




赵澄泉 今天一病例50多岁HRHPV positive 怎么报?
孙煜昀 这个的胞浆看不到了感觉坏死不明显,没有高级别细胞,不敢报高级别疑癌了。我报告lsil。这个诊断和结果差距肯定很大,但是能保证活检

廖新波 LSIL, Trich ? 孙煜昀 背景中有大量的乳酸杆菌 宋晓华 LSIL 佟强 觉得有肿瘤素质 宋晓华 @佟强 广州番禺中心医院 嗯嗯,感觉有肿瘤素质,但细胞觉得不够报那么重呀
阎培莎 细胞核的特征非常明显:梭型或者binucleated , 胞浆丰富, 背景有出血和坏死……。不像是常见的鱗状上皮病变。报可疑malignant tumor ?( others , like 间质来源的?或者sarcomatoid carcinoma. Triple MT?) 总之不常见需要多一些的病床病史(宫腔检查的情况)活检。@赵澄泉UPMC 总之不常见。我抛砖引玉 彭振武 LSIL,活检排除下HSI甚至鳞癌 阎培莎 核的多形性应该是不除外鳞癌的想像 王瑞辉 背景是不太好,但未见明显的高级别细胞学报告LSIL合适活检看
喻明芙 我看着像麟癌没看到LSIL 或HSIL 阎培莎 不认为是LSIL 姜锦贵 @赵澄泉UPMC 不除外鳞癌 赵澄泉




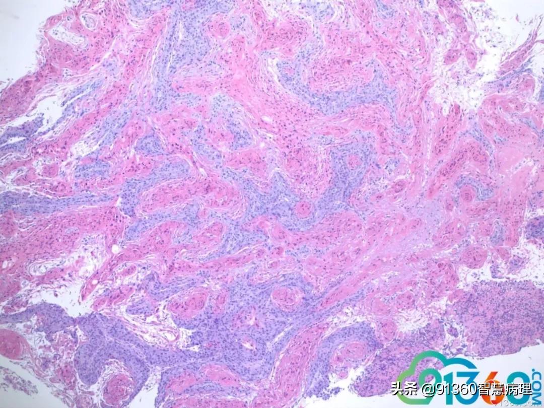
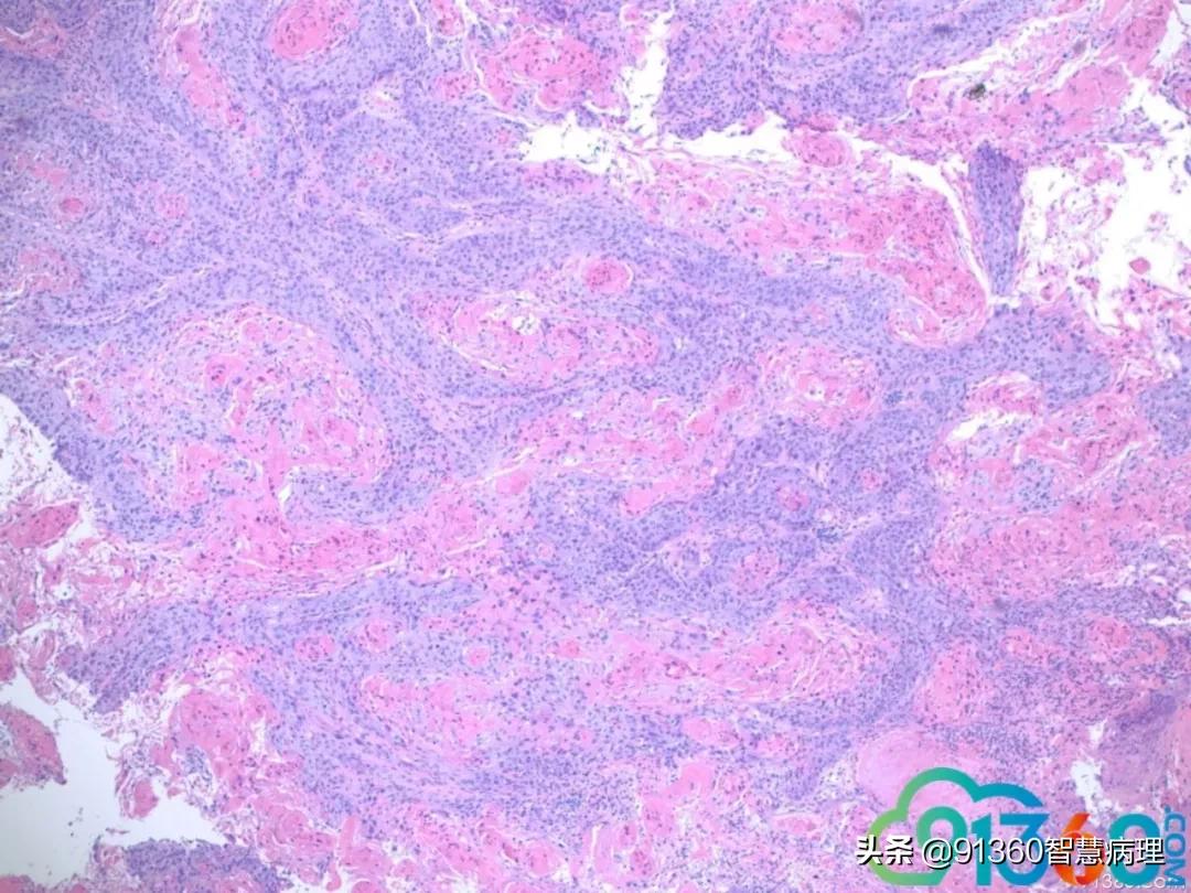
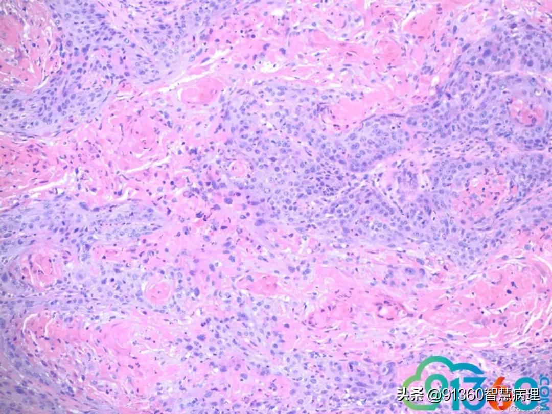
喻明芙 和Pap 符合@赵澄泉UPMC 谢谢 赵澄泉 组织切片有假象,但局部可有明显浸润 喻明芙 这就是Pap中看到的异常角化细胞


