55岁的李先生,平时喜欢吃宵夜喝酒,一是自己有这个喜好,二是朋友兄弟多,一叫就答应了,一喝就是凌晨一两点。
其实很多人都有这样的生活习惯,因为我们的工作实在是太繁重,太累人,只有喝点小酒,跟朋友吐槽,才真正的解压。因为工作太忙,我们也常常无暇去锻炼、去游山玩水。骑个共享单车就能到达的宵夜摊,是我们最快乐的目的地。

虽然李先生喜欢喝酒、吃宵夜、吃烧烤、抽烟,都是人之常情。但最致命的是,他不知道自己什么时候患上了乙肝。直到这次来住院。
他的面容很典型,这不是我第一次接触到这个面容的乙肝患者,我第一次见到他还一度以为是老病号回来复诊,直到看到他的名字,我才发现不是。
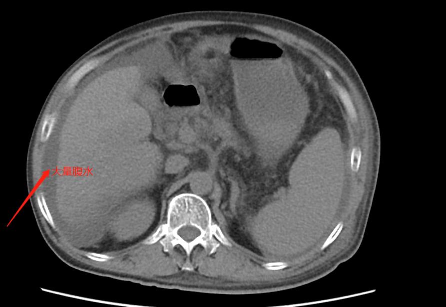
此时的他已经唇色紫褐,眼睛微突红肿布满血丝,整个腹部膨隆得像个装满水的气球,像青蛙的肚子,双下肢也是肿胀得厉害。不懂的人,看到这个样子,会以为是一个喝高了白酒的人,还是个大胖子。其实李先生并不是胖子,相比他还比较瘦小。但因为严重的肝硬化腹水,他的肚子鼓得像蛙肚,就是我们常说的“蛙状腹”。而他的面容也是比较典型的肝病面容,面色晦暗、唇色紫绀。
乙肝、肝硬化,甚至肝癌,只要提到这些名词,都会把他们串联起来,因为太多了,因为乙肝变成肝硬化或者肝癌。而李先生的肝已经因为硬化缩小了三分之一,更严重的是,他的右半肝长着一个巨大的肝癌。满肚子的腹水,带走了他身体的营养,所以他出现了严重的低蛋白血症。肝硬化、肝癌带来了身体的一系列变化,他的肾功能也开始衰竭。

让我不愿相信的是,过去的55年时间,他从未知道自己有乙肝,也不知道自己什么时候感染了乙肝。最近因为食欲差、腹胀明显,在女儿的再三催促下,他才同意到医院检查。
一检查,不得了,严重的肝硬化、大量的腹水、巨大的肝癌。往日脾气暴躁的他,知道自己的情况变得垂头丧气。
其实不仅他沮丧,作为医生我也同样沮丧,他的肝癌已经出现了静脉的癌栓,这样差的肝脏状态,不管用什么样的治疗效果,意义都不大。他可能只剩下一两个月的时间。
腹水的流失,进食吸收越来越差,肝癌的大量消耗,每一点都在损耗他的营养和精力。这样的病人,结局往往是这样:
1、饿死,因为吃不下、因为不断的流失,就像漏水的水桶,上面灌多少,下面灌多少,最后只能是杯水车薪。
2、肝衰竭去世,肝脏功能逐渐衰竭,出现凝血障碍、黄疸,最后肝性脑病、或者消化道出血。
3、疼痛难忍,巨大的肝癌破裂出血,或者挤占腹腔的空间,晚期的哀痛折磨着离去。
不管是怎么样,都是一个艰难的过程。
也许是怀着悲悯之心,我接纳了很多晚期肝癌患者,送了他们最后一程。但大多数时候,我能给他们的只是一针止疼药,让他们临走时能够减少一些痛苦。

李先生的情绪很低落,住院期间都是他的女儿来沟通。因为每天肚子都很胀,她选择了通过腹腔穿刺引流的方法,放出一些腹水,目的是让肚子好受一些。住院了两天,他们决定出院回家,不再治疗。
这让我想起了刚实习的时候,一位肝硬化大量腹水的大姐,瘦得只剩皮包骨,她来医院唯一的要求只是放腹水。老师给了她一张床位,每天她会去菜市场买一些水果、一些鸡蛋补充营养。然后躺在床上,等着老师用头皮针给她做腹腔穿刺引流。等我熟悉这个工作以后,每天放腹水成了我的日常工作。一来二去,大姐跟我说起了她的情况,她家里还有两个孩子,没人能照顾她,她也没有更多的前输营养。那一个月,我每天用一根头皮针,穿过她薄如纸板的肚皮,放出腹水。原本每天最多只能放1000毫升,她总是要求放2000毫升,虽然知道有风险,但是她希望多放一点,舒服一点,少穿刺一次。那时我们为了给她省钱,只是收了她的床位费。

这个案例,我写在肝炎日。乙肝是我们整个国家的痛,因为乙肝,很多人失去了生活的色彩。
希望人类能够早日攻克病毒性肝炎,更多人重拾人生。
在这里,我还是建议大家,做好体检,早发现早管理。如果没有乙肝,那尽可能地接种乙肝疫苗,做好防护。
想了解更多精彩内容,快来关注罗医生健康说
本文由【罗医生健康说】原创,作者为中国抗癌协会会员、中国医师协会健康传播工作委员会会员、健康科普作家,欢迎大家转发、评论、点赞,或者私信与我交流,非常感谢!#谣零零计划##非常病例##健康明星计划#
(此处已添加医疗卡片,请到*今条头日**客户端查看)