编者按
本期博览群术带来淄博市中心医院神经外科图团队应用Tubridge®治疗椎动脉V4段夹层动脉瘤病例,欢迎阅读!
患者资料
患者,男,42y,主诉:发现左椎动脉瘤样突起3个月。
现病史:患者3个月前因“右侧肢体活动不灵、脑梗死”。住院期间,行头颅CTA检查时发现左椎动脉瘤样突起,住院保守治疗后右侧肢体活动改善。
查体:2019-12-31 头颅CTA:左椎动脉瘤样突起,动脉瘤?
诊断:左椎动脉夹层动脉瘤
手术材料
手术过程
患者全麻下行左侧椎动脉V4段Tubridge®置入术。病人取仰卧位,常规双侧腹股沟部消毒、铺巾,Seldinger技术穿刺右侧股动脉,置6F鞘。
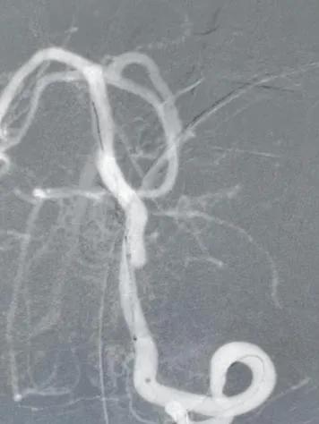
连接高压肝素盐水冲洗装置,6F导引导管在超滑导丝引导下超选进入左椎动脉入路段,行左椎动脉3D旋转造影并选取工作位,见左椎动脉V4段夹层动脉瘤,瘤颈约0.9cm,载瘤动脉约3.7mm(见下图)。


术中诊断:左侧椎动脉V4段夹层动脉瘤。
静脉肝素化,T-track支架导管微导丝导引下超选跨病变部位置入右侧大脑后动脉段。予以4.0×25mm Tubridge®血管重建装置于左椎动脉脊髓前动脉开口处近侧锚定缓慢释放,支架打开良好,贴壁完全。
支架置入过程




术后图像



造影显示病变部位造影剂滞留。载瘤动脉通畅,脊髓前动脉通畅。后分别行左右颈内动脉及右侧椎动脉正侧位造影,未见明显血管异常。
结束手术,患者麻醉清醒后安全返回病房,无神经功能缺失。7天后,患者康复出院。限期随访。
医生简介
邱雷 副主任医师
淄博市中心医院神经外科
杨波 主治医师
淄博市中心医院神经外科
本文首发于脑血管介入(id:i-neuro)