赵澄泉 这是我认为非常有意思的细胞学组织学对应病例@喻明芙/病理/康州 你给大家分析一下
喻明芙 @赵澄泉UPMC 先给大家机会看看组织学@赵澄泉UPMC 谢谢分享 赵澄泉 @阎培莎 @诸城市妇幼保健院王瑞辉 群管 @姜锦贵,江苏金湖医院 @喻明芙/病理/康州 @彭振武(广州安必平公司) @厦门motic孙煜昀 @廖新波(JMC-NY) @舒兰市中医院病理科宋晓华 细胞学是atypical parakeratosis cells. 这是为什么大家觉得很难报LSIL, HSIL, cancer, even ascH. 经验:如果这种细胞很多尤其HPV阳,一定要想着鳞癌的可能,一定和临床沟通,组织活检,不要漏掉病人,这例我报的ASCH,备注强调病人需活检。实际工作中组织学对照是学习细胞学最好老师 石丽华 @赵澄泉UPMC 学习了谢谢老师分享这种角化不认识,实际工作中易漏掉 孙煜昀 乳头状的鳞状上皮病变,低级别时也可以出现出现这种细胞形态。两者鉴别主要是坏死和里面混杂高级别细胞,赵老师给的病例细胞学没有明确高级别细胞,报ah可以。但是要打的更高,可能需要更多视野的支持 Andy K (纽约) 这种dyskeratotic cells是高度怀疑鳞癌的

喻明芙 我学习的麟癌有3大特征:肿瘤素质(非常难认),异常角化,和异形麟装上皮有核仁。反过来看,这里Pap缺第三,但要怀疑。我会写到Note 孙煜昀 支持老师看法红圈的细胞对照的很好,绿圈的细胞在细胞学没有对应,只有我打剪头的一个细胞,所以才加大了难度可能在肿瘤表面全是角化不全的细胞。很难取到下面的肿瘤主体

喻明芙 这种形态学在头颈包块FNA常见,最后是淋巴结麟癌转移。
孙煜昀 白斑,红斑以及能引起过度角化不全的所有情况都可出现上面的角化异常细胞。也就是说角化下面是什么,低级别,高级别,癌都有可能。所以这个病例发AH是最合适最明智的。@赵澄泉UPMC 赵老师大神。这种异常考虑低级别有点不恰当,向各位老师学习 喻明芙 这例有肿瘤素质不是很会Mark


孙煜昀 @喻明芙/病理/康州 嗯嗯,整体倾向于鳞癌 廖新波 @厦门motic孙煜昀 : 这个病例我报了LISI。LSIL 到 鳞癌相差2 grade, 有明显的 discrepancy。按规定,后续细胞学工作,则需要重新看片,填写相关表格,meeting, 修改细胞学报告,签字,存挡等等... 孙煜昀 @廖新波(JMC-NY) 老师,组织两种形态:1.诊断癌的直接形态,我画小圈的部分,细胞学几乎没有取到。2.次要形态,也就是很多病变共有的形态,异常角化,角化不全。凭借这个诊断AH是最合适的。所以,并没有差两级 杨鹏 细胞学我也会打L,谢谢赵老师的病例,学习教训,总结经验。@赵澄泉UPMC