【提要】今天我们为一位非常严重的胸廓畸形女性患者实施了矫正手术,患者在胎儿时期曾遭遇伤害,出生开始时畸形不明显,但随着身体的发育畸形逐渐显现,并发展成严重畸形。今天我们用改良Wang手术为患者实施了手术,手术获得圆满成功。
患者为年轻女性,30岁,来自西部某地。胎儿时期有外伤史,出生之初未见明显畸形,随年龄的增加,右侧胸壁逐渐出现异常,青春期时右侧乳腺未发育,胸壁正中凹陷扭曲,外观严重变形。曾到多家医院就诊,均未得到治疗。患者于3天前入院,渴望手术。
入院查体:右肩部低平,左侧较高,胸部左右不对称,右侧明显缩窄,右侧乳腺发育不良,左侧乳腺基本正常。胸壁正中凹陷,呈深沟状。触诊可见右侧前胸壁隆起,呈锐角前凸,靠正中侧呈陡坡状深陷,与左侧胸壁正中部分构成深沟,沟底呈锐角向右侧胸腔陷入。胸骨体正中凹陷,局部扭曲变形。心脏位于左侧胸腔,双肺呼吸音粗,未闻及啰音,未闻及心脏杂音。身体其他部位未见畸形。
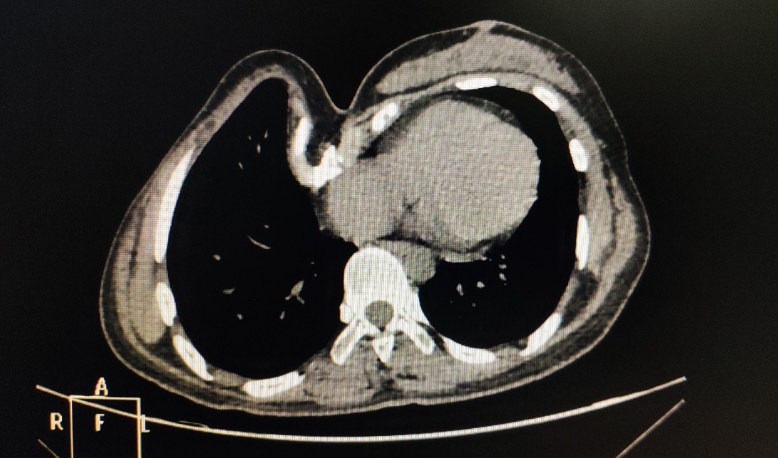
X线检查:正位片见心脏左偏,位于左侧胸腔,左侧肋骨走向异常;侧位片见前胸壁明显畸形。CT检查:前胸壁不对称、不规则型凹陷,凹陷最低处低于脊柱前沿。心脏受压,右侧胸廓严重变形(图1-2)。三维重建:前胸壁极度变形,呈不规则、不对称型凹陷。胸骨体受累,右侧胸壁结构变形严重(图4-6)。

图1,CT提示重度畸形。

图2,CT提示重度畸形。

图3,CT提示重度畸形。

图4,三维重建图提示重度畸形。

图5,三维重建图显示,凹陷最底部低于脊柱前缘,Haller指数无法测得。

图6,三维重建图显示胸廓正常形状消失。
术前诊断:重度胸廓畸形。有明确手术指征,未发现禁忌症,经充分术前准备,手术在今天上午完成。
手术过程:采用改良Wang手术完成矫正,操作过程过于专业,此处略去。
手术结果:手术历时2小时完成。手术过程顺利,未发生任何并发症。术后胸廓畸形完全消失,骨性结构形状基本恢复正常。
后续治疗:半年后取出矫形材料,做右侧隆胸。
今天的患者虽为先天性发病,治病原因却非常清楚。此前我们曾为两例类似的患者做过手术,今天的这位为第三例,是最严重的一例,也最不幸。
自从接诊了这位患者,我和小伙伴们心情都格外沉重,都盼望着手术能成功,能让这不幸的女孩从此不再不幸。手术终于成功了,结果很满意,但大家心情依然沉重。。。。。。
(王文林,广东省第二人民医院胸壁外科主任,工作微信:wangwenlinzhuren,公众号《胸廓畸形手术专家》:wangwenlinyishi )