随着宝宝逐渐长大,他们的口腔中会慢慢有乳牙萌出,宝宝可以吃辅食以后,乳牙便承担着咀嚼辅食的重任。等到宝宝可以吃大人饭以后,乳牙更是成了一日三餐的“咀嚼”担当。
通常而言,孩子的乳牙会在六周岁左右时慢慢脱落,这时候乳牙会逐渐地被恒牙所替代。也正因为如此,有的家长会认为,孩子的乳牙长得好,那么恒牙肯定也一定会长得非常整齐好看。但是事实上,在生活中有很多宝宝虽然乳牙整齐,但是换完新牙后,新牙却歪得一塌糊涂。

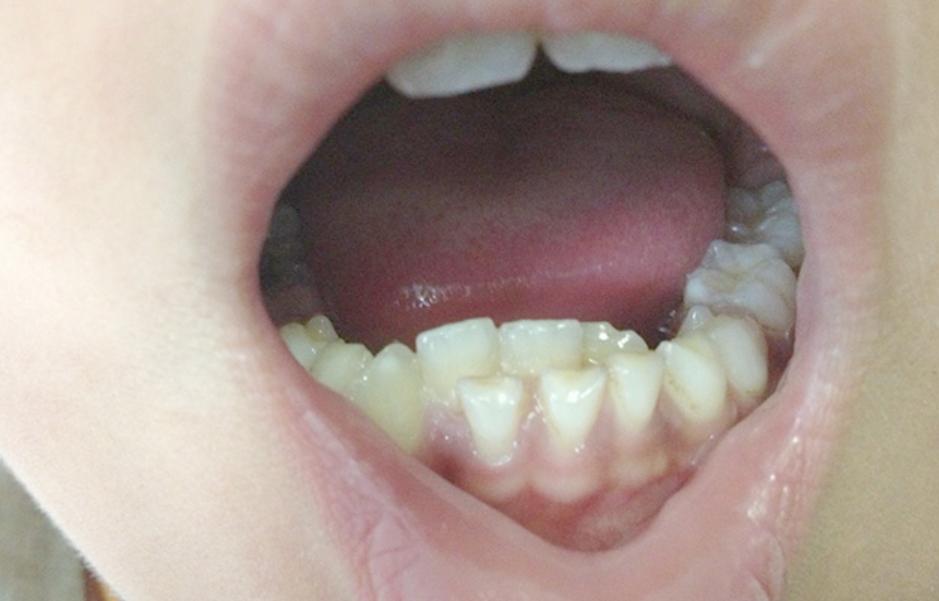
萌娃乳牙很漂亮,没成想换牙后牙齿却“歪七扭八”,宝妈直言:还不如乳牙长得好看
前不久七岁大的萌萌换了新牙,而令萌萌妈感到哭笑不得的是,孩子的门牙长得歪七扭八的,看起来非常的搞笑。“门牙可是一个人的门面担当,歪七扭八的牙齿也太影响颜值了!”
事实上,在此之前,萌萌的乳牙长得非常漂亮,洁白的小牙看起来颗颗可爱。甚至萌萌妈还非常得意地自夸过,“我家萌萌的牙齿随我,不仅洁白,而且还非常整齐!”可是如今萌萌的恒牙长了出来,毫无整齐可言的样子真是让人有些不忍直视。

无奈之下,萌萌妈带着孩子去咨询了牙科医生。而牙科医生认为,以孩子目前的情况来看只能做牙齿矫正才能够改善歪七扭八的状态。一想到孩子有可能要因此而戴上牙套,萌萌妈就百感交集。
“为啥孩子乳牙长得好?恒牙却长的这么难看呢?”萌萌妈忍不住向医生提出了自己的疑问。而医生则对此解释说,“造成孩子牙齿不整齐的原因有很多,比如说孩子在恒牙萌出的时候喜欢舔舐牙齿,或者是平时有吸吮手指的习惯,那么这都有可能会影响到牙齿的正常萌发。”

哪些原因容易导致孩子乳牙长得好看,恒牙却长得“难看”?
如果父母中存在着多一颗牙齿,或者是牙齿较大等情况时,孩子的牙齿发育很有可能会受到父母的遗传影响。也就是说,如果父母牙齿长得不好看的话,那么孩子的恒牙状态很有可能也会和父母如出一辙。
如果在孩子牙齿萌出的过程中出现了一颗较大的牙齿,那么很有可能就会导致牙床空间不足,而后萌发的牙齿会优先选择阻力最小的方向生长,这就容易造成牙齿弯曲叠加的情况出现。
在孩子恒牙萌出的过程中,如果他们身上有一些不良习惯存在的话,那么也会影响到牙齿的萌出,而且这种情况也是导致孩子恒牙长得难看的主要诱因之一。比如说孩子有吸吮手指的习惯,在吸吮手指的过程中,孩子的牙齿萌发会受到一些“额外”刺激,那么这也就容易导致牙齿长歪。
除此以外,如果乳牙过早脱落,或者是牙齿咬合出现问题的话,那么也有可能会导致孩子的牙齿萌发出现不整齐的情况。

家长们做好哪些事可以降低孩子牙齿长歪的可能性?
在孩子有乳牙萌出以后,家长们就要定期地带他们去看牙医,这样才能够有助于孩子的口腔保健。虽然说乳牙终究会脱落,但是如果乳牙成长的不健康的话,那么也很有可能会影响到恒牙的状态。在孩子恒牙萌出以后,家长们就更加应该定期地带其去看牙医,这样才更加能够在牙齿萌发出现问题时,尽早地进行纠正。
当孩子身上有一些不良的行为习惯有可能会影响到牙齿萌发的时候,家长们一定要及时地纠正孩子身上的这些不良习惯。事实上,这些不良习惯对于牙齿所产生的影响并非是一朝一夕的,家长们应该对其抱有一定的警惕心理。

如果孩子的牙齿出现不整齐的情况,家长们一定要有所留心,尽早带孩子去看牙医,有必要的情况下要进行牙齿纠正。对于年龄较小的孩子而言,尽早地进行牙齿纠正,花费更少效果更好。在给孩子进行牙齿纠正的时候,家长们一定要选择正规的医院,这样才能够实现效果的保障。
另外,需要家长们注意的是,在孩子有牙齿萌出后,一定要养成刷牙、漱口的习惯,这样不仅有助于孩子的口腔保健,同时也有助于孩子养成爱护牙齿的意识。如果孩子存在牙齿不整齐的情况不仅会影响到美观,同时也有可能会造成清洁不到位的情况发生。