30岁的徐女士起床时突然呕吐不止,呼吸急促,继而昏迷不醒,其家属拨打120,由新乡市第二人民医院(下称市二院)急诊科接入院。

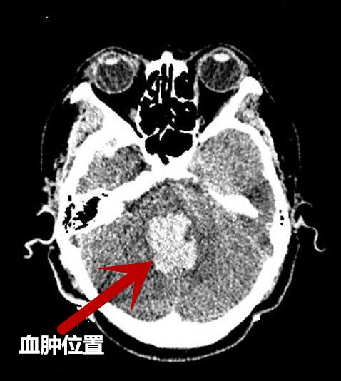
“入院时,患者意识呈深昏迷状态,血压210/116mmHg,自主呼吸急促,面色紫绀,立即行气管插管,呼吸机辅助呼吸,头颅CT提示:脑干出血破入脑室,出血量约13ml,因患者病情危急,转入神经外科ICU给予积极治疗维持生命体征。”接诊的急诊科医生回忆说。

主管医生杨军在认真查看了患者情况后,发现患者病情逐渐加重,意识呈深度昏迷状态,病情极危重,随时有可能因颅内压升高引起死亡。
脑干出血到底有多危险?
杨医生介绍,脑干是人生命中枢所在,素有“生命禁区”之称,是管理人体呼吸、心跳和血压的中枢。而脑干出血起病突然,进展迅速,预后较差;是所有脑卒中当中病死率最高,预后最差的疾病。据统计,出血量在3ml以下的,死亡率70%左右;出血量在5ml以上的;死亡率90%左右,其中出血量超过10ml以上的,死亡率可达100%。即使是医术快速发展的今天,脑干还是相对被视为手术禁区。因此,一旦发生脑干出血,对医生和患者来说,能选择的治疗相当少。
脑干出血的治疗方式有三种:一是保守治疗,二是开颅血肿清除术,三是立体定向脑干血肿穿刺碎吸引流术。
面对30岁的徐女士,还那么年轻,
如何选择治疗方式成为了难点。
若选择保守治疗,虽无手术创伤,但只能等待血肿自行吸收,血肿压迫脑干无法得到解除,大多数患者最终因脑干功能衰竭致死亡。即使病人幸存下来也多遗留严重的神经功能缺损,预后不好,植物人的可能性非常大。
若选择开颅血肿清除术,鉴于出血部位深,对手术器械和技术的要求非常高,手术难度、风险极大,对脑干及周围组织的破坏比较大,成功率低,后遗症多。
若选择“机器人”辅助定位立体定向脑干血肿穿刺碎吸引流术,创伤小,定位更精确、手术时间短,血肿能快速清除,对脑干及周围组织的破坏小,恢复快。但是,此手术对精准度要求非常高,穿刺位置不能出现丝毫差错,稍有差错都会有生命危险。
三种治疗方式,
作为家属该怎么选择?
“她还那么年轻,我不想她就此去了。哪怕醒来只有一丝希望,我们都愿意去尝试。若结果不理想,我也不后悔。”患者的母亲匆忙赶来,肯定的对简国庆教授说。
面对此情况,新乡市神经外科疾病微创诊疗中心主任、市二院副院长简国庆立即组织相关科室讨论,通过充分地评估病情,在征得家属同意后,决定在”机器人”辅助定位下行立体定向脑干血肿穿刺碎吸引流术,为其赢得醒来的一线生机。


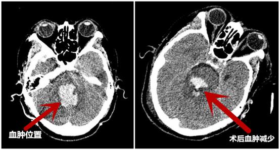
经术前充分准备,历时2小时,手术顺利完成。

术后复查CT,与术前CT对比血肿明显减少
术后,简国庆院长说道:机器人”辅助定位立体定向脑干血肿穿刺碎吸引流术,与传统手术相比,定位更精确,创伤小;并且通过术前精准的设计穿刺路径,能避开重要神经和血管,使患者能以最小的损伤取得最佳的治疗效果,使患者脑干的大血肿转化为小血肿,同时采用冲洗、药物溶血、引流等方式排空血肿,使患者获得生存机会,后期通过康复促醒提高患者生存质量。

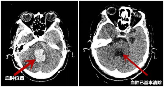
术后15天复查CT
与术前CT对比血肿已基本清除
知识链接
“机器人”辅助定位立体定向技术的应用范围有哪些?
“机器人”辅助定位立体定向技术采用现代影像学定位和立体定向仪引导,通过对患者颅脑进行细致的扫描,来构建三维立体的脑部结构图,准确定位靶点位置,误差精确到1mm以内。具有稳定、精度高、机械臂臂展摆位灵活、不疲劳等特点,能帮助医生避开重要血管和神经,规划最优手术路径,标准化手术流程,便于辅助医生开展各类高难度神经外科手术,最大程度上减轻患者痛苦,降低感染风险,可大大提升手术效率和安全性。适用于高血压脑出血、脑脓肿、脑肿瘤、颅内占位性疾病、癫痫、帕金森、三叉神经痛等颅内疾病的诊断及治疗。
市二院专家介绍

简国庆 副院长 神经外科主任 主任医师
*共中***党**员、医学硕士、主任医师、新乡市第二人民医院副院长,中国研究型医院学会神经外科学会委员,全国显微血管减压术治疗颅神经疾患协作组专家,河南省医学会神经外科学分会委员,河南省抗癫痫协会委员,河南省神经肿瘤专业委员会委员,河南省神经修复专业委员会委员,新乡市牧野区政协常务委员。2005年创建了新乡市第二人民医院神经外科,应用脑立体定向技术及微创手术治疗帕金森氏病、难治性癫痫、三叉神经痛、脑积水、脑肿瘤、小儿脑瘫、脑出血等各种脑病近万例,在省内处于领先地位。发表学术论文20余篇,编写专著两部,获得省级科技成果一项。先后被授予河南省十大科技医疗学科带头人、新乡市优秀青年科技专家、新乡市十大杰出青年,新乡市五一劳动奖状获得者、医德先进个人、新乡市百名优秀医生等荣誉称号。