新闻 丨 漫画 丨 趣闻 丨 病例 丨 观点 丨 福利
为了方便大家学习交流,【医看】特别推出了「资深专家」专栏,把好病例和好报告与大家分享~建议大家在看影像的时候认真思考,然后再对照文末的「专家报告」。
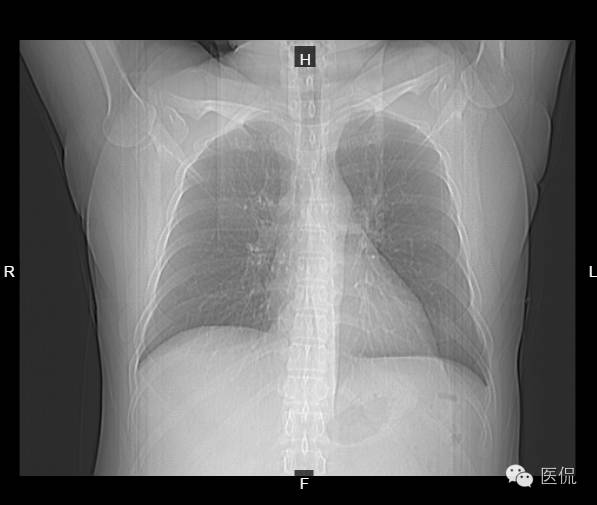
病例一
患者信息:男,37岁,体检
检查部位:ch
检查方法:胸部CT平扫

长按扫描下方二维码
查看本病例的DICOM影像
专家报告
影像所见:
CT平扫胸廓对称,肺窗显示两肺纹理清晰,走向分布无异常,肺实质未见渗出或占位性病变。纵隔窗显示两肺门无增大,气管支气管通畅,纵隔未见肿大淋巴结,心脏及大血管走行未见明确异常,胸膜、肋骨及胸壁软组织未见异常。肝实质密度减低,CT值46HU。
诊断意见:
1、胸部CT扫描未见异常。
2、脂肪肝。
病例二
患者信息:女,35岁
检查部位:颈椎
检查方法:C2-6间盘平扫
患者主诉:间断性头疼、头晕恶心一个月左右,右侧上肢手臂麻木,暂无其他不适症状。

颈椎曲度变直,序列稳定,诸椎体密度未见异常,CC3-4椎间盘轻度向后突出,局部硬膜囊受压,C4-5、C5-6椎间盘未见明显膨出、突出,椎管无狭窄。椎管内未见异常密度。椎旁软组织未见异常密度影。
诊断意见:
1. 颈椎曲度变直。
2. C3-4椎间盘突出。
如果本文满足了您的求知欲,一定要将文章分享给身边的同事或朋友哦!
「医看」有奖阅片大赛 病例资料分享
快扫码关注医侃(yikantime),就差你啦!▼