本期看点
- 非HIV患者感染PJP目前尚无较好的早期诊断方法,如何评估病情?
- 提示我们未来诊断的研究重点有哪些?
- 面对此病例,呼吸科医生应掌握哪些基础理论?
- 治疗过程中,哪些方面应更加精细化?
引言
本案出自一位老年男性,患者无明显诱因罹患大疱性类天疱疮,曾在外院接受治疗。面对这样一名基础疾病多,免疫受损,又罹患死亡率极高的PJP,医生在展开针对病原学的抗感染治疗同时,如果遇到肺部病灶吸收不佳并出现多部位新发病灶时,首先该作何解释?究竟是用药差错?疗程不够?基因检测不准?亦或是疾病还存在隐匿的「帮凶」?该患者在诊治过程中伴随出现呼吸衰竭、低蛋白血症、电解质紊乱,急需尽快探明病因采取最佳治疗方案,否则命悬一线。紧急时刻应作何思考?鉴别诊断以及治疗突破口在哪?
患者长期应用糖皮质激素后出现胸闷、气急,胸部CT平扫提示双肺弥漫性改变,感染指标不高……
卷宗1
基本资料:男,62岁,因确诊 「大疱性类天疱疮」 于外院行近3个月治疗后全身皮疹较前明显好转;2022年7月20日起无明显诱因下出现反复胸闷、气急等症状,未予诊治,后因症状逐渐加重就诊上海长征医院呼吸与危重症医学科并收入住院部。
讲述者: 周超
患者于外院治疗期间规律使用糖皮质激素(甲强龙针剂+强的松片),虽当时全身皮疹较前明显好转,但2022年7月20日在无明显诱因下出现反复胸闷、气急,伴咳嗽、咳痰,痰呈白色粘液状,不易咳出,无畏冷、寒战、发热,无咳血、紫绀,无端坐呼吸及双下肢水肿等症状,当时未重视及进一步诊治,到我院就诊并收入病房后首先进行血常规检查后予以抗感染治疗,请看第二份卷宗:
卷宗2
血常规及血气分析:
血常规示:
白细胞:5.4×10^9/L;
中性粒细胞%:81.0%;
血小板:143×10^9/L;
超敏C反应蛋白:13.72mg/L。
血气分析提示:
I型呼吸衰竭(pH 7.45,pCO2 37.8mmHg,pO2 56mmHg)
8月6日对患者进行胸部CT平扫示「双肺炎症」(见图1),留取痰培养(细菌、真菌、结核)后,于8月6日起予头孢唑肟(2g bid)联合莫西沙星(0.4g qd)经验性抗感染治疗。

图1:2022年8月6日患者的胸部CT平扫
追溯患者的既往史及个人史,患者「大疱性类天疱疮」病史接近3个月,曾以「甲泼尼龙16mg bid」治疗5天后调整为「甲泼尼龙20mg bid」治疗2周(甲泼尼龙累积剂量720mg),6月1日至6月14日曾转诊至华山医院,期间因皮疹控制不佳,查EBV-DNA980copies/ml,考虑合并EB病毒感染,予改「甲强龙32mg静滴QD」及丙球治疗原发病(住院期间累积使用甲强龙708mg,丙球32.5g),皮疹较前明显好转。
患者有高血压史5年,血压控制平稳。糖尿病2月余,血糖控制欠佳。否认高血脂病史,否认结核、肝炎等传染病史,否认外伤史。4年前,曾因右下肢静脉曲张于我院行右侧大隐静脉高位结扎抽剥腔内闭合术,手术顺利,术后恢复尚可。否认输血史,否认食物及药物过敏史。吸烟史600(年/支),目前已戒烟2个月;无饮酒嗜好,否认家族性遗传病史。患者的体格检查情况请看第三份卷宗:
卷宗3
体格检查:
体温:36.4 ℃
脉搏:96次/分
呼吸:18次/分
血压:90/60mmHg。
全身皮肤可见数个大小不一地图状褐色色素沉着斑,无明疱疹、无脱屑;
双肺呼吸音粗,双下肺呼吸音减弱,可闻及散干湿性罗音。
右足背见一大小约2*2cm皮肤破溃伴轻度红肿,表面附有结痂,双足背动脉搏动对称,良好。
心脏、腹部及神经系统查体无明显异常。
我们对患者的初步诊断
1、社区获得性肺炎 双侧 PSI 72分 I型呼吸衰竭;2、大疱性类天疱疮;3、2型糖尿病;4、高血压1级 很高危;5、皮肤溃疡 右足背。
经验性抗感染治疗效果不佳,症状加重,应进一步完善哪些检查?治疗方案如何调整?
讲述者: 方正

