
一、初识患者
常言道, 三十而立, 四十而不惑。在40岁后,随着年龄的增长,身体也在慢慢老化,免疫力低下,一些疾病也慢慢找上门来。48岁的范先生在2020年的3月就因间歇性咳嗽、咳血、胸痛来我院呼吸科就诊。通过详细的询问病史及根据多年的诊疗经验,建议患者进行进一步检查,明确诊断。
范先生1个多月无明显诱因间歇性咳嗽、咳血、胸痛,CT检查提示:左肺占位性病变,考虑恶性肿块(见图1A)。支气管镜活检提示肺腺癌,范先生被诊断为原发性左肺腺癌T2bN0M0 IIA期,于外院进一步行手术治疗。但术中探查发现左侧胸膜、心包和膈肌多处转移,并通过进一步活检确诊,进一步进行术后分期为pT2bN1M1 IV期。二代测序检测到EGFR 21外显子 L858R突变。患者听到自己患癌的消息后,出现紧张、焦虑、害怕等情绪反应,抗拒治疗。耐心向患者及家属解释病情及合理的治疗方案。

图1(A)吉非替尼治疗前。白色箭头所指为肿瘤。(B)吉非替尼治疗1个月后。白色箭头所指为肿瘤。

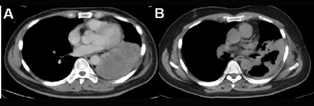
图2(A)阿替利珠单抗治疗前。(B)阿替利珠单抗治疗2周期后。
二、治疗过程
由于19外显子缺失和21外显子 L858R 是最常见的改变,占 EGFR 突变的 90% 以上。EGFR 酪氨酸激酶*制剂抑**可显着延长具有这些敏感 EGFR 突变的晚期非小细胞肺癌患者的中位无进展生存期,且毒性小。通过分析患者病情及诊断,建议行第一代EGFR 酪氨酸激酶*制剂抑**吉非替尼口服,1个月后肿瘤明显缩小(图见1B),患者咳嗽、咯血症状明显减轻,焦虑恐惧的情绪也明显好转。
不幸的是,经过11个月的靶向治疗,患者病情进展(见图2A),进一步行穿刺活检,基因测序结果未发现EGFR T790M。然后,给予了四个周期的培美曲塞联合卡铂化疗,患者肿瘤有所缩小,后继续行培美曲塞单药维持治疗。然而,培美曲塞单药维持治疗5个周期后,复查CT结果显示患者肺部肿瘤病变较前增大,病情再次进展。阿替利珠单抗(T药)通过阻断一条PD-1/PD-L1的信号通路来发挥抗癌的作用。阿替利珠单抗就是通过结合肿瘤细胞和肿瘤浸润免疫细胞上的PD-L1,阻断负性调控的来源,从而全面地重新激活T细胞功能,击杀癌细胞。
因此,继续给予患者阿替利珠单抗单药治疗,第二周期后复查CT提示肿瘤病灶较前缩小,并出现空洞(见图2B)。阿替利珠单抗耐受性良好,治疗期间未出现 3