病历描述:脑循环(供应脑的血管系统)有供应血液的脑动脉系统和回流血液的静脉系统,脑的静脉系统主要包括脑静脉及其汇入的静脉窦。颅内静脉窦血栓形成是脑血管病的一种特殊类型,可分为静脉窦和脑静脉血栓形成两种,按病变的性质可分为非炎症性和炎症性两类,炎症性又称作化脓性静脉血栓形成或血栓性静脉炎和静脉窦炎。常起病于消耗性疾病、脑外伤、产褥期、血液病、心脏病、眼鼻颜面部感染、脑膜炎、败血症等之后。各年龄性别均有,婴、幼儿、老年体弱、产后妇女、慢性病体弱患者易发。
患者,男性,31岁
主诉:发热、头痛8天,突然意识不清、四肢抽搐1天
现病史:病前2周“感冒”史
既往 史:无特殊。
查体:GCS14分,NIHSS2分。嗜睡,双眼视乳头水肿,四肢肌力5级,颈强,颌下3横指,右侧Babinski征(+)
辅助检查:
血、尿、粪常规正常范围。
肝肾功能、电解质正常范围。
蛋白C、蛋白S正常范围。
凝血功能:D-二聚体 2.06μg/ml(正常值0.5 μg/ml)
脑脊液:压力290(80-200mmH2O);白细胞24(0~8×106/L);蛋白1.5(0.15-0.4g/L);糖4.2(2.8-4.5mmol/L);氯化物120(119-129mmol/L)
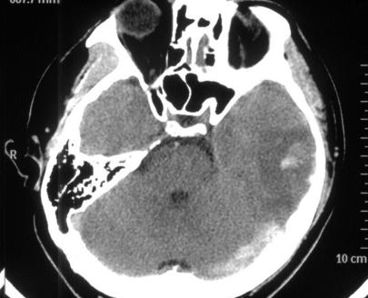
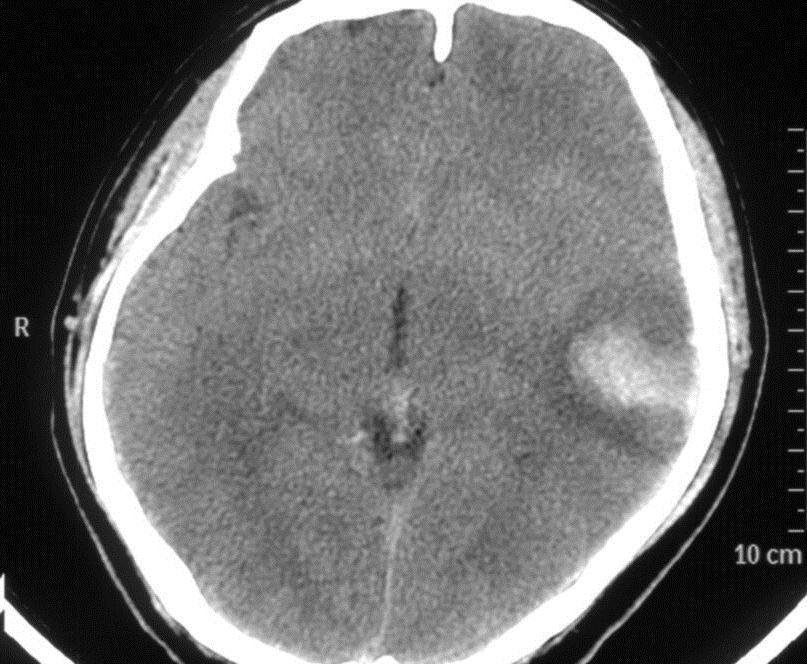
脑CT :左侧横窦条索征,左侧颞叶脑出血,见图1&5

图1

图5
脑MRV:左侧横窦、直窦、窦汇显示不清,见图2

图2
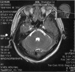
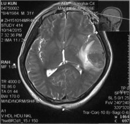
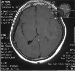
脑MRI:左侧横窦条索状高信号,左颞叶脑出血,见图3&6、7、8

图3

图6

图7

图8
脑CTV:左侧横窦、乙状窦未显影;脑CTA:动脉未见明显异常,见图4

图4
诊断:
颅内静脉窦血栓形成
(继发左侧颞叶脑出血、继发性癫痫)
治疗原则:
1.病因治疗-抗感染
2.抗凝治疗-最关键,低分子肝素、华法林
3.溶栓治疗-经足量抗凝治疗无效且无颅内严重出血的重症患者,可在严密监护下慎重实施局部溶栓治疗(ⅡC);全身静脉溶栓治疗CVST无支持证据。局部接触性溶栓 rt-PA 在血栓内缓慢推注。
4.血管内治疗-经导管机械取栓术或手术区取栓;静脉窦内支架术;CVST继发硬脑膜动脉窦。
5.对症治疗-糖皮质激素。
小结
提高警惕,注意与其他疾病相鉴别,早诊断早治疗,定期随访。
更多病历可到医生汇(医学V直播)观看。