图2:入院后体温单
2022年8月8日,患者自觉胸闷、气喘症状较前加重,无发热(图2)。复查血气分析提示氧合指数由245mmHg下降至193mmHg,查G试验阳性,痰培养示白念珠菌、肺炎克雷伯菌,痰涂片提示酵母样真菌孢子及假菌丝。我们结合患者长期使用激素,免疫功能下降,考虑为真菌(耶氏肺孢子菌肺炎可能性大)合并细菌感染,故从8月10日起予伏立康唑片(200mg q12h)+复方磺胺甲噁唑片(1.44g q6h)经验性抗真菌、头孢他啶(2g bid)+莫西沙星(0.4g qd)经验性抗细菌及不典型病原体、甲强龙(40mg bid)抗炎以及输注白蛋白、间断利尿、控制血糖血压、加强营养、维持水电解质平衡等对症支持治疗。

图3:2022年8月11日患者的气管镜检查
A 隆突B 右主支气管C 右中叶、下叶支气管D 左上叶支气管
治疗后患者胸闷、气喘症状较前稍缓解。为了进一步明确病原学,2022年8月11日行支气管镜检查(图3),镜下未见明显异常,于左固有上叶以20ml生理盐水行肺泡灌洗,回收灌洗液15ml分别行细菌学、真菌学、抗酸检验和mNGS检测。请看第四份卷宗,入院后的部分化验结果:
卷宗4
入院后部分化验结果:
(2022/8/8)糖化血红蛋: 糖化血红蛋白:7.8%;
(2022/8/8)血沉检测: 红细胞沉降率:21mm/h;
(2022/8/8)内毒素试验(MB80):<5、真菌D-葡聚糖检测:224.9;
(2022/8/8)肿瘤免疫:神经特异烯醇酶:25.0ug/L、CYFRA211:12.55ug/l、癌胚抗原:9.08ug/L、CA19-9:59.38U/ml、CA15-3:26.26U/ml;
(2022/8/8)痰涂片:一般细菌涂片:未查见细菌;真菌涂片:酵母样真菌孢子(4+)、假菌丝(2+);未查见抗酸杆菌;
(2022/8/9)抗巨细胞病毒IgM:阴性、抗巨细胞病毒IgG:阳性、HCMV-DNA:阴性、抗EBV-CAIgM:阴性;
(2022/8/10)细菌普通培养:肺炎克雷伯菌:4+、真菌培养:白念珠菌;
(2022/8/10)T-SPOT:阴性
(2022/8/11)红细胞:4.9×10^12/L、血红蛋白:111g/L、红细胞压积:34.10%、血小板:141×10^9/L、超敏C反应蛋白:10.67mg/L;生化常规:总胆红素:7.4umol/L、白蛋白:29.3g/L、球蛋白:26g/L、白球比:1.11、丙氨酸氨基转移酶:48U/L、天门冬氨酸氨基转移酶:32U/L、乳酸脱氢酶:534U/L、葡萄糖:6.3mmol/L、尿酸:259umol/L、肌酐:67umol/L、钾:4.11mmol/L、钠:137mmol/L、钙:2.11mmol/L;凝血常规: 凝血酶原时间:14.0S、活化部分凝血活酶时间:31.5S、凝血酶时间:17.1S、D-二聚体:1.95ug/ml;
