重症肺炎3天危险期

标题:青岛14岁男孩病危!社会热心爱心涌动,千金救子心意暖人心

14岁男孩辛佳昊突患葡萄球菌性肺炎,情况危急!医院ICU人工肺维持生命,每日治疗费高达两万多元!父母急求救,社会热心伸出援手。

爱心汇聚,善款暖心。社会各界不约而同给予支持,数额不等的善款源源涌入,千金救子之心让这家普通家庭感受到了暖意。

无私捐助,医治之心暖人心。爱心人士纷纷伸出援手,有人捐助特效药,有老人拿出积攒的钱,更有邻居主动提供资助。这份无私的关怀和帮助,令辛佳昊的家人感激不尽。

老读者爱心书信,传递温暖情谊。忠实读者更是不遗余力,捐助善款并亲自写信鼓励辛佳昊,愿其早日康复。这份真挚的祝福,温暖着每个人的心。

病情起伏,风险未除。尽管孩子的病情有所好转,但仍然面临着不小的风险,医治之路尚未结束。他们仍需要持续的治疗和支持。

社会温暖之心,如期待的曙光,期盼着辛佳昊早日康复。愿这份爱心之光照亮前行之路,为他们带来更多希望与温暖。

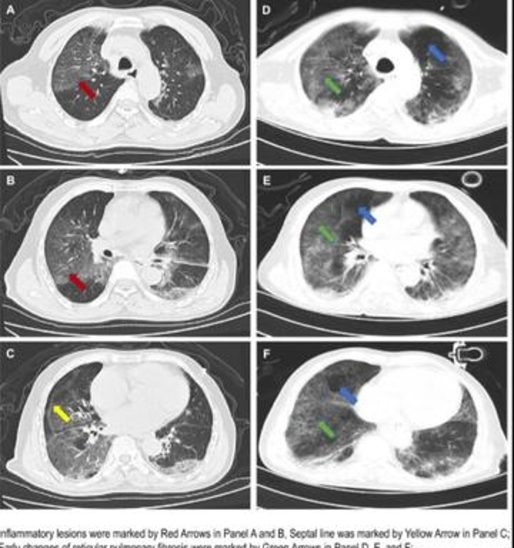
替加环素治疗重症肺炎效果

标题:长沙6家“宝藏”企业积极参与“抗疫”:技术装备齐发,共克时艰

长沙经开区挖掘了六家“宝藏”企业,它们在“抗疫”工作中发挥着举足轻重的作用。从药品捐赠到高新技术设备研发再到医废处理,这些企业用专业能力和先进技术全力以赴,为疫情防控贡献自己的力量。

赛隆药业:捐赠400万元药品,医护保驾护航

长沙赛隆药业捐赠价值超过400万元的药品,其中包括提高一线医务人员免疫力的注射用胸腺法新和治疗多重耐药菌感染的注射用替加环素等药品,为抗疫一线提供坚实支持。

易码智能:研发无接触红外测温仪,为防疫筑起第一道屏障

易码智能公司研发基于视觉成像技术的手持热成像红外测温仪,无接触高效初筛人体温度,为防控交叉感染建立了重要的抗疫屏障。

万容科技:模块化医废处理系统,确保医疗废物安全处置

针对医疗废物处理难题,万容科技设计开发了模块化医疗废弃物防控装备,能高效、安全地处理医疗废弃物,保障环保和安全。

华膜水处理:为消毒制品公司提供水处理设备,确保生产安全

华膜水处理为消毒制品公司生产了反渗透水处理设备,并确保设备稳定运行,为生产防疫物资提供了可靠保障。

航天凯天环保:全体职工捐款,保障城市环境清洁

航天凯天环保向多地捐赠防护物资,全体职工积极捐款,同时组织环卫工人对城乡生活环境进行定时清洁和全面消毒,为城市环境保洁工作提供有力支持。

凯源科技:免费提供设备维修服务,保障医疗物资生产

凯源科技为医疗物资生产企业提供设备维修服务,确保设备稳定运行,为医疗物资生产保驾护航。

这六家企业以自身专业能力和技术优势,积极参与疫情防控工作,为全面打赢疫情防控阻击战贡献了自己的力量。

孩子肺炎出院后能马上上学吗

标题:重症肺炎后再次感染:小男孩康复需谨慎复学

小男孩重症肺炎出院后未完全康复便返校,再次感染令人忧心。专家指出,肺炎支原体感染的孩子需完全康复后再复学,以免传染给其他同学。

湖南省儿童医院呼吸内科主任陈艳萍表示,建议患儿治疗2-3周后,症状消失、肺部炎症吸收、活动不再引发咳喘后方可复学。恢复时间取决于感染严重程度和体质,家长需密切关注医嘱,避免过早让孩子复学。

医生强调,家长切勿擅自停药,以免病情反复或产生耐药性。孩子需充分休息,避免剧烈运动,家庭护理和避免交叉感染至关重要。在孩子健康面前,务必谨慎行事,等待完全康复后再考虑返校。
