新春佳节到了,祝愿各位幸福平安!
转眼又是鼠年新春,“有钱无钱,回家过年”是最能引起中国人心弦共鸣的一句话了,你说对吗?
你看,全国各个火车站、汽车站、机场、码头,到处都是涌动的人流,春运的客流高峰年年攀升。尽快赶回家乡与亲人团聚,是所有旅途中人的共同心愿!
提着满满的行囊,带上满满的祝福,到家乡亲人们的身边,过上一个团圆年,一整年来的辛劳的奔波,也都觉得值得了。借此机会,我也送上祝福,祝愿朋友们心想事成,万事胜意!
对于尚在旅途的朋友们,我还要再祝福一句“一路平安”!

旅途辛劳挡不住回家团聚的脚步
旅途平安才能到达幸福的目的地!
出门在外,距离家乡千山万水,有的甚至是从异国他乡归来,打拚经年,长途奔波,个中辛苦只有经历过的才会体会!
春运旅途,有时完全可以用“煎熬”来形容:不尽的车流、拥挤的车厢、无法计算的车程,人多空间小,生理需求的压抑常常达到令人难以忍受的程度!此外,不时出现的车险事故、钱财丢失、突发疾病,更让旅途充满不确定因素,平安的祥云并非总能惠及每个人。
作为医生,我会比一般人更多了解,每年都会有或多或少的人,因为这样那样的原因,打乱了团聚计划,躺到病床上过节,甚或看不到新春的朝阳。有部分原因,就是“经济舱综合征”。

经济舱空间狭小,可能打断旅途甚或造成严重后果
什么是“经济舱综合征”?
“经济舱综合症”定义的缘由,与飞机上的经济舱关系极大。据资料显示,2000年10月,一位平素健康的28岁英国女性从澳大利亚经20多个小时飞行后,一到伦敦机场便昏倒在地,经过2个多小时抢救,仍然不治身亡。由于当时对此病不太了解,只是估计患者与经济舱中长途旅行有关,于是就将其命名为“经济舱综合症”了。
如今,该病的病因、机理都已经很清楚:经济舱空间狭小,乘客的双腿活动受到了很大限制,下肢静脉回流不畅而形成血栓,时间一长,血栓范围和程度逐渐加大。飞机到达目的地后,乘客突然起立活动,静脉血栓脱落,随着血液回流到心脏继而到肺,引起肺动脉栓塞,这就患者突然发病、急剧死亡的原因。
所以说,所谓经济舱综合征,其实就是“下肢深静脉血栓形成”(DVT),并继而引起“肺栓塞”(PE),DVT与PE已被认为是同一疾病的不同阶段,目前常将其统称为静脉血栓栓塞症(VTE)。

经济舱综合征(静脉血栓栓塞症)示意图
经济舱综合征只与飞机经济舱有关吗?
其实不然。经济舱综合症的名称虽然来源于飞机上的经济舱,但类似的场景还有很多。可以说,任何因长期不活动而造成DVT并进而形成PE的状况,都可被称为经济舱综合症。
比方说,在火车、汽车、轮船上长途旅行的,场景类似于飞机经济舱,自然可以发生;虽然乘坐公务舱、头等舱,但乘客惯于呆坐不动,也可能发生;一些人喜欢长时间坐在电脑前打游戏,同样可能发生;还有,一家人团聚一起玩牌、打麻将,一坐一整天,也能诱发经济舱综合征!

久坐电脑前也可诱发经济舱综合征
如何预防下肢静脉血栓形成?
下肢肌肉的收缩运动是促使下肢静脉回流的动力,可要充分利用好。无论是多么狭小的空间,总是可以创造机会站一站、走一走的吧?
有人说,有时候真的挤不开,只能限制在座位上甚至座位下或车厢连接处,那怎么办?如果真的是这样,我们也可以经常性地伸伸腿、踮踮脚跟、勾勾脚板、缩缩脚趾,让下肢肌肉动起来,常常摩摩膝关节、揉揉小腿肚,也可促进血液回流。
一句话:避免长时间坐着或躺着不动,这就是最重要、最有效的预防!另外,注意适时喝水,别让血液太过黏稠,会有些辅助的意义。

注意常做些腿足部运动有好处
有什么方法避免肺栓塞呢?
有效地预防血栓形成当然是最根本的办法,但如果已经形成了血栓,防止它脱落后流到肺里面去,就成了关键环节。
当你发现莫名就出现了腿肿,特别是一侧腿肿,往往就代表已经形成了下肢深静脉血栓。这时,可不敢再去按摩了,而应立即停止上述的预防血栓形成的活动,立即请人送你上医院处理才对。不过很多时候,下肢深静脉血栓形成不一定有明显的下肢肿胀、疼痛症状,故也被称为“沉默的杀手”,如果感到胸闷、憋气,肺栓塞的可能性就很大了,千万别乱动了,马上请人打120吧!

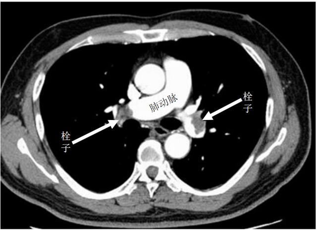
CT增强扫描明确肺栓塞,必须立即处理
医生们如何处理DVT和PE?
最基础的,是进行抗凝治疗,防止血栓继续形成,并调动人体自身功能溶解血栓。
近年来,随着介入诊疗技术的进步,更为积极的治疗措施越来越多。比如,当发现静脉内血栓负荷比较大,单纯抗凝治疗效果不佳,或有过高的出血风险,或可能遗留“血栓形成后综合征”,介入医生无须切开,只需穿刺静脉,就可在几分钟内完成“下腔静脉滤器植入术”,即于人体内最宽大的静脉内植入“过滤器”,将脱落的血栓拦住,但不影响血液回流,肺栓塞的风险就可有效地避免。

下腔静脉内植入了滤器,拦阻到巨大血栓
在植入滤器的基础上,介入医生可立即插管到血栓局部进行机械或人工方法抽栓、取栓、溶栓,还能对诱发血栓的某些病变(如腔内粘连、髂静脉压迫等)进行扩张松解、支架植入等针对性治疗,从而消除将来复发的风险。

静脉血栓溶通术前后对比
如果已有肺栓塞,介入医生也可立即插管到肺动脉里面进行血栓清除操作,这也是一种微创措施,能够快速地将患者从濒死状态下抢救回来(我发过相关文章,请搜索查阅)。