/病例分享/

一例高坠伤至颈椎骨折、颈髓损伤
患者男,50岁
因“高处坠落致四肢活动受限1天”入院。
入院查体:
双侧乳头平面以下感觉及运动丧失,双侧伸肘肌力3级,肘屈肌力3级,双侧握力0级;双下肢肌力0级,无水肿;双侧生理反射消失,病理反射未引出。ASIA评分:*级A**
辅助检查:
外院CT:颈5棘突骨折、颈6椎体爆裂性骨折,椎管狭窄。
入院诊断:
多发伤:1.颈髓损伤?2.颈6椎体爆裂性骨折伴椎管狭窄 3.颈5棘突骨折
术前影像
CT提示:患者颈6椎体暴裂样骨折,骨折片突入椎管,致椎管明显狭窄;合并颈5棘突骨折,颈5、6椎弓根骨折。
AO分型为C5-C6:C(C6-A4;F1,F1;N4;M1)。

MRI提示:颈椎管明显狭窄,颈髓受压,损伤严重!合并有后方韧带复合体及肌肉软组织损伤。

入院诊疗
拟行手术:
颈6椎体次全切+钛笼置入植骨融合+颈后路椎管减压+内固定术
手术详情:
首先取平卧位,经前路行C6椎体切除。切除C5/6椎间盘,刮除上下终板,清除椎体后方骨碎片。骨碎片刺破硬脊膜受损严重,发现破口。明胶海绵填塞修补破口。椎间隙植入椎间融合器及自体骨行植骨融合。钛板+螺钉6枚固定C5、C6、C7椎体。
再取俯卧位,在双侧C4/C5/C7侧块植入万向螺钉;钛棒塑形后,固定于螺钉头部。双侧侧块及小关节骨质去皮质,自体松质骨屑及胶原基骨修复材料填入术区行植骨融合。超声骨刀切除C4/5/6/7椎板减压,打开椎管后,见硬脊膜膨出,压力增高。
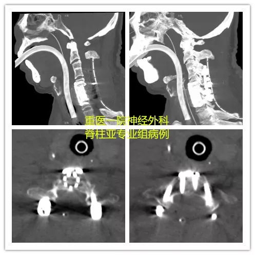
术后影像
术后复查CT可见椎管减压充分,内固定系统固定在位。

小结
颈椎爆裂骨折是导致颈椎管狭窄、颈髓损伤的重要原因,是目前非常常见的颈椎外伤。对于颈椎爆裂骨折并全瘫的患者,早期进行椎管减压,对于神经功能的恢复起着至关重要的作用。
结合患者术前CT,ASIA评级为*级A**;AOSpine分型为C5-C6:C(C6-A4;F1,F1;N4;M1), SLIC评分6分(2+2+2分),患者前后张力带均有损伤,故手术方式采用前后联合入路,首先行前路椎体次全切、钛笼置入,切除破碎椎体,清理骨折碎片,恢复椎管容积,恢复前中柱稳定性,为早期神经功能恢复提供有利环境,防止继发性损伤。继而采取后路螺钉内固定,重建后柱稳定。
术前需注意使用颈托保护骨折的颈椎,同时避免搬运过程中的二次损伤。
本例患者术后四肢肌力同术前,神经功能恢复仍待进一步随访。