
这是 达医晓护的第2278 篇文章

山东73岁的陈奶奶在10余年前开始出现胸闷、气短的症状,活动后胸背痛。近一年来症状加重,稍微活动后心前区闷痛、头痛、出冷汗,腰背部痛已经到了无法忍受的地步。在老家就诊时心电图显示心肌缺血,随即入院行冠脉造影检查却并未发现血管问题。却在术后心脏超声检查中发现,陈奶奶患有梗阻型肥厚性心肌病。
但是当地的医疗条件有限,无法解决心肌肥厚引起的不适。辗转找到了上海交通大学医学院附属第九人民医院心内科——张庆勇主任。
张主任发现,陈奶奶的症状是由于肥厚的心肌阻塞了左室流出道,导致使血液无法有效进入主动脉,于是没有足够的血液灌注于全身,同时供应心肌的血液也变少,导致心肌缺血。于是出现了典型心绞痛的一系列症状:气喘、心前区疼痛,呈闷痛,及腰背部痛。同样由于脑供血不足,也出现了脑供血不足的症状,如头部胀痛不适伴有黑朦等。但这种心脑血管缺血症状并非是由于血管本身的堵塞导致,而是由于血液灌注不足引起。
张庆勇主任团队对陈奶奶进行了心脏及全身的全面评估后,经过讨论认为可以借助一种新型的心脏内超声仪器(ICE)引导下经心内膜导管射频消融的微创手术,可以治疗陈奶奶的疾病。这个新型的治疗方法在于,不但可以利用心脏内血管超声(ICE)精准定位导管需要消融的部位,而且可以实时评估消融的效果,还有就是可以大大避免因消融引起的并发症,严重的传导阻滞而不得不行起搏器植入。2019年9月17日陈奶奶接收了这一新型的微创导管治疗方法,在手术过程中,陈奶奶即刻就感到胸闷减轻,10余年来从未有过的舒坦。术后恢复良好,第二日便下床自由活动,术后3天高高兴兴的出院回家了。术后3个月随访,陈奶奶表示术后的生活质量大幅提高,再也不会动不动就闷痛,也敢到处走走看看。
陈奶奶有这样的变化,在于导管消融解除了因心肌肥厚而梗阻的流出道,从而导致供血增加,症状改善:

手术前室间隔厚度为25.1mm,术后即刻缩减到21.0mm术后三个月随访室间隔厚度进一步缩减为18.0mm。

术前心室和主动脉之间的平均压力差达到了惊人的157mmHg,经过最狭窄处的流速为822cm/s。术后即刻平均压差降低到74mmHg,最狭窄处流速下降为590cm/s,术后三天更是进一步下降平均压差为41mmHg,最狭窄处流速为461cm/s。术后三个月平均压差为33mmHg,而最狭窄处流速为441cm/s,效果十分显著。

术后三个月心超
科普问题时间到
心脏血管没有问题,
为什么会有和心肌梗死一样的症状出现呢?
因为肥厚心肌的梗阻,使血液无法有效进入主动脉。没有足够的血液供应于全身的同时灌注心肌的血液也变少导致心肌缺血,于是出现了和心绞痛一样的症状:气喘、心前区闷痛,向左肩部放射,但这种心肌缺血并非是由于心脏血管堵塞造成,而是由于供血不足引起。严重的情况下,还可能出现一些心率失常,房颤以及恶性心律失常的表现,甚至猝死等。同时也会出现头晕、黑朦、晕厥等脑供血不足的表现,对患者的危害十分之大。
肥厚性心肌病到底是啥?怎么来的?
肥厚性心肌病(HCM)是以心肌肥厚为特征,心脏质量增加,可达正常心脏的2倍(约600g),甚至1000g以上。根据左心室流出道有无梗阻可分为梗阻性和非梗阻性肥厚型心肌病。
绝大部分肥厚性心肌病呈常染色体显性遗传,约60% 的成年患者可检测到明确的致病基因突变。
心脏的堰塞湖——肥厚梗阻型心肌病(HOCM)
肥厚梗阻型心肌病是HCM的一种特殊类型,约占该类疾病的1/4。
这类病人的心脏左室肥厚,在收缩期肥厚的室间隔使心室流出道狭窄。心室收缩时,肥厚的室间隔肌凸入心室腔,使血液容易淤积在左心房,就像在心脏中形成了堰塞湖一样,血液流不出去被围困在左房之中久而久之发生心房颤动、心绞痛、甚至猝死等。