(2022/8/11)心标项目: 高敏肌钙蛋白I:0.008ng/mL、B型钠尿肽前体:753.8pg/ml、肌红蛋白:31.9ng/ml;
(2022/8/11)降钙素原(PCT):0.061ng/ml;
(2022/8/12)自身免疫: 抗谷氨酸脱羧酶抗体:阴性、抗胰岛细胞抗体40KD:阴性、抗胰岛细胞抗体64KD:阴性、酪氨酸磷酸酶抗体:阴性、胰岛素自身抗体:阴性;抗Smith抗体:阴性、抗U1-RNP抗体:阴性、抗SSA抗体:阴性、抗SSB抗体:阴性、抗Jo-1抗体:阴性、抗Scl-70抗体:阴性、抗组蛋白抗体AHA:阴性、抗核小体抗体:阴性、抗核糖体抗体:阴性、CENP B:阴性、Ro52抗体:阴性;
(2022/8/13)肺泡灌洗液培养:未查见细菌、真菌、结核杆菌;
(2022/8/15)呼吸道病原: 嗜肺军团菌1型IgM:阴性、肺炎支原体IgM:阴性、Q热立克次体IgM:阴性、肺炎衣原体IgM:阴性、腺病毒IgM:阴性、呼吸道合胞病毒IgM:阴性、甲型流感病毒IgM:阴性、乙型流感病毒IgM:阴性、副流感病毒1/2/3型IgM:阴性;
(2022/8/16)CD细胞: CD4绝对值计数:69、CD8绝对值计数:80、CD4/CD8:0.86%。
此时我们思考的是,该患者双肺弥漫性病变应该如何考虑病因?是感染因素吗?患者有免疫受损因素,使用激素期间出现双肺炎症,肺部感染可能性更大,且需要考虑真菌、结核等特殊感染,根据影像学特点(双肺多形多态病灶相互重叠)结合G试验阳性、I型呼吸衰竭,首先考虑耶氏肺孢子菌肺炎,且4天前开始抗真菌及SMZ治疗,治疗期间气急症状明显缓解,留取肺泡灌洗液外送NGS检测,待结果回示必要时调整治疗方案;是非感染因素吗?包括结缔组织病相关间质性肺炎,患者有大疱性类天疱疮病史,此为自身免疫性疾病,是否累及肺尚无临床报道,是否存在潜在的其他结缔组织病需完善自身抗体检测,目前本院自身抗体检测未见阳性结果。患者肿瘤标志物个别有所升高,但目前尚无实性占位病灶,暂不予考虑。
患者PJP诊断明确,抗真菌治疗期间新发多处结节影,性质不明,是否另有隐情?
讲述者: 周超
8月13日患者肺泡灌洗液mNGS检测提示耶氏肺孢子菌(Reads=2788),考虑致病菌为耶氏肺孢子菌。耶氏肺孢子菌肺炎可出现明显低氧血症甚至呼吸衰竭,影像学亦符合此特点,但患者免疫受损严重,仍不能完全排除其他少见感染。
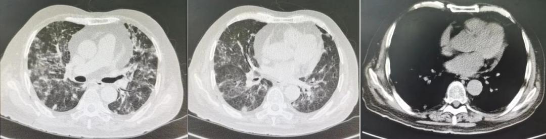
鉴于患者血象、CRP、PCT指标正常,且抗细菌治疗满1周,故予停药,继续予SMZ联合伏立康唑抗感染。然而,8月15日复查胸部CT平扫(图4)可见双肺渗出病灶较前有所缓解,但右肺新发多处结节影,性质不明。且因患者出现视力模糊,不除外伏立康唑所致神经精神异常不良反应,故改伏立康唑为卡泊芬净针50mg 1/日(首剂70mg)抗真菌治疗。

