病例摘要:廖某某,女,45岁,因“意识障碍1小时余”为主诉,于2022-06-07 09:00入院。
入院诊断:
重型颅脑外伤,右颞叶脑挫伤,双侧硬膜外、下血肿,蛛网膜下出血,小脑幕裂孔疝,脑干水肿,左额颞顶头皮血肿,左颞顶骨、右蝶骨翼骨折;并于15:00急诊于手术室在全麻下行“左侧硬膜外血肿清除+双侧额颞顶部硬膜下血肿清除+双侧硬脑膜成形+双侧去标准外伤大骨瓣减压术+右侧颞叶挫伤血肿清除颅内减压术+左颞枕部头皮挫裂伤清创缝合术”后(18:10)继续ICU监护治疗。
查体:
神志昏迷,T36.1℃ P85次/分。BP 139/73mmHg SpO2100%,头部留置四条引流管,引出血性液体。双侧瞳孔等大等圆,直径大小约2.0mm,对光反射消失。治疗上给予呼吸辅助通气(SIMV模式)、输血、止血、脱水减轻脑肿胀水肿、补液、维持内环境稳定等对症支持治疗。
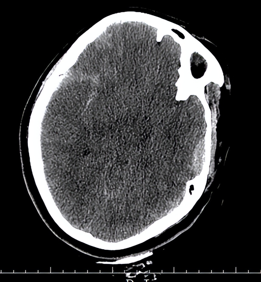
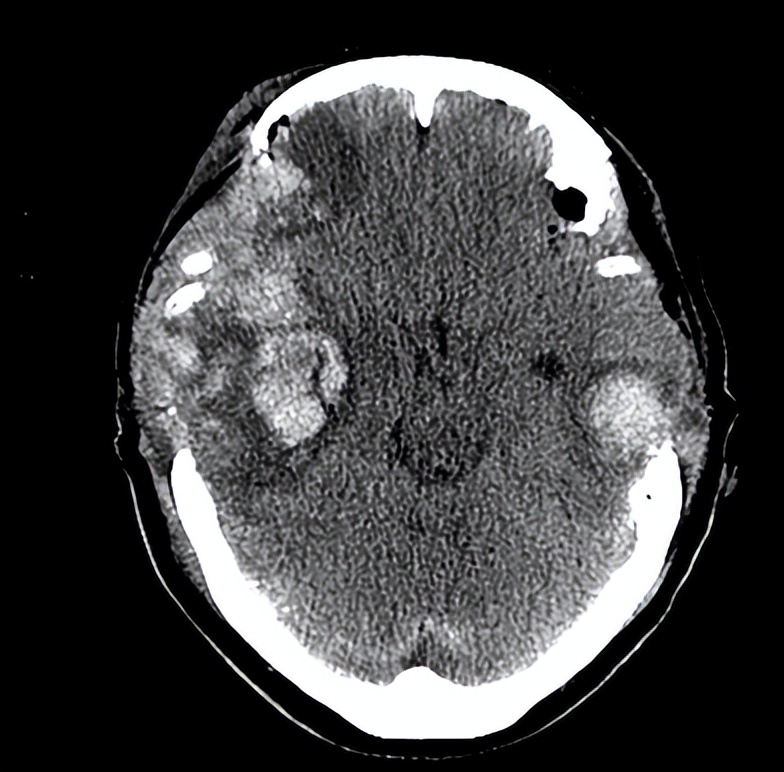
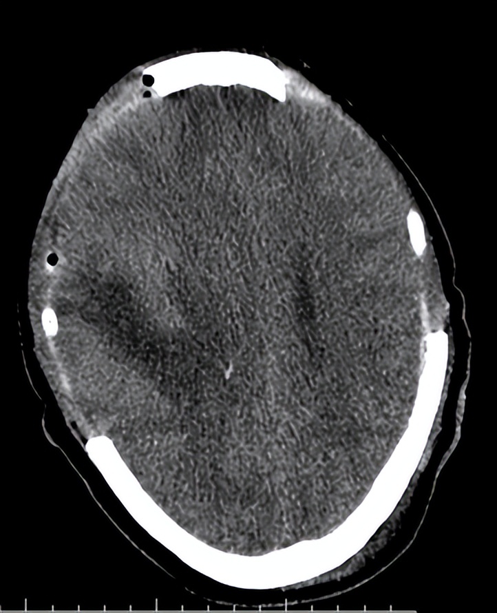
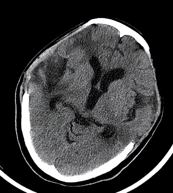
06-07日入院时头CT


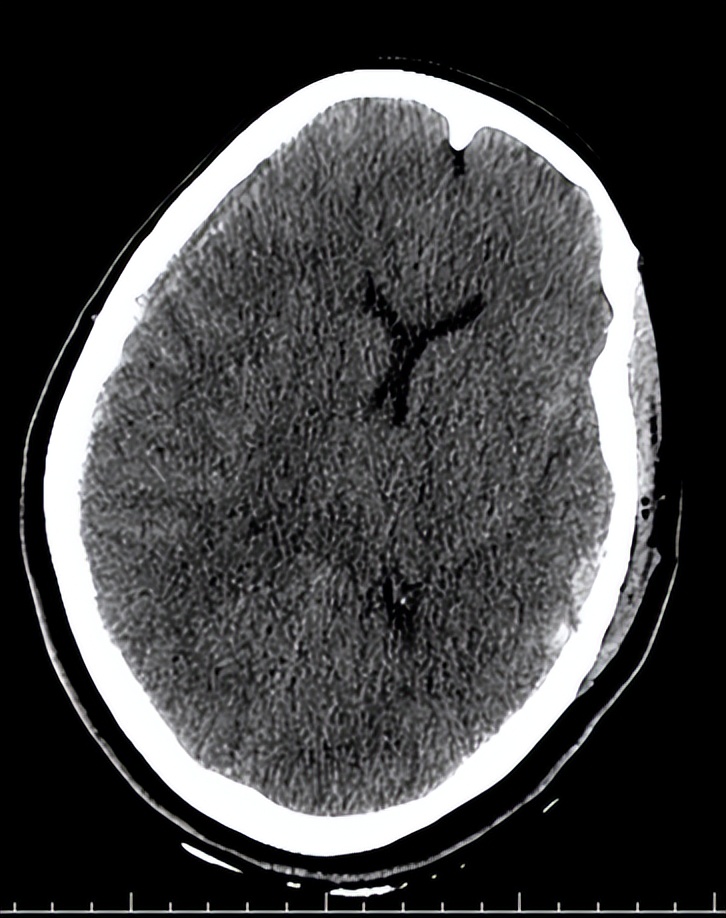
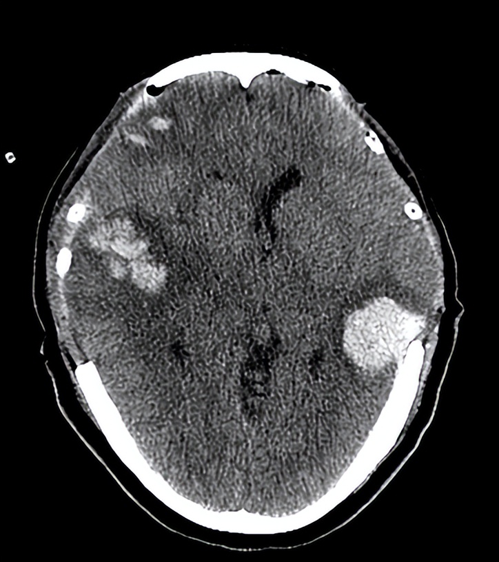
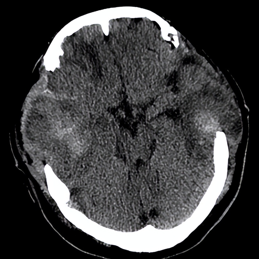