得了HOCM会有什么样的症状呢?
患者症状表现为常反复发作劳力性呼吸困难、心区闷痛、晕厥等症状,生活质量差。患病后期可出现心脏扩张,演变为扩张性心肌病,同时还会引起房颤甚至于各种恶性心律失常出现,患者的不适症状日益加重。猝死与心力衰竭为主要的死亡原因。
起病多缓慢。约1/3有家族史。症状大多开始于30岁以前。男女同样罹患。

肥厚梗阻型心肌病的诊断
1.症状
(1)呼吸困难多在劳累后出现;(2)心前区痛多在劳累后出现,似心绞痛;(3)乏力、头晕与昏厥多在活动时发生;(4)心悸;(5)心力衰竭;(6)房颤。
2.辅助检查
1.胸部X线检查:心影增大,左心室增大,但无升主动脉扩大或瓣叶钙化征象。晚期病例则左心房、右心室亦可增大,肺野血管郁血。
2.心电图检查:显示左心室肥大和劳损,V3-V5导联特征性T波倒置,有时前胸aVL和I导联呈现异常Q波。

肥厚型心肌病心电图表现
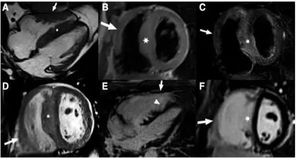
3.心脏磁共振成像
心脏磁共振成像较超声心动图提供的信息更多。钆对比剂延迟强化 (1ate gadolinium enhancement,LGE)是识别心肌纤维化最有效的方法,LGE与死亡、SCD等风险正相关。约65%的HCM患者出现LGE,多表现为肥厚心肌内局灶性或斑片状强化,以室间隔与右心室游离壁交界处局灶状强化最为典型。

4.超声心动图检查
显示左心室壁显著增厚,心室间隔较心室后壁更为肥厚,左心室腔小,流出道狭窄和心脏收缩时二尖瓣前瓣叶向前移位(SAM征)。

超声心动图
SAM征小知识

究竟该如何治疗?
目前,梗阻性肥厚型心肌病(HOCM)的药物治疗有——β受体阻断药、维拉帕米等控制心率药物,但治疗效果有限。
同时还有几种特殊的方法来减轻心肌肥厚的问题。
外科室间隔心肌切除术
室间隔心肌切除术包括经典Morrow手术和目前临床应用较多的改良扩大Morrow手术。研究证实,HCM患者接受外科手术治疗后,远期生存率接近于正常人群。
但也有缺点:需要打开胸腔,切开心脏。手术只是解剖切除,无法评估对传导系统的影响,传导阻滞发生率较高。
经皮室间隔化学消融术(PTSMA)
是通过穿刺股动脉的方法将球囊导管送至肥厚心肌的供血血管(常为第一间隔支),在供血血管内缓慢注射一定量的无水酒精,导致肥厚心肌部分坏死,肥厚心肌变薄、收缩力减弱,流出道梗阻减轻,达到治疗目的。
该方法总体上安全有效,但缺点在于梗阻型心肌病的支配间隔的血管比较弥散,没有好的靶血管可供注入无水酒精,因此很难达到好的治疗效果。在解除左心室流出道压差(LVOTPG)的效果较差,如无水酒精漏入前降支或交通支开放导致无水酒精流向非靶目标区域,造成非靶目标心肌梗死。同时容易引起房室传导阻滞,需要安装心脏起搏器的可能性更大。
心肌*射内**频消融术
在影像技术引导下将特制诊疗装置经皮经心肌穿刺抵达心脏靶区诊断或治疗心脏疾病的新术式。该术式在超声指导下,经皮经肋间将射频消融穿刺针通过心尖置入肥厚的室间隔前壁(AIVS)进行消融,随后在室间隔后壁(PIVS)重复这一操作,对室间隔进行充分消融,进而解除左室流出道(LVOT)梗阻。Liwen术式治疗HOCM的机制在于通过高频电波导致肥厚的心肌组织细胞内的离子产生热效应,局部温度高达90-100℃,进而导致肥厚的心肌细胞脱水坏死,同时还可以达到阻断肥厚心肌组织血液供应的效果。

