魏**,男性,63岁,4月23日入院
主诉:反复咳嗽咳痰伴胸闷气喘10年,加重2月余
【现病史】
患者10年前受凉或劳累后出现阵发性咳嗽,较剧,无昼夜分别。咳少许白色泡沫痰,痰能咳出,病程迁延时可出现黄色浓痰。伴活动后胸闷气喘,休息后可缓解。在当地医院门诊就诊,予对症处理后好转(具体不详)。最近4-5年症状有加重趋势,活动耐力明显下降,走一层楼梯即感胸闷气喘明显。曾在当地医院住院治疗,诊断“慢性阻塞性肺疾病慢性肺源性心脏病”,出院后长期吸入“普米克都保”(患者吸入“舒利迭”后心悸明显,故未持续使用)。
2月余前受凉后症状再发,气喘明显,夜间不能平卧,生活不能自理。伴乏力明显,大量出汗。无胸痛咯血,无咳粉红色泡沫痰,无发热寒战等。多次在当地医院住院治疗,末次2013-3-18至4-23,血气分析(3.18):PH7.39,PO262mmhg,PCO262mmhg。胸部CT(3.24):支气管病变伴感染,两肺肺气肿,左侧胸腔积液,两上肺纤维增殖灶,建议复查。血白蛋白25.9g/l。诊断“慢性阻塞性肺病急性加重期慢性肺源性心脏病呼吸衰竭心功能不全心律失常心功能不全”,予“舒普深针、拜复乐片、甲强龙针”等治疗。期间有全身浮肿,予“输血、白蛋白针、利尿”等处理。3-31复查血气分析:PH7.38,PO252mmhg,PCO293mmhg。4-4复查胸部CT:支气管病变伴两肺感染、两肺气肿,建议复查。患者肺部炎症及胸腔积液较前吸收,但乏力、出汗仍明显,有时有少许黄浓痰,昨日出现发热,最高体温38.1℃。阵发性胸闷气促明显。
【过去史】
近期住院期间有输血及白蛋白史
【个人史】
有吸烟习惯,每天50支,已吸30年,已戒4年。
【体格检查】
T 37.2℃,BP 124/83mmhg,R20次/分。端坐位。神清,精神软。出汗多。口唇紫绀不明显。锁骨上浅表淋巴结未及明显肿大。桶状胸,叩诊过清音,听诊两肺呼吸音低,右侧明显,右侧可及少许哮鸣音。心率102次/分,律尚齐。腹软,无压痛。双下肢不肿。
【初步诊断】
1.慢性阻塞性肺疾病急性加重期
2.呼吸衰竭(Ⅱ型)
3.慢性肺源性心脏病
4.心功能不全
【初始治疗】
比阿培南 0.3 q8h+甲强龙 40mg bid+氟康唑 0.4 qd
【实验室检查】
血气:ph 7.41,PCO2 64.1mmHg,PO2 81.7mmHg(吸氧下)
血常规:白细胞计数 WBC 11.60* 10^9/L、中性粒细胞百分比 NEUT% 88.6 %。
C反应蛋白121mg/dl
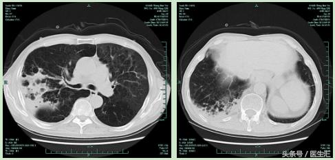
【肺CT】

【修改主要诊断】
医院获得性肺炎
【提示】该患者有COPD病史,但是本次住院有发热,肺CT上表现为右上肺后段及右下方基底段渗出实变病灶,因此应该考虑为肺炎,由于其在当地医院住院期间发生肺炎,因此诊断医院获得性肺炎
【体温变化及治疗过程】


5.7病灶明显吸收复查肺部CT


患者体温正常,咳嗽气急好转,复查肺部CT右上肺及右下肺病灶吸收明显。考虑肺炎治疗有效,给予带口服抗生素出院。
【提示 总结 】
有COPD基础的患者,如果在原有疾病基础上,两肺出现新发的渗出实变病灶,诊断因考虑为肺炎,而不是AECOPD。如在住院期间发生肺炎,应诊断为院内获得性肺炎。该患者CT上病灶主要位于上叶后段及下叶基底段,考虑吸入性的可能性大。治疗上以碳青霉烯类抗生素或酶复合制剂为主