肠系膜上动脉综合征是由于各种原因使十二指肠水平部受肠系膜上动脉压迫所导致的肠腔梗阻,也称为良性十二指肠淤滞症。有报道称其发生率在0.013%~0.3% 。肠系膜上动脉综合征是一种相对少见的引起上消化道梗阻的原因之一。各种原因导致肠系膜上动脉与腹主动脉之间形成的夹角变小时,即可能引起良性十二指肠淤滞症。该病主要与以下因素的作用或相互作用有关:(1)肠系膜上动脉起始点位置过低;(2)十二指肠悬韧带过短牵拉;(3)脊柱过伸;(4)体重减轻或高分解状态致肠系膜上动脉与腹主动脉间的脂肪垫消失。治疗取决于病因及梗阻程度。除纠正水电解质平衡、肠外营养支持等经典的内科治疗外,增重后会症状缓解。对于内科治疗无效的患者则必须接受手术治疗。
病例介绍
患者女,18 岁,因“反复进食后呕吐,伴消瘦2 年余”入消化内科。入院半年前曾因出现中上腹胀痛多次于外地医院就诊,胃镜检查结果仅提示胃窦炎伴胃黏膜糜烂,予以促消化治疗后症状无明显改善。月经史:14 岁初潮,每次5~6 天,量可,无痛经,3 年前闭经。
查体示体型消瘦,BMI为13.1 kg/m2,右上腹部轻压痛,墨菲氏征可疑阳性,振水音(+), 其余体征阴性。患者入院后予禁食,予促进胃动力、调节排便、促消化、抑酸保护胃黏膜及营养支持。
复查胃镜示慢性浅表性胃窦炎,故开放饮食,患者无腹痛、恶心、腹胀等不适,行上消化道造影示“十二指肠淤积可能;胃下垂,轻度胃窦炎”。请外科会诊后,转入胃肠外科。
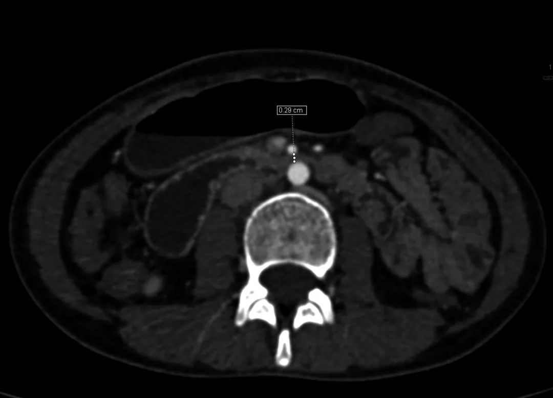
X 线钡餐常有十二指肠水平部脊柱中线处中断。主动脉和肠系膜上动脉之间的夹角20°。主动脉与肠系膜上动脉之间的距离2.9mm。

诊断:肠系膜上动脉综合征
影像学诊断标准
●十二指肠梗阻,以空气或钡剂在十二指肠第3部突然中断为特征,并有蠕动活跃的证据。
●主动脉和肠系膜上动脉之间的夹角≤25°是最敏感的诊断指标,特别是当主动脉与肠系膜上动脉之间的距离≤8mm时。
●十二指肠被Treitz韧带固定在较高的位置,肠系膜上动脉的起始点异常低或肠系膜上动脉异常。
鉴别诊断包括肠梗阻的其他原因,以及与十二指肠动力障碍和巨十二指肠相关的疾病,包括糖尿病、胶原血管病、硬皮病和慢性特发性假性肠梗阻。
手术治疗。术中见肠系膜上动脉压迫十二指肠水平段,压迫处近端肠管高度扩张,远端肠管空虚,打开近端肠管吸引出近1400 ml肠内容物,决定行十二指肠空肠Roux-en-Y 吻合术。手术顺利,术后患者恢复顺利,开放半流质后无特殊不适,于术后9 天出院。出院后患者进食无恶心、呕吐、腹胀等不适主诉,体重较前增加。入院复查,BMI 为14.8 kg/m2,复查消化道造影示吻合段通畅。
病例述评
●肠系膜上动脉综合征是一种临床疾病,以主动脉和肠系膜上动脉之间的夹角缩小为特征,原因是主动脉和肠系膜上动脉之间的肠系膜脂肪垫消失导致十二指肠第3部受压。患者症状符合近端小肠梗阻。
●关于肠系膜上动脉综合征的诊断仍存在一些争议,甚至怀疑其是否真的存在,因其症状并不一定与影像学表现密切相关,治疗后也不一定能得到改善。此外,该病也可能与其他解剖或动力相关因素所致十二指肠梗阻相混淆。最常见的危险因素是由躯体疾病、心理障碍或手术导致的体重明显减轻。先天性或获得性解剖异常也可促发该综合征。
●肠系膜上动脉综合征的诊断比较困难,因为该病不常见且症状不具有特异性。因此,临床表现相符时需高度警惕该病。应进行审慎的检查,以寻找是否存在可引起相似临床特征的其他疾病 。
●若患者的临床特征提示十二指肠梗阻,且无创影像学检查证实主动脉和肠系膜上动脉之间夹角异常,即可确诊。对于诊断仍不明确的患者,可能需行常规动脉造影。
●患者初始可能需要胃减压、液体复苏和纠正电解质异常。建议将纠正体重减轻作为肠系膜上动脉综合征的初始治疗,这通常需要肠内营养支持,部分患者可能需要肠外营养。
●对于诊断肠系膜上动脉综合征的患者,如果保守治疗不能改善病情,有数种外科手术方式可供选择,包括Treitz韧带松解术、胃空肠吻合术和十二指肠空肠吻合术。其中十二指肠空肠吻合术的结果可能最佳。
