
这是一位72岁的老太太,浙江江山人,平时基本不吃鱼。
几天前,看到饭桌上的一盘鱼,用她自己的话说,“鬼使神差地吃了一口”,不料,就这第一口,鱼刺就卡上了。
老太太当即想到很多民间方法:喝醋,大口吞年糕……以为真的把鱼刺吞下去了。
之后就能正常进食了,只是感觉胸骨后稍有些疼痛。
到了第三天,疼痛明显加重,还出现了咳嗽,咳嗽时疼痛难忍,于是被送往当地医院就诊。
胸部CT检查发现,鱼刺已经穿透了食管壁!病情危重,老太太立即被送往急诊抢救室。

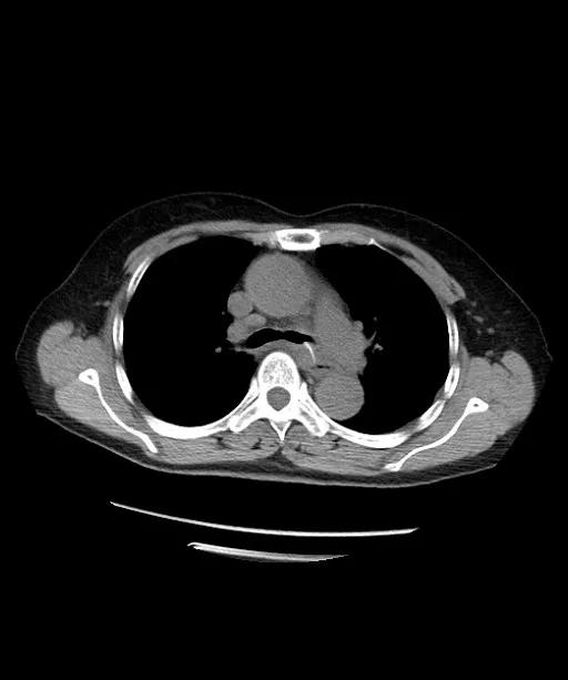
CT横断位

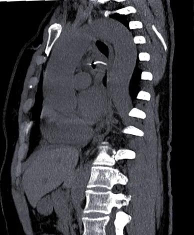
CT重建
急诊科医生仔细查看CT,发现鱼刺处于食管第二狭窄下端,并已经穿透食管壁、纵隔、穿入左主支气管内!
对照外院CT,鱼刺有移动趋势。
至此,这根鱼刺已经在老太太体内呆了4天,并形成了两处致命的伤害:
1、穿透了食管,形成食管纵膈瘘,有发生致命感染(脓肿)的风险。
2、穿透了一侧主支气管,形成了食管气管瘘,有病发严重肺部感染、大咯血、肺不张等风险。
问题相当棘手了。
紧急组织了由急诊科、耳鼻咽喉头颈外科、胸外科、呼吸与危重症医学科、消化内科、麻醉科组成的MDT(多学科会诊)。
各科专家一致认为必须马上取出鱼刺。
专家们讨论制定了详细周密的治疗步骤和各项应急预案,决定由耳鼻咽喉头颈外科首先操作,并由呼吸与危重症医学科、胸外科作为候补,麻醉科作为保障。
全麻手术前,全体专家组成员在手术室里待命。
由于CT显示鱼刺头端仍在食管腔内,通过食道镜取出鱼刺是最便捷的方法。
但是事情并没有这么简单,后面发生的事情可谓一波三折。
术中探查发现,食管侧已经很难看到鱼刺的头端,并且局部粘膜肿胀,形成溃疡,很容易出血。
此时的鱼刺,已化身为一把长剑,横插在了食管、纵膈、左主支气管之间,不断的咳嗽让它继续前移,情况十分危急。

左主支气管治疗前
一开始计划使用异物钳让鱼刺回退至食管,以便让它能在食道一侧暴露,但是发现效果不好,且周边肉芽组织极易出血。
在应急预案保障下,用泌碎石用的钬激光,把鱼刺从中间断开,使用异物钳分别取出两段鱼刺,完美地避免了更大的开胸手术。

左主支气管治疗后

异物
目前老太太仍在空肠营养管鼻饲中,等待食道伤口愈合。
术后恢复的老太太说,她以后再也不吃鱼了!
医生建议可以改吃海鱼,鱼肉美味,细小鱼刺较少,而且营养价值高。
而且,不像猪肉兄弟,时不时让大家吃不起。

鱼刺造成险情的例子真不少
鱼刺卡在喉咙到底该怎么办?
1、千万不要试图用饭团、馒头把鱼刺吞进去,因为可能会把原本位置比较浅的鱼刺推得很深。也不要奢望喝醋能把鱼刺给“软化”了,可能鱼刺一动不动,你的口腔、食道粘膜先被烧伤了。
2、可以让家人拿手电照照看,如果张开嘴就能见到鱼刺,我们可以用镊子或者夹子或筷子取出来,但是千万不要用手去抠。
3、如果鱼刺卡在喉咙比较浅的地方,可以尝试着咳嗽,把鱼刺咳出,或者用手指压住舌根使其呕吐,把鱼刺顺着呕吐物带出来。
4、当你尝试以上方法还是不能把鱼刺弄出来,就要及时就医了,以免耽误最佳治疗时机。
医生的吃鱼诀窍
首先
吃鱼的时候用舌尖和牙齿仔细分辨鱼刺。因为舌尖的神经丰富,感觉最敏锐。一定要细嚼慢咽,心急吃不了热豆腐。
其次
吃鱼的时候一定要专心,不要一口鱼肉一口饭,也不要说话,不要玩手机,不要心不在焉。
注意
家里的儿童和老人,尽量吃没有小刺的鱼,或者吃剔除了鱼刺的鱼肉。
