爱美之心人皆有之,随着人们生活质量的提高,对牙齿的要求也越来越高。正畸也越来越被更多人重视,正畸的年龄也逐渐小龄化。最近经常有家长来门诊咨询儿童正畸的最佳年龄段,需要多长时间,用什么材质最好等问题,今天小编就带大家了解一下正畸。

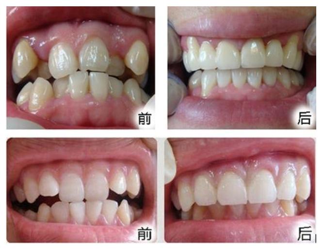
生长发育过程中,由先天因素或后天因素导致牙齿、颌骨、颅面的畸形,错颌畸形从而无法正常咬合,而正畸是通过不锈钢托槽、陶瓷托槽等矫正器,对牙齿施加机械力量,将牙齿排列整齐,使其恢复正常咬合的过程。

矫正的最佳时机
不同的畸形类型,最佳矫治时机也不同。一般来说,临床儿童常见的颌面畸形可分为两类:牙性畸形和骨性畸形。而牙性畸形又分为一般的牙性畸形和功能性畸形。儿童进行牙齿矫正时,医生会根据具体的畸形类型来告诉你最佳的时机。

12或13岁:一般的牙性畸形,最佳矫治的时机是恒牙列早期(即12-13岁),因为这时儿童刚换完牙,并且处于生长发育比较旺盛的时候。
6-12岁:功能性畸形,由于常出现在替牙列期(即6-12岁),如果推迟矫治,便有可能发展成骨性畸形,所以最佳矫正时期应在替牙列期,即是6-12岁。
10-13岁:至于骨性畸形的矫正,应在儿童处于生长发育高峰前期进行矫治(女孩10-12岁,男孩11-13岁)。

3岁:前牙反咬牙合,俗称“地包天”。这种畸形对儿童的颌骨发育有比较严重的影响,一旦发生应立即矫正,最早矫正可以开始于3岁半左右。通常只需要3-6个月的时间,就可以将反咬在下颌牙齿内侧的乳上前牙推移出来。

牙齿矫正要多久
儿童牙齿矫正时间与儿童牙齿的畸形程度相关。如儿童牙齿基础比较好,那么只需要矫正上边或者下边的一排牙齿就可以了,矫正的时间也较短。如儿童的牙齿情况较复杂,那么矫正的时间也相对较长。有的孩子的牙齿移动较快,大概只需要半年左右就可以矫正了;而有的孩子的牙齿长得比较牢固,矫正的时间大概需要1年到1年半左右。

不要让我们的旧观念影响下一代,发现问题及时到口腔医院检查。早发现早治疗不仅治疗效果好,而且治疗时间也短,对于孩子来说也可以少些痛苦。在日常生活,多观察宝宝的口腔卫生情况,及时纠正不良的咬合习惯,加强咀嚼功能训练,帮助宝宝长出一口健康漂亮的牙齿。