图4:2022年8月15日患者的胸部CT平扫
至此,我们不禁疑惑,既往双肺渗出性病灶较前缓解,考虑前期治疗有效,那么肺部新发多处结节状、团块状阴影到底是何原因呢?多种病因皆有可能,该从何入手以明确呢?
您认为新发多处结节影可能是什么原因?
-细菌感染
-肺炎支原体、衣原体感染
-真菌感染(曲霉、毛霉、隐球菌等)
-结核杆菌感染
-机化性肺炎
-血源性肺脓肿
-肺部肿瘤
-结节病
-淋巴瘤
随后,我们进行了全科讨论,重点围绕患者新发肺部结节状、团块状阴影性质,考虑一元论还是二元论,需要加做哪些检查?讨论后意见如下:
周超主治医师意见: 患者为老年男性,病程较短,病情发展迅速,结合患者病史、查体、相关检验、痰培养及外送肺泡灌洗液NGS检测,目*考前**虑真菌(以耶氏肺孢子菌为主可能合并肺曲霉菌)感染,入院查免疫指标(CD4、CD8、白蛋白、球蛋白)偏低,自身免疫力差,结合胸部CT,右下肺叶病灶进展迅速,可见晕征,侵袭性肺曲霉菌暂不能排除;患者右足背破溃,金黄色葡萄球菌可经此入血,但患者虽有咳嗽、少许黄脓痰,但无发热、感染指标不高,暂不考虑血源性肺脓肿所致肺部阴影,可留取创口分泌物培养进一步寻找病原学;下一步可行肺穿刺活检术,留取标本送病理+真菌进一步明确病灶证据。
齐广生副主任医师意见: 患者自身免疫性疾病诊断明确,根据患者病史及入院后相关检验检查,耶氏肺孢子菌肺炎诊断明确,新发团块状晕征,考虑真菌继发机化性肺炎,可再次行G试验、GM试验、乳胶凝集试验,建议行肺穿刺活检术,送病理+基因检测+皮肤真菌学检查,必要时再次复查右下叶气管镜肺泡灌洗液送检NGS完善病原学依据。
方正副主任医师意见: 患者耶氏肺孢子菌肺炎诊断明确,新发结节影,空洞伴晕征,在原有基础上增大,建议行肺穿刺活检术,送病理+基因检测+皮肤真菌学检查,根据患者经济情况,可加用胸腺肽、丙种球蛋白加强机体免疫,必要时可更换两性霉素B胆固醇硫酸酯复合物抗真菌治疗。
唐昊主任意见: 患者为老年男性,基础免疫差,结合病史查体及相关检查,耶氏肺孢子菌肺炎诊断明确,抗感染治疗后双肺仍有新发结节影,存在空洞样改变伴有晕征,侵袭性肺曲霉菌感染不能排除,建议行肺穿刺活检术,送病理、真菌培养、结核抗酸染色以及宏基因组二代测序,必要时再次行支气管镜+支气管肺泡灌洗,BALF送检进一步明确病原学,经验性予两性霉素B胆固醇硫酸酯复合物广谱抗真菌治疗,注意观察药物不良反应及血压、血糖变化。
完善右肺下叶结节穿刺并送检病理及基因检测……为何之前SMZ、伏立康唑、卡泊芬净抗真菌治疗效果不明显,反而出现新发病灶?
讲述者: 方正
至此,为尽快明确病因,团队与患者及家属沟通后完善了右肺下叶结节穿刺,并送检病理及mNGS。

图5:2022年8月17日患者俯卧位行右肺右下穿刺活检
8月17日,患者在CT引导下行经皮右肺下叶结节穿刺术(图4)。鉴于患者为老年男性,免疫受损人群,以反复胸闷、气急起病,多次查真菌D-葡聚糖检测升高,痰培养示白念珠菌、肺炎克雷伯菌,痰涂片提示酵母样真菌孢子及假菌丝,肺泡灌洗液NGS检出耶氏肺孢子菌,耶氏肺孢子菌肺炎诊断明确,但经SMZ+伏立康唑抗感染治疗后复查CT新发多处结节状阴影,伴有晕征,经全科疑难病例讨论后,考虑侵袭性肺曲霉菌感染仍不能排除,亦不能排除毛霉菌、隐球菌等少见真菌感染,故停用卡泊芬净,经验性予两性霉素B胆固醇硫酸酯复合物(75mg→150mg→225mg,225mg维持 1/日)抗感染广谱覆盖真菌治疗,待肺穿刺活检组织mNGS结果回报后再行调整方案。
8月20日,肺穿刺组织NGS检测结果回报「耶氏肺孢子菌(Reads= 368),EB-病毒A(Reads=3),猫立克次体(Reads=1)」。
8月22日,穿刺组织病理回报「少量血凝块、肺泡组织及纤维血管组织,未见明确坏死及肉芽肿性炎,请结合临床」,仍考虑为耶氏肺孢子菌,故暂不调整抗感染方案。
8月22日复查胸部CT平扫(图6),见双肺磨玻璃病灶较前明显吸收,双肺结节较前有所吸收,评估治疗有效。患者目前一般情况较前明显好转,气急症状较前明显减轻。