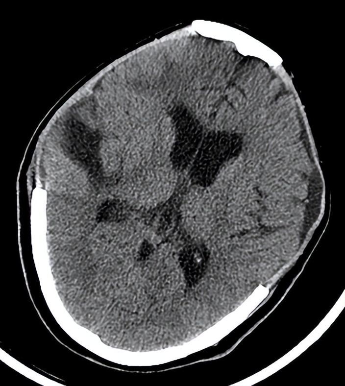
06-07 21:30术后复查头CT示:


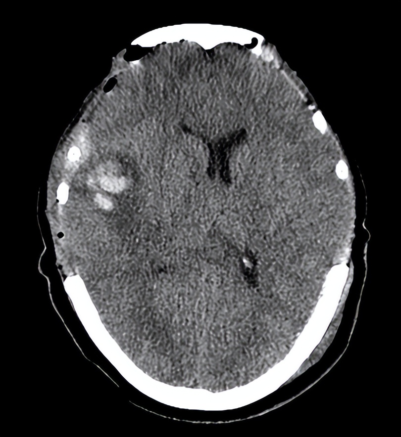
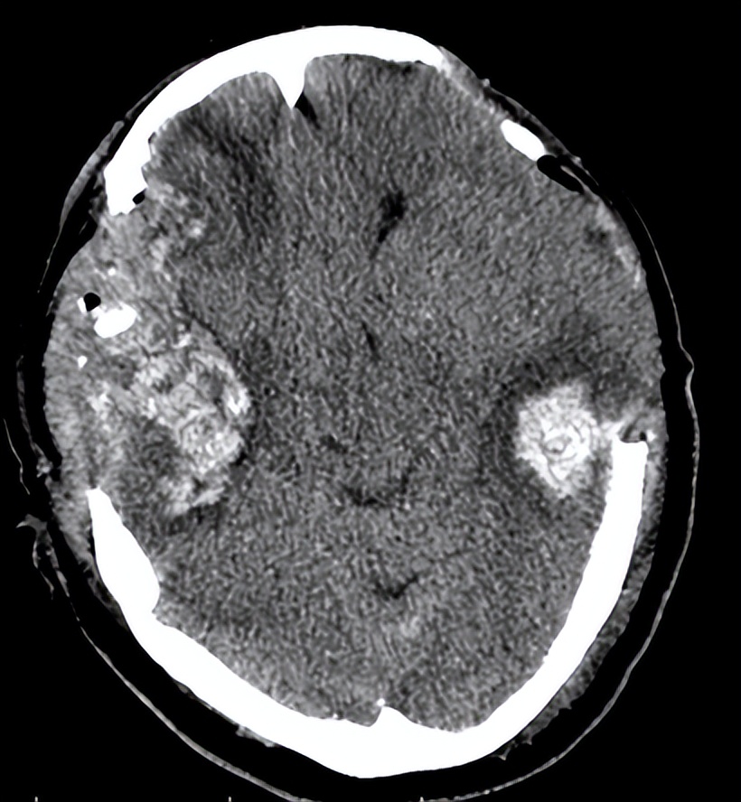
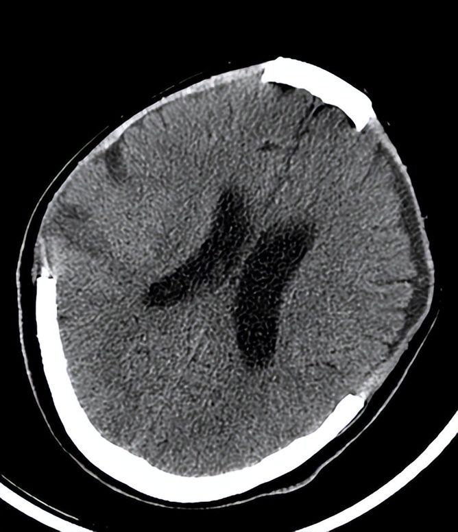
06-08术后第一天复查头CT示:


术后第一天第二天,患者呈昏迷状,反应较前变差,但生命体征平稳。
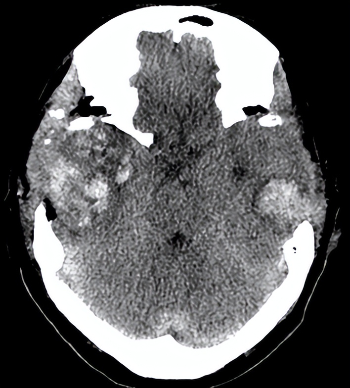
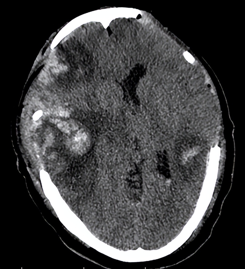
