病史:
女,57岁,主诉:查体发现左肾上腺占位10天。最近测血压最高150/85mmHg。
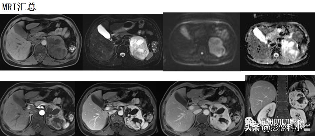
图像:






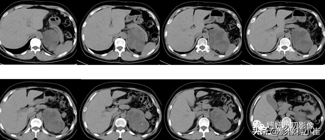
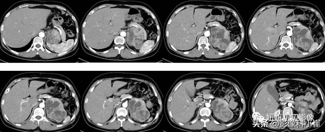
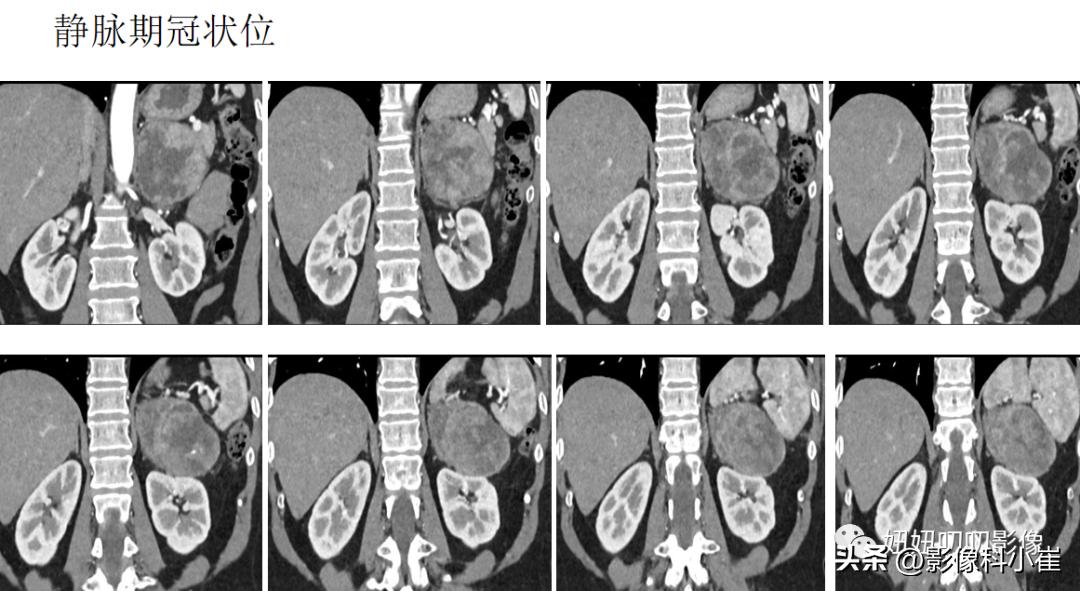
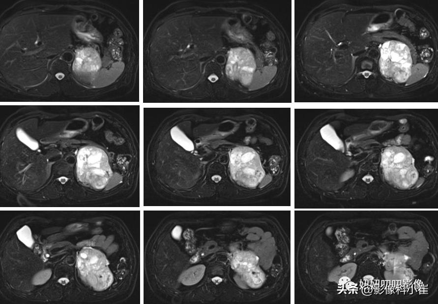
影像描述:
左侧肾上腺区见一团块状等长T1 等长T2 混杂信号,边界尚清,DWI示部分弥散受限,T1 反相位信号未见明显减低,最大截面约9.7X7.0X71,其内见点状短T2 信号,增强扫描呈明显渐进性不均匀强化,邻近组织受压。右侧肾上腺形态、信号未见异常,增强后未见异常强化。双肾见小圆形长T1长T2 信号,边界尚清,增强扫描未见明显异常强化。腹腔及腹膜后未见明显增大淋巴结。腹腔内未见明显液体信号灶。
学生发言:
见点状钙化,强化明显,T2亮,血压也升高,第一感觉还是嗜铬细胞瘤。
老师总结:
病理是肾上腺皮质腺瘤。
嗜铬多高血压及血儿茶酚胺升高。
别问,问就是忘了也不会,说明腺瘤还真啥样子都行呢,所以到底哪里不像嗜铬细胞瘤呢?
#文章首发挑战赛#