正畸是一个很普遍的项目,相信大家自己或者身边的亲朋好友一定有做过牙齿矫正的,这是一个缓慢而神奇的过程,大家知道正畸是怎么慢慢的把不整齐的牙齿变整齐的吗?

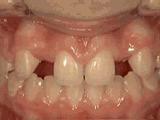
第一种:前牙移位,因为有牙齿缺失,导致相邻牙齿开始没有秩序的前突。

第二种:前牙移位,因为有牙齿缺失,导致相邻牙齿开始没有秩序的左右移动。

第三种:前牙移位,因为有牙齿缺失,导致相邻牙齿开始没有秩序的乱移动。

第四种:牙列拥挤,牙槽骨过窄,牙齿没有足够空间,只好前后左右高低上下乱长。

第五种:开颌,即使闭嘴,上下牙齿也不接触,留出空隙。

第六种:深覆颌,咬牙时,上牙盖住下牙的部位过多,影响美观。

第七种:牙列稀疏,牙槽骨过长,或者牙齿少,导致排列太宽松,零零散散。

第八种:前牙反颌,俗称“地包天”,也就是咬牙时,下牙盖住上牙,正常情况应该是上牙盖住下牙。

第九种:牙列稀疏,牙槽骨过长,或者牙齿少,导致排列太宽松,零零散散。

看完了是不是觉得很神奇?

一个人的形象气质受牙齿影响很大,试想一下,如果你牙齿洁白整齐,是不是比满口歪牙更加的自信,对你的人际关系影响可是十分有利的。