在这秋冬时节,你是否发现身边的人都特别不爱动了呢? 而且就连汪星人们也进入了吃完就睡的冬眠模式。
虽然这的确是个适合睡觉的好天气,
但是,生命在于运动。
躺多动少,这筋骨关节的灵活性就会下降 ,若这时狗狗看到感兴趣的对象,突然追逐起来,就容易出现 “哎呀……” 的情况。

毕竟在弹指之间,会出现各种意外。人类一旦闪着腰部会扭伤, 而狗狗一旦闪着腰部,就容易出现前十字韧带断的情况。
宠小爱今天就为家长们介绍这则是由 宠爱国际骨科专家「李青云」院长接诊的一则「犬前十字韧带断裂」 病例,一起来了解下:

〖 宠 爱 国 际 病 历 本 〗

- 宠物名:爱丽斯
- 性别:女孩
- 年龄:4.5岁
- 品种:金毛犬
- 体重:48kg
主诉病史
大约在二月份时,狗狗有过 追猫行为 ,当时后肢轻微跛行,在 外院 检查未发现问题。
但持续2个月时间,狗狗后肢跛行一直未好, 近几天跛行更加严重,严重影响行走! 便转入我院进行检查,就诊时狗狗食欲、饮欲正常,大小便正常,精神状态良好。

医院检查
临床检查: 狗狗意识水平正常,姿势步态呈行走姿势后肢跛行、 站立时重力前倾 、寻找阳性坐姿。
BCS评分:9/9分,水合状态:脱水<5%,一般检查:BW:48.0kg、T:38.3℃、HR:96次/分、RR:24次/分、MM:粉红、CRT<2s。
系统检查:
1、狗狗 提醒 体型偏肥胖;
2、听诊心、肺正常;
3、左右后肢未发现明显外伤, 触诊左右后肢未发现明显疼痛,膝关节活动有摩擦音;
4、腰椎触诊未见明显疼痛。

实验室检查:
DR检查
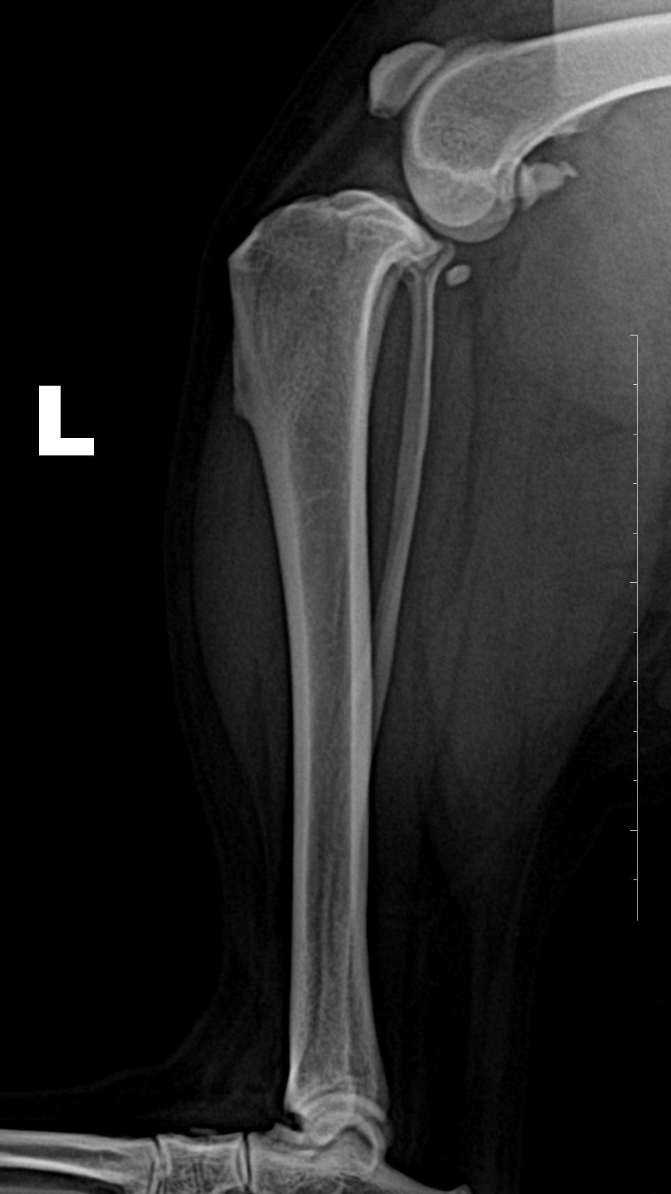
右后肢股骨滑车脊的关节周围有新骨生成。

髋关节腹背位↑
左、右后肢侧位 片 关节腔内软组织不透明度增加,膑下脂肪垫向前位移;