图6:2022年8月22日患者的胸部CT平扫
但为何之前SMZ、伏立康唑、卡泊芬净抗真菌治疗效果不明显,反而出现新发病灶呢?是疗程不够吗?亦或是另有隐情?团队仔细分析病情诊治演进过程,考虑可能有以下几个原因:
1、影像学不典型:肺孢子菌肺炎的影像学表现取决于患者的基础疾病、免疫抑制程度和感染持续时间。早期肺孢子菌肺炎表现为细小、双侧、肺门周围或弥漫性浸润,进展为间质性肺泡蝶型弥漫性病灶;浸润通常从肺门区扩散到肺外周或基底部。尽管进行了治疗,但肺部病灶通常会进展,并在3到5天内逐渐实化。肺孢子菌肺炎的异常影像表现很常见,包括结节、单侧浸润、胸腔积液、气胸、淋巴结病变或肺叶实变。
2、评估时间:非HIV患者PJP标准药物治疗疗程为3周,轻症感染的疗程至少2周,该患者8月15日复查胸部CT评估仅为用药后5天,尚未达疗程,虽出现新发结节,但总体斑片状影较前减少,仍考虑治疗有效。
3、给药途径:对于中至重度 PJP 的治疗应当选择静脉给药,当患者的胃肠道吸收功能完好并病情得以改善后,考虑换为口服用药。
因此,该病例最终诊断为
1、耶氏肺孢子菌肺炎 双侧 PSI 92分 I型呼吸衰竭;2、大疱性类天疱疮;3、2型糖尿病;4、高血压1级 很高危;5、皮肤溃疡 右足背;6、低蛋白血症
讲述者: 周超
最后,我们再回顾下PJP的最新诊治进展,总结如下:
肺孢子菌肺炎,又称耶氏肺孢子菌肺炎(PJP),是由于肺孢子菌引起的间质性浆细胞性肺炎。易感人群主要为免疫抑制患者,最主要为HIV感染者,另外包括实体器官及造血干细胞移植患者、先天免疫功能缺陷者及恶性肿瘤正在化疗者、长期使用皮质醇激素患者等等。发生肺孢子菌肺炎危险因素包括:CD4计数小于200cells/mm³、CD4比例小于14%、前期感染过PJP以及口腔鹅口疮等。HIV感染者典型临床表现为:呼吸困难(最为常见),发热、干咳及低氧血症,病程可持续一个月甚至更长,肺部听诊可为阴性,呼吸功能损伤症状包括呼吸急促、心动过速和紫绀等。非HIV感染患者多急性起病,肺部受累通常更严重,发生严重的低氧血症,呼吸功能快速恶化,呼吸衰竭,死亡率高。
诊断方面:
1、肺孢子菌肺炎常表现为低氧血症和发热,但无明显痰液生成,临床上缺乏特异的症状和体征,影像学显示弥漫性间质病变;
2、实验室检查:白细胞计数可正常或稍高,血气分析表现为低氧血症,血清学检测 CD4+T 淋巴细胞计数< 200/μL、乳酸脱氢酶及 G 试验阳性等;
3、通过纤维支气管镜支气管内膜刷检,支管抽吸物、分泌物涂片,支气管肺泡灌洗,穿刺或开胸肺活检等方法获取病原体,检出耶氏肺孢子菌的包囊或滋养体以确诊,可同时送检基因检测;
4、肺孢子菌感染的肺的组织病理学是独特的。空气空间充满泡沫状嗜酸性渗出物,呈蜂窝状;肺泡内渗出物由生物体、大量表面糖蛋白、来自肺部的蛋白样渗出物以及巨噬细胞和炎性细胞碎片组成。同时,多形核白细胞和淋巴细胞浸润肺泡间质。
治疗方面:
1、SMZ作为一线药物和首选药物,在众多药物中疗效突出。在严重感染中,喷他脒可能仍是TMP-SMX后的第二线药物,但喷他脒治疗可能因多种毒性作用而避免(表1、2);
2、进行性低氧血症人群早期应用皮质类固醇,最好在开始抗菌治疗的72小时内使用,建议每天给予40至60mg强的松(或等效物),每次2至3次,持续5至7天,然后在10至14天内逐渐减少,以避免反弹性肺炎;
3、抗菌治疗的持续时间应至少为14天,通常需要更长的疗程;
4、辅助措施:如集落刺激因子和减少免疫*制剂抑**等措施。

