的情况下,此例患者的疗效让我们看到了晚期胰腺癌的治疗曙光。
#胰腺癌治疗##病例分享#