左后肢前后位↑

左后肢内外位↑
正位片可见关节内侧软组织不透明度增加;胫骨粗隆前移。

右后肢前后位↑

右后肢内外位↑
血常规检查结果
未见明显异常

生化检查结果
显示ALT、ALKP升高
肝脏有损伤

胸腰椎核磁检查
未见明显异常
检查部位: 胸椎/腰椎MRI平扫检查
检查序列: T1序列,T2序列,压脂序列,共235张图⽚,用于结果判读。
宠爱国际医疗专业设备:
MRI为高磁场(1.5Tesla)新机型,与一般低磁场或旧机型相比较,大幅降低检查时间。其高度解析能力,对动物脊椎神经和肿瘤能提供更佳诊断依据。

初步诊断
「左、右后肢前十字韧带断裂」
前十字韧带断裂
即急性跛行;触诊膝关节疼痛;躺时保持损伤肢向上;抽屉运动:胫骨向前移动明显;膝关节积液程度不一;关节活动时出现“噼啪”声。

治疗方案
紧急进行手术,止痛,全身使用抗生素治疗,自体韧带原位移植。
术后72小时后,爱丽斯没有过度肿胀,便进行 热敷 ,通常在活动前热敷10分钟,缓解腰部疲劳,以防止状况变重。
另外爱丽斯在家长 按摩 配合下一天两次,每次5-10分钟,轻揉患肢大腿和胯部的肌肉,狗狗状态越来越好。

爱丽斯术后食欲、饮欲正常,精神状态良好,术后第四天,在家长的助力情况下可以正常行走, 如今恢复健康 ,预后良好,可自由奔跑。

病例讨论
该病病因通常是韧带的退行性变化或外伤 。
韧带的退行性变化与年龄有关,特别是大型犬 ,韧带形态异常,如后退直立。此外也与免疫介导有关;前十字韧带受外伤损伤的机制主要是由于关节活动受到压迫而导致功能丧失。
膝关节异常只是前十字韧带损伤的部分情况 , 渐行性骨关节炎和中间半月板损伤。 膝关节异常还会导致关节滑膜炎、关节软骨退行性变化、关节周围骨赘增生以及囊状纤维变性。有时膝关节异常也会导致半月板损伤。如果不采取治疗措施,前十字韧带损伤后会发生渐行性的骨关节炎。
本病例出现前十字韧带断裂可能是因为由于追猫导致腿部力量超过韧带的承受力, 另一方面也有可能是因为体重过大导致长期的韧带损伤 。另外本病例已经出现关节周围骨赘增生以及半月板损伤。


宠爱国际骨科
该科室拥有先进宠物骨科诊疗水平。医院从成立之初,一直重视并致力于外科人才的培养。 如今已拥有强大的外科团队 。医院具备的能力:骨折内固定,骨关节矫形手术,髋关节手术,膝关节手术,关节融合术,颅骨手术,关节专业化手术—全髋置换、TPLO、TTA等。另外,该科室还拥有丰富骨科诊疗方法,近几年来, 积累了大量骨科疾病治疗经验,成功治疗了近千例骨折病例 。 我院经常会接到其他动物医院转诊的骨科疑难病例。 经过治疗得到了各位宠主高度认可。
预防方案及康复后保健措施
医生,请问一旦狗狗确诊都有哪些手术方式呢?
手术的结果 为改变现有受力模式,或解决跛行行走模式和减少疼痛 ,为解决这些问题以及考虑预后,需要考虑动物体型、品种、年龄、骨骼生长、骨骼受力、材料选择及其他疾病可能带来的影响, 选择合适的手术方案并制定手术计划 。
囊外技术的应用 ,在大多数病例中可能会因为缝合材料的过度拉伸断裂而使手术失败。 其他截骨术,如TTA、TPLO等 ,都可能因为过度受力而引起骨折, 一旦发生骨折,后期所带来的伤害可能是不可逆的 。
另一种前胫骨闭合楔形截骨术 ,可能会因为需要截骨的原因而使动物肢体长度变短或胫骨长轴的位移造成胫骨前后方向的角度畸形。
此外,前十字韧带断裂,同时引起半月板的损伤,因此对于半月板的检查及评估是必要的, 一旦半月板损伤,需要切除部分或全部的半月板,以减少因半月板损伤而带来的疼痛,以及因半月板损伤所引起的关节炎。
如何预防狗狗患前十字韧带断裂呢?
该症状易发病犬种为拉布拉多猎犬、松狮犬、秋田犬、边境牧羊犬、哈士奇等。因总发生在突然间,所以目前无有效的预防方式,还需家长在日常生活中,多关注犬猫健康状态, 做好科学预防、定期体检,能够及时发现很多疾病并调理。
好的,谢谢医生。
主治医师