表1 非HIV患者PJP的推荐一线治疗

表2 非HIV患者PJP的推荐二线治疗
经验与体会
1、非HIV感染PJP患者临床症状及影像学表现不典型,容易合并多重感染,病情进展迅速,mNGS检测肺泡灌洗液阳性率高,如病原学诊断较为困难,建议尽早行体液或组织mNGS检测;
2、临床中肺部感染治疗后出现进展,不仅要考虑抗菌药物的未覆盖、耐药、疗程、评估时间等因素,还要关注病原菌的特异性;
3、免疫缺陷患者,临床医生应该考虑可能的一些特殊病原体感染,必要时可采取预防性治疗。
主任点评: 唐昊
非HIV患者感染PJP多见于恶性肿瘤、器官移植等免疫缺陷人群,预后通常较HIV感染患者差,且目前尚无较好的早期诊断方法。病原学染色法敏感性差,G试验仅可作为非特异性指标,用于评估PJP病情严重程度。如果符合PJP临床表现和影像学表现的患者,血清G试验升高和下呼吸道标本中肺孢子菌DNA拷贝数增加是诊断PJP的较好指标。积极寻求早期、特异、无创的新型检测方法将是未来PJP诊断的研究重点。
本病例肺孢子菌肺炎诊断明确,虽然针对病原学抗感染治疗后,肺部影像学出现新发多处结节影,但考虑疗程不够,且PJP肺炎未必出现典型影像学表现,因此作为呼吸科医生,应该熟练掌握特殊及罕见病原体感染的基础理论知识,对于不同病原体,抗感染药物的使用方法以及疗效评估时间应更加精细化,才能灵活运用各类抗感染药物,不断提高感染性疾病的诊治水平。
参考文献
1.Senécal J, Smyth E, Del Corpo O,et al. Non-invasive diagnosis of Pneumocystis jirovecii pneumonia: a systematic review and meta-analysis. Clin Microbiol Infect. 2022 Jan;28(1):23-30.
2.Fishman JA. Pneumocystis jiroveci. Semin Respir Crit Care Med. 2020 Feb;41(1):141-157;
3.Ghembaza A, Vautier M, Cacoub P, et al. Risk Factors and Prevention of Pneumocystis jirovecii Pneumonia in Patients With Autoimmune and Inflammatory Diseases. Chest. 2020 Dec;158(6):2323-2332.
专家介绍

唐昊
上海长征医院(海军军医大学第二附属医院)呼吸与危重症医学科主任,中华医学会呼吸病学分会 9/10届青委会委员,中国医师协会呼吸医师分会青年委员,上海市医学会呼吸病学分会委员兼秘书,上海市医学会变态反应分会委员,上海市医师协会呼吸医师分会委员,上海市优秀学术带头人,上海市曙光学者,上海市浦江人才,上海市青年科技启明星,上海市卫生系统“新优青”,主持国家自然科学基金4项,第一作者/通讯作者发表SCI论文20余篇,IF>10分3篇,累计影响因子95分。

方正
上海长征医院(海军军医大学第二附属医院)副主任医师、副教授。上海市医学会呼吸分会委员,上海市医学会呼吸分会感染学组委员,上海市黄浦区专家组成员。医疗特长:肺癌的综合诊治、肺部疑难和危重感染的诊治、支气管镜的介入治疗、胸膜疾病的内科胸腔镜的诊治等。

周超
上海长征医院呼吸与危重症医学科主任助理,主治医师、讲师。主要研究方向:肺部肿瘤、呼吸危重症的综合诊治。发表SCI论文和国内核心论著共5篇,参编著作2本。
* 文章仅供医疗卫生相关从业者阅读参考
本文完
采写编辑:冬雪凝;责编:Jerry