两年前,威海市中心医院在烟威地区率先独立开展“方体定位定向软通道穿刺引流”技术治疗脑干出血。近日,该院神经外科又成功完成一例脑干出血精准微创手术,挽救了一名垂危患者的生命,目前该患者语言交流、四肢肌力已恢复正常。
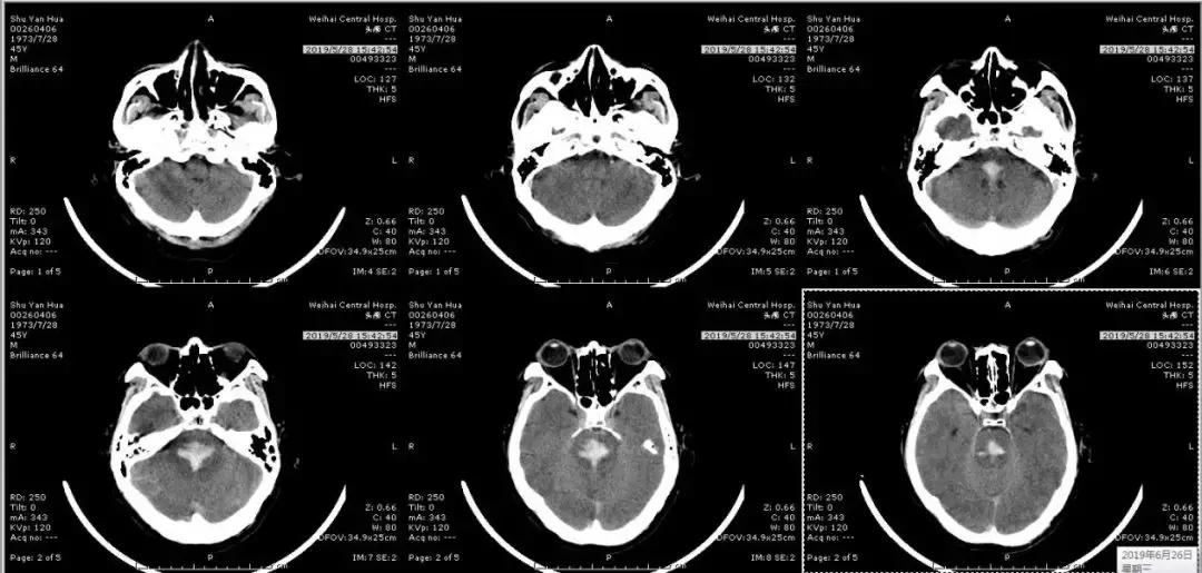
46岁的患者舒先生,5月24日上午突然头晕、呕吐,随即出现言语笨拙,四肢活动不灵,立即被送至威海市中心医院抢救。头颅CT检查示:脑干出血,出血量约3ml,期间患者持续内科保守治疗,但5月28日患者突然出现意识障碍加重、深度昏迷,呼吸急促、心率加快,复查头颅CT:脑干出血增多。出血量大于5ml,病情极其危重,已经危及生命。

(2019年5月28日入院后第4天血肿增多)
脑干是人体的生命中枢,是大脑的‘司令部’,负责调节复杂的各种神经反射活动,包括呼吸、心跳、血压等,对维持机体生命有重要意义。脑干出血是神经系统的危急重症,是神经系统最凶险、预后最差的疾病。据报道显示,脑干出血死亡率高达79%,出血量大于5ml者死亡率更是高达95%,存活的患者大部分遗留重大残疾,生存质量很差。
一旦发生脑干出血对医生和家属来说,治疗的选择面相当狭窄!怎么办?
脑干组织仅拇指指腹大小,但功能非常重要,急性出血后血肿会压迫脑干组织,危及生命中枢,各种治疗方案的效果均较差。面对脑干出血大于5ml的患者,只有手术治疗才可能有一线生机。于是神经外科予以会诊,并与家属沟通后,病人转入神经外科。
神经外科团队高度重视,在科主任的带领下进行了认真的术前讨论。通过充分地评估病情,团队制定了周密的手术方案,在征得家属同意后,决定采用“方体定位定向软通道穿刺引流”为患者实施脑干血肿微创精准穿刺手术。
据介绍,方体定位定向软通道技术经国家“十一五”、“十二五”科技项目临床研究证明治疗脑出血效果肯定,具有定位准确、操作简单、创伤小、血肿减小迅速、神经功能恢复快等优点,在国内得到了有力推广。它无需上头架,也无需再做CT定位。利用原CT片通过头部固有的骨性标志,借助专用卡尺画线定位,即可实现精准穿刺进入血肿靶心,彻底清除血肿。
5月28日晚19:30
由神经外科主治医师柏建峰主刀,为患者实施了“方体定位定向软通道穿刺术”。

经过术前精确定位,在后枕部准确将引流管置入脑干血肿靶心,抽出血肿少许,证实引流管在血肿腔;同时,侧脑室放置一根引流管,整个手术历时1小时,手术顺利完成!立即复查头颅CT,原来脑干斑片状的高密度影较前明显减少,患者送往重症医学科观察并进一步治疗。

(术中抽出脑干部分血肿)

(术后即可复查头颅CT)

(手术微创只有两个骨孔)
手术效果令人惊喜!
▲术后第3天,脑干血肿完全清除,解除了对脑干的压迫,患者意识大为好转,呼之睁眼,刺激能定位。脑干引流管顺利拔除,并行气管切开,患者的死亡威胁也同时解除了!
▲术后第4天,脑室引流管拔除!患者自主呼吸力度及咳痰刺激反应均较前明显增强,脱离呼吸机自主呼吸!
▲术后14天患者就可以配合医务人员指令完成抬手、抬脚等动作。
患者的每一个变化都让所有人为之振奋,家属的坚持和医生的努力,终于创造了奇迹↓↓↓
(患者可以完成日常动作)
目前,患者还在逐步康复阶段,语言交流、四肢肌力基本恢复到发病前,平衡功能稍差,还需要继续康复锻炼。接下来的日子,相信在患者的坚强意志、家属的理解配合和医护人员的共同努力下,患者能不断恢复,直至投入正常的生活工作。
据悉,威海市中心医院神经外科开展脑出血的微创治疗已有十多年的时间,两年前,科室选派业务骨干柏建峰向我国知名神经外科专家、中科院上海临床中心孙树杰教授学习,重点研究脑出血微创治疗,并取得了优异的成绩,积累了丰富的临床经验,采用方体定位定向软通道技术已开展近10例手术,科室在自发性脑出血、脑干出血等多领域“开疆扩土”,技术水平在威海及周边地区颇负盛名!
作为威海市临床重点专科,近年来,威海市中心医院神经外科在原来常规手术的基础上开展了大量高难尖手术,在本地区率先开展神经显微手术、神经内镜手术、脑立体定向手术、术中电生理检测手术、颅内压监测手术、神经调控手术、颈动脉内膜剥脱术、颅内外血管搭桥术等等。这次脑干出血微创精准穿刺引流技术的成功实施,再次跨越了“生命禁区”,手术经验更加丰富,将帮助越来越多的患者重获新生。
(所有影像视频资料已征得家属同意授权发布)


