
胃部结构
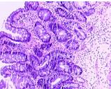
萎缩性胃炎就是指胃粘膜表面反复受到损害后粘膜固有腺体萎缩,甚至消失,色泽苍白,粘膜肌层增厚的病理改变。腺体改变后,胃粘膜变薄,并常伴出血,表现为肠上皮化生、不典型增生等。在我国,慢性胃炎中萎缩性胃炎占13.8%,而萎缩性胃炎癌变率达8.3%,国内外专家已经把萎缩性胃炎定义为癌前病变。因此,得了萎缩性胃炎病人应该引起高度重视。目前,如何根治萎缩性胃炎医学界还没有一套较好的方法,一般都是对症治疗为主。近年来,祖国中医中药对萎缩性胃炎进行了探索,取得了较好的疗效,本文列举几个症型阐述其辩证治疗方法以供参考。

萎缩性胃炎
肝胃气滞型
主症:胃脘胀痛,时轻时重, 功撑连协, 纳食不香, 嗳气频作,苔薄白,脉弦。发病大多与情志不舒畅有关系。
治法:疏肝理气,和胃止痛。
方药:柴胡10克 、 白芍 15克 、 香附 10克 、 枳壳 10克 、 陈皮 10克 、川穹 10克 、香橼 10克 、 郁金15克、 延胡索10克,炙甘草6克,水煎每日1剂。
方解:该病症在胃,而因在肝。肝气郁结不解,克犯胃土,肝气滞则胃脘痛。方中,柴胡疏肝解郁,白芍、香附、枳壳疏肝和胃,陈皮以运通壅滞之气,川穹以活血瘀,香橼、郁金增强疏肝解郁,延胡索增加止痛之效,诸药以炙甘草加以调和,功力倍增。
加减:胃酸多者,减陈皮,加生龙骨、牡蛎各15克,黄连6克,吴萸2克。胃消化不良者加枳实10克,虎杖15克。痛甚者加川棟子10克,三七粉3克(冲服)。
注意:理气药多芳香燥热之药,易伤阴液,不宜久服。本方行气活血,孕妇慎用。

正常胃细泡