世卫组织早就将口腔健康列为人体健康的标准之一,可是生活对待牙齿问题,很多人因为早期牙齿疾病少有痛感和影响,所以普遍态度都是“能拖就拖”,从而从小小的蛀牙问题,拖成牙齿缺失的大问题,不仅后期修复需要花费更多的成本,还要遭更多的罪。

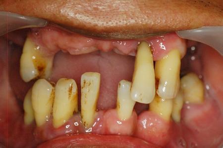
口腔医生们在门诊中就会常常遇到这类案例,比如曾经有位患者才36岁,由于个体经商一心扑就扑在事业上,生活中显得很是粗枝大叶,常常晚上累了牙也不刷倒头就睡,早上起来也是草草刷几下就赶着出门了。虽然生意越做越好,但牙口状况却越来越差。从一开始发现几颗蛀牙,到临近的牙相继“烂掉”,窟窿越来越大,有的烂得只剩下残根残冠,逐渐松动……等到实在没办法吃东西了,才开始求医,最后面临的结果就是只能拔掉烂牙残根进行镶牙或者是种植牙。 同样对牙齿问题有“拖延症”,在中老年人中也很常见,他们的口腔状况就更不乐观了,常常是牙齿缺失10多年之久,口内余牙多已经发生移位、伸长、松动的情况,不经丧失咀嚼功能,而且会伴随着牙周炎症,常常感觉到口气浑浊。

事实上严重的牙齿疾病都是拖出来的,很多人在蛀牙、缺牙初期,都觉好像也没有什么大不了,于是放任不管,等到牙齿痛了、缺损了、松动了、影响饮食了,才想起了去诊疗修复,特别是常年缺牙的患者,越来越多的会考虑选择做近些年比较流行的种植牙修复,那么对于已经缺牙几年甚至十几年了的患者,这种情况下还能做种植牙吗?

缺牙久了,种是可以种,但过程会比较“坎坷”。当单颗或多颗缺牙演变为半口、全口缺牙时,修复的难度肯定会更大,同时因为缺牙太久,会出现对颌牙伸长、邻牙倾倒、余牙移位的情况,且时间越久,咬合关系破坏越严重,修复时涉及到咬合重建再进行种牙。此外,牙齿脱落后,缺乏咀嚼刺激,缺失牙位牙槽骨会发生吸收逐渐流失,时间越久牙槽骨量越薄、越少,种牙就需要植入骨粉骨膜,增加牙槽骨的厚度和高度达到符合种牙的条件。此时不仅种牙的难度会增加,且治疗所需的时间和成本也会增加。

生活中,因为讳疾忌医,把小问题拖成大问题的患者不在少数。我们国人有一个根深蒂固的观念,就是“牙疼不是病”,却常常忽略了下半句“疼起来要命”。所以许多人的牙疾都是“拖”出来的,有牙病拖着不治,从龋齿、牙结石、牙龈萎缩、牙周炎、牙齿松动到牙缺失,大都是拖延惹的祸。据统计,我国老年人 90%以上有不同程度的牙齿缺失,但义齿修复率 却很低 ,许多缺牙患者长期处于缺牙甚至无牙的状况,严重影响他们的生活质量 。最后提醒大家,牙病的治疗宜早不宜迟,有牙齿问题无论大小都要及早采取措施防止问题进一步恶化。