点击「神经介入在线」可快速关注
小王是一名公司职员,男,40岁,每天对着电脑长时间工作,闲暇时间低头刷微信,长期脖子酸痛。在朋友推荐下进行了颈椎按摩,立刻轻松了几分,从此喜欢时不时地按摩一下。可最近这一次按摩后,不仅脖子痛没有好转,反而出现了持续的头痛,后颈项部和右颞部明显,服用止痛片稍好转,但很快出现左侧肢体麻木、饮水呛咳、吞咽困难。小王连忙到医院就诊,拍了头颅磁共振。医生告诉小王,他得了“右侧延髓脑梗死”。小王万分紧张,同时百思不得其解。自己年轻,身体健康,没有高血压、糖尿病、心脏病,不抽烟、不喝酒,这怎么就会得了脑梗死呢?医生给小王做了头颈部血管造影,谜底揭开了,小王得了椎动脉夹层。

血管造影影像,提示右侧椎动脉V4段夹层动脉瘤伴重度狭窄
上图所显示的,就是椎动脉夹层了。那么——
什么是椎动脉夹层呢?
颈部动脉夹层(cervical artery dissection,CAD)是指颈部动脉内膜撕裂导致血液流入其管壁内形成壁内血肿,继而引起动脉狭窄、闭塞或动脉瘤样改变,主要为颈内动脉夹层(internal carotidartery dissection,ICAD)和椎动脉夹层(vertebral artery dissection,VAD)。CAD发生率在(2.6~3.0)/10万人年,其中ICAD发生率(2.5~3.0)/10万人年,VAD发生率(1.0~1.5)/10万人年。按剥离层面的不同,可分为内膜下夹层与外膜下夹层。内膜下夹层是内膜与中膜之间发生剥离,形成血肿,可以引起动脉壁扩张和管腔受压变窄;外膜下夹层是中膜与外膜之间发生剥离,容易产生动脉瘤样扩张,破裂至外膜及周围组织而形成假性动脉瘤。CAD是青年卒中的重要病因。国外资料显示,CAD导致卒中约为所有缺血性卒中的2%,在小于45岁的青年中的比例可高达8%~25%,而国内尚缺乏大样本的研究。

动脉夹层示意图
椎动脉夹层是如何发生的呢?
创伤(非开放性)是发生椎动脉夹层的重要危险因素。应注意有无特殊的头位。发生动脉夹层不一定与运动剧烈程度相关。其他一些因素也不容忽视,咳嗽,擤鼻涕,颈部按摩,从事某些体育活动如举重、羽毛球、高尔夫球、网球及瑜伽,紧急刹车时头部惯性前倾等,这些都可能导致椎动脉夹层。在快节奏、信息化高度发达的今天,颈椎按摩成了一个日益突出的诱因。
知道自己的脑梗死是颈椎按摩导致的,小王唏嘘不已,问医生有没有和自己相似的“难兄难弟”呢?医生告诉小王,这样的例子在年轻人中不算罕见,比如3个月前治愈出院小陈,不过,小陈得的是蛛网膜下腔出血。
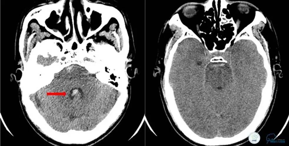
小陈,男,38岁,因突发头痛3天到医院就诊。入院前3天在颈椎按摩过程中突发头痛,呈全头部闷胀痛,伴头晕,一过性双眼黑矇。既往高血压病史1年。入院查体言语清晰,双眼球各向运动到位。示齿鼻唇沟对称。四肢肌力5级。双侧病理征阴性。颈抵抗,颏胸距4横指,克氏征阳性,布氏征阴性。余未见异常。入院后查了头颅CT,提示蛛网膜下腔出血。

入院时颅脑CT
医生给小陈做了全脑血管造影证实了椎动脉夹层,并实行了逆行弹簧圈栓塞术+椎动脉闭塞术。

术中脑血管造影

术后复查CT
术后3个月随访,小陈恢复良好,无头痛等不适。小王听了小陈成功治疗的案例很高兴,同时问题又来了,自己也要介入治疗吗?
椎动脉夹层的治疗是怎样的呢?
椎动脉夹层所致的缺血性卒中,急性期推荐抗血小板或抗凝治疗;抗血小板或抗凝治疗均可预防患者卒中或死亡风险。部分研究表明,疗程为3~6个月。但不同患者应注意个体化处理。出血性椎动脉夹层或在积极药物治疗基础上仍有缺血性事件发生的缺血性夹层,可考虑血管内介入治疗或手术治疗。
向小王介绍完病情,医生呼吁大家,注意去除椎动脉夹层的诱发因素,如颈椎按摩、特殊头位运动、尽量避免紧急刹车等等。颈椎按摩需适度,谨防椎动脉夹层。出现头痛,如抽痛、刺痛或剧烈头痛,甚至肢体无力、言语不清、黑矇、视力减退、口角歪斜、复视等症状,及时就诊。