许多朋友应该熟悉烤瓷牙,烤瓷牙是牙冠,通常用于修复治疗!它的外观漂亮,光滑耐磨,耐酸碱腐蚀,这就是它的优点!而且,烤瓷牙洁白漂亮,所以许多牙齿形状不好的朋友选择做烤瓷修复。

但是,有人提到了瓷牙就一肚子气,他们说牙根管治疗后戴瓷冠以保护牙齿。但是为什么里面的牙齿却腐烂了?
实际上,烤瓷牙中的牙齿不一定会腐烂!这主要取决于医生的技术水平。#真相来了#

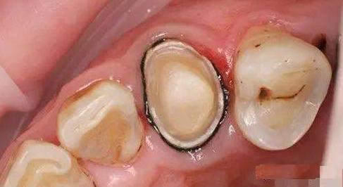
如果您烤瓷牙内的基牙出现腐烂 ,可能是以下原因:
1、烤瓷牙的牙冠未与牙齿紧密贴合,如果粘接材料松动或掉落,外界刺激或咀嚼食物中存在的软垢进入,牙齿将引起龋齿,腐烂;
2、烤瓷冠包裹整个冠的部分,随着年龄的增长,牙龈逐渐消退。如果露出牙颈和牙根,口腔清洁作用差或口腔自我清洁作用异常,则牙颈和牙根会出现腐烂。

可以看出,烤瓷牙的项目对医生来说要求非常高,因此建议患者要选择去专业的口腔医院做烤瓷牙。
因为烤瓷牙的牙体预备、后期制作的牙齿、取模的准确性以及佩戴牙冠后与牙齿之间的紧密度,都决定内部的基牙是否会腐烂。

我是牙医肖盼盼,从业经历10余年,临床经验丰富,您有任何口腔问题,欢迎关注、私信咨询或评论留言!
#健康科普排位賽#