89岁的朱大爷是一位阿尔茨海默病(老年痴呆症)患者,不能说话,也不能自己吃饭。虽然需要别人喂饭,但朱大爷平时吃饭都很正常,可最近,家人发现,朱大爷吃饭不“香”了。
“老爷子平时吃饭都是喂一口就吃一口,怎么突然不吃了呢?”家人细细检查了一下,发现朱大爷假牙不见了!
不会是把假牙吞下去了吧?家人赶紧带朱大爷到南京医科大学附属逸夫医院就诊。
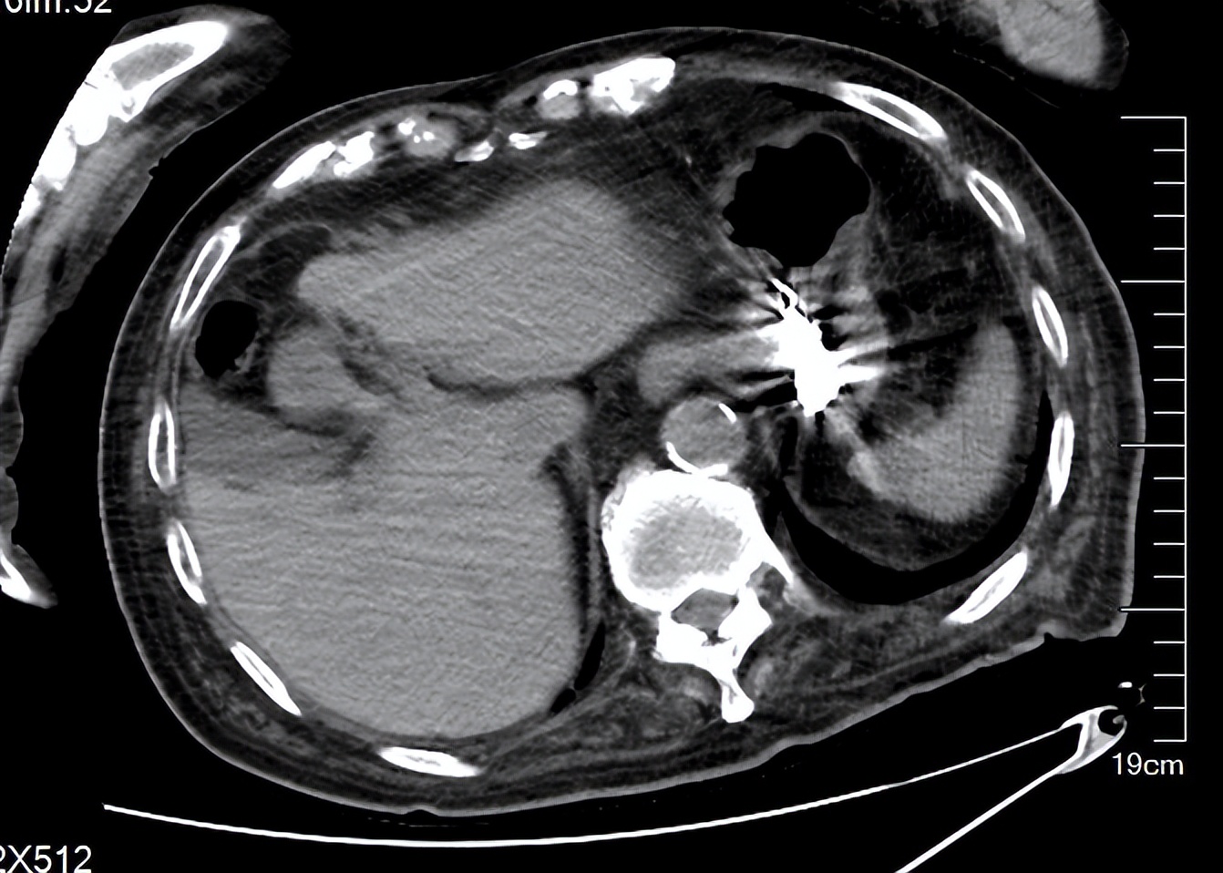
逸夫医院消化内科接诊后立即为朱大爷进行胃部CT检查。果然,假牙就在胃里面!

CT检查发现朱大爷胃内假牙
朱大爷吞进肚子里的假牙带有锋利的金属固定钩,有4厘米大小。在消化道里,这枚假牙就如同一颗“*弹炸**”,随时会“引爆”,出现梗阻、嵌顿、消化道出血,甚至穿孔、感染等致命的并发症!
消化内科与麻醉科会诊讨论,针对朱大爷高龄的情况制定救治方案随后,消化内科蒋小猛主任为朱大爷进行胃镜手术,由于假牙有4厘米长,且二端均有二个半环形倒钩,为避免取出假牙时划破食道,蒋小猛主任用透明帽辅助,成功套取出横跨气管和食管的整排假牙。


朱大爷胃内取出的假牙
关于消化道异物,专家有话说
逸夫医院消化内科李祎主任介绍,消化道异物是临床中常见的一种急症,儿童和老人为易发人群。
儿童可能吞食硬币、弹珠、电池、玩具、别针等;而成人则多为动物骨骼、坚果核、假牙等。
可取戴假牙,容易在进食时脱落,被吞咽,既往有假牙卡入食管的病例,家属要特别当心。

1、误吞假牙的严重后果
误吞下去的假牙带有锋利的金属附件,可能损伤消化道粘膜,发生食管炎、消化道出血、消化道穿孔等,严重者还会引起纵隔脓肿,气管食管瘘,大血管破溃出血等。
其中异物撕破主动脉弓或锁骨下动脉,可造成致命性大出血,治疗困难,死亡率极高,是食管异物最危险的并发症。
2、误吞假牙怎么办?
发生假牙误吞时,不要慌张、不要自行处理、不要拖延等待,要立即拨打120急救或及时到医院治疗。
就医途中避免剧烈颠簸,切忌饮水、喝醋、吞饭等尝试进一步吞咽异物的行为,以防尖锐异物更深的刺入消化道管壁中,甚至造成周围重要组织的穿孔,划伤,造成大出血,危及生命。
3、如何避免误吞假牙?
- 睡前摘下假牙,不要戴假牙睡觉。
- 吃饭时要注意细嚼慢咽,尤其是吃黏性食物时,假牙容易粘在食物上。
- 如果假牙松动或损坏,请及时去医院修复;
- 饮水和服药时,要注意避免误吞假牙。
- 对于患有脑血管意外、行动不便的老年人、精神病患者等,使用活动假牙一定要慎重。
- 安装活动假牙后要定期去医院检查假牙的固位力、吸附力,及时调整重衬或者重新制作。