ICE辅助下心内膜导管射频消融微创介入术
局部麻醉之后,导丝从腹股沟处动脉和静脉进入。手术过程在心腔内超声(ICE)和三维心脏标测系统指导下,精确定位SAM室间隔接触区域进行消融,使得主动脉和心室内的压力阶差显著下降,血流快速的流入,类似于打开了堰塞湖的最狭窄处,从而增加了主动脉内的供血,使得全身缺血症状减轻并消失。
该项技术操作简便、精准、创伤小,并可以反复消融。最大优势是在操作过程中,能精准定位需要消融的部位,动态观察消融的效果,而且消融导管远端的双极电位描记,能避免对传导系统的附带损害,不易发生严重的传导阻滞。病人术后恢复快,一般第二天可以下床,三天就可以出院。是目前在治疗肥厚梗阻型心肌病中一种新型有效的方法。
四种术式的优缺点对比
外科室间隔心肌切除术
优点:患者接受外科手术治疗后,远期生存率接近于正常人群。
缺点:需要在深度麻醉下打开胸腔,切开心脏。手术只是解剖切除,无法评估对传导系统的影响,传导阻滞发生率较高。
经皮室间隔化学消融术(PTSMA)
优点:操作简便
缺点:若没有好的靶血管,则治疗效果差。易引起非靶目标心肌梗死以及房室传导阻滞。
心肌*射内**频消融术
优点:不容易损伤传导系统、引起传导组织的可能性小。
缺点:操作难度大、无法精准定位、没有专用的消融针。
经内膜导管射频消融 (RFCA)
优点:操作简便、精准、创伤小,并可以反复消融。最大优势是在操作过程中, 持续监测消融导管远端的双极电描记图,并避免了对传导系统的附带损害。RFCA 是安全有效的改善肥厚心肌并减轻症状的方法。
经内膜导管射频消融术是肥厚梗阻型心肌病治疗的一项新突破,该技术创伤小,精准性高,手术并发症小,治疗效果明确,是肥厚梗阻型心肌病患者的一大福音。目前由张庆勇主任率领的上海交通大学医学院附属第九人民医院心内科电生理团队已能成功的开展经内膜导管射频消融术。希望通过该项技术,能够造福更多的肥厚梗阻型心肌病患者。
张庆勇主任简介

•上海交通大学附属第九人民医院心内科主任医师,心内科行政副主任,医学博士,硕士生导师。
•中国生物医学工程学会上海心律协会委员。上海卒中学会理事,上海房颤中心质控专家委员会委员、中华医学会心电生理和起搏分会、中国医师协会心律失常专业委员会中青年电生理工作委员会委员。
•曾留学香港、德国,专修心房颤动及室性心律失常的射频消融治疗。擅长独立完成阵发性房颤及持续性房颤、室早及特发性室速和器质性室速、各种阵发性室上性心动过速的射频消融,尤其在全市率先开展了房颤的内外科一站式杂交治疗。在缓慢性心律失常的起搏与快室率心律失常的射频消融方面有特长,起搏器及射频消融量已过千例。具有明显的技术优势。左心耳封堵watchman全球带教专家。主持国家自然基金及上海市自然基金项目,获得“浦江人才计划”资助。迄今以第一或通讯作者发表SCI论文11篇,国内统计源期刊文献20余篇。
专家门诊:
周二、周四上午 瞿溪路新门诊大楼2楼
周四下午 漠河路280号
欲望与健康
体检发现颈动脉斑块怎么办?
健康背后的自律
成功救治心脏骤停的关键
有种晕倒 能根治

部分图片摘自网络,如有侵权请告知,予以删除。
所有人名和地名均为化名,如有雷同,纯属巧合。