回答可能出乎我们的意料,与我们在许多电影中看到的完全相反,弹头(弹片)可以一直待在体内,完全没必要取出。除非有以下几种情况:
1、机体组织破坏太大,以至于无法愈合或恢复所造成的损害;
2、战争中*弹子**使用了携带白磷等危险物质;
3、弹头(或弹片)在可能导致后续其他问题或严重后遗症的部位。
在太多的电影中,枪伤被描绘成一旦弹头(或弹片)被取出,随着镊子松开后,托盘“当啷”的一声响,一切就都会好起来的,而实际情况则完全不是那么回事儿。


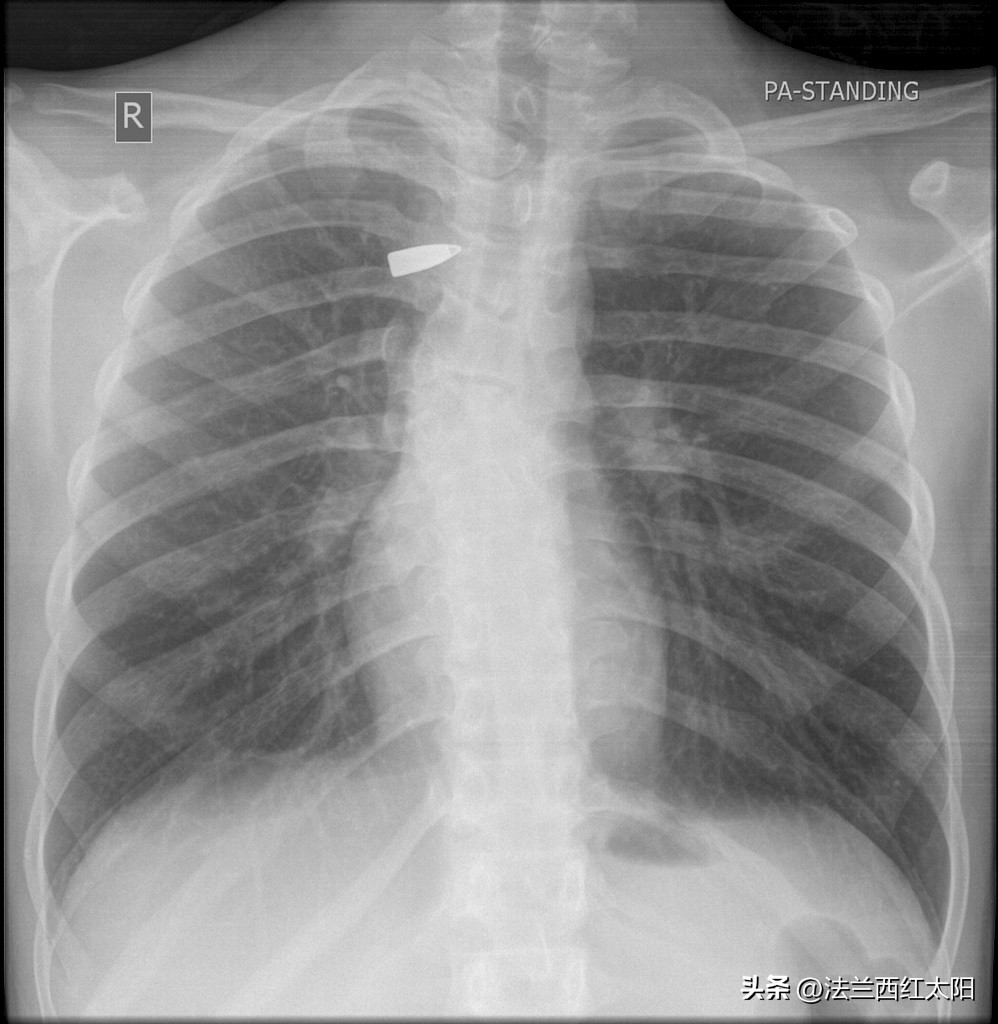
X光片中一颗弹头在肺里,就安静地呆在心脏的旁边




优秀的后方大医院里,伤员可以通过止血、缝合并使用抗生素,那么有可能会得到好的结果。但是,在战地临时医护区里,贸然(或不得已)打开伤口,会有更多的血液流出,更多的感染可能,情况也许会变得更加糟糕。这就是为什么在现实世界中,医生专注于止血(有时使用相当基本的手段),并将伤员尽量置于能够适当清洁、消毒和缝合的环境中。操作过程中如果弹头(或弹片)能轻松掉出则罢,否则会迅速将伤口缝合,之后身体会用结缔组织囊肿包围异物,使之不会或减轻造成二次伤害。以后的岁月里,除了偶尔在X光检查中能被看到外,弹头(或弹片)大多会安静地呆在原地,一般不会带来任何问题。