听说身边有人查出癌症,总是令人震惊和郁闷,甚至还有一点恐慌。
而作为医生,每天都能遇到癌症病人,有的很年轻,有的很贫苦,甚至还有几岁大的孩子。
如果心理素质不够坚韧,就只能刻意冷漠!
没办法,当一个人做不了心有猛虎,就只能选择做一只刺猬,或者一只鸵鸟。
那么,一个无法回避的问题:查出癌症要不要治?
如果查出来就已经是晚期了呢?
不同的癌症,可以争取的存活期是不同的,甚至同一种癌症,年龄也相仿,最后的结局也可能差异很大!比如同样的晚期胃癌,有人冒险手术成功,又活了几十年;有的一年后复发了;还有的没有手术,该吃吃该喝喝,也坚持了好多年。
人的潜力也是不一样的。
早期癌症大都可以治疗,甚至治愈;晚期癌症都是跟阎王爷争命,多赚一天是一天,但也确实创造过很多小奇迹。
下面给大家分享一批长期存活的中晚期癌症病例:
人定胜天的小奇迹
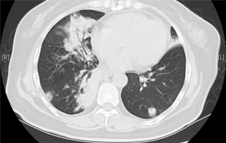
1.60岁的男性,胸闷咳嗽2月,确诊为肺癌并广泛淋巴结转移:

五年后复查,没有复发征象(做过化疗,没有做手术):

2.男性73岁,因为厌食、黄疸,查出晚期的肝门区胆管癌,已经生存四年多:

3.老年男性,吸烟多年,咳嗽,经支气管镜病理确诊的右下肺小细胞肺癌患者,合并右下叶肺不张:

没有手术条件,经综合治疗(放化疗为主)四年后,没有复发:

对小细胞来讲,这种治疗效果显著、并获得长期生存的比较少见。
但少见不代表没有!活着就有希望!
小细胞肺癌现在仍然是放化疗为主的综合治疗,没有靶向药物,但很多医学家们正在尝试寻找适合的靶点,期待他们的成功!
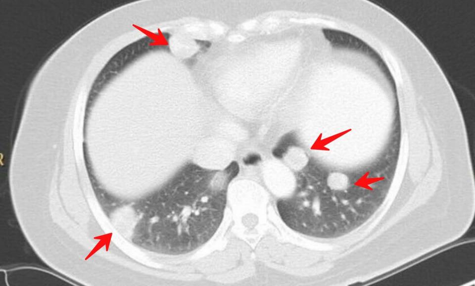
4.女性52岁,双肺粘液性腺癌(合并了气道播散),做过6次化疗和2种靶向药物治疗,生存五年多:

这是首都北京的一位病人,当初在军总医院进修学习时候遇到的,最后一次复查,控制得还不错:

遗憾的是进修结束之后就没有继续跟踪,不知道老人还在不在。
5.下面是一位流产后绒毛膜上皮癌的女性患者,因为咯血发现肺内多发转移瘤:

绒癌对化疗敏感,这位患者后来治愈出院了。
6.还有很多淋巴瘤、乳腺癌的患者,经恰当的手术、放化疗治愈,这种病例特别多,很多医院都会有。

这位女士乳腺癌术后第7年,发生胸骨转移,能活多久呢?
9年了,今年复查依旧稳定!
这种属于临床治愈,而距离她切除乳腺已经16年了。
总的来说,展示这些晚期癌症病例的目的,是希望肿瘤患者不要轻易放弃希望,不管治还是不治,不管采用哪种方式对抗肿瘤,相信奇迹才能创造奇迹!
也请相信主治医生,治愈疾病是医生最大的快乐!

万一运气不好,遇上一位医德欠缺医术不高的,换一个就是!日久见人心,害群之马早晚会被淘汰的!
这里是影像科豪大夫,感谢您的阅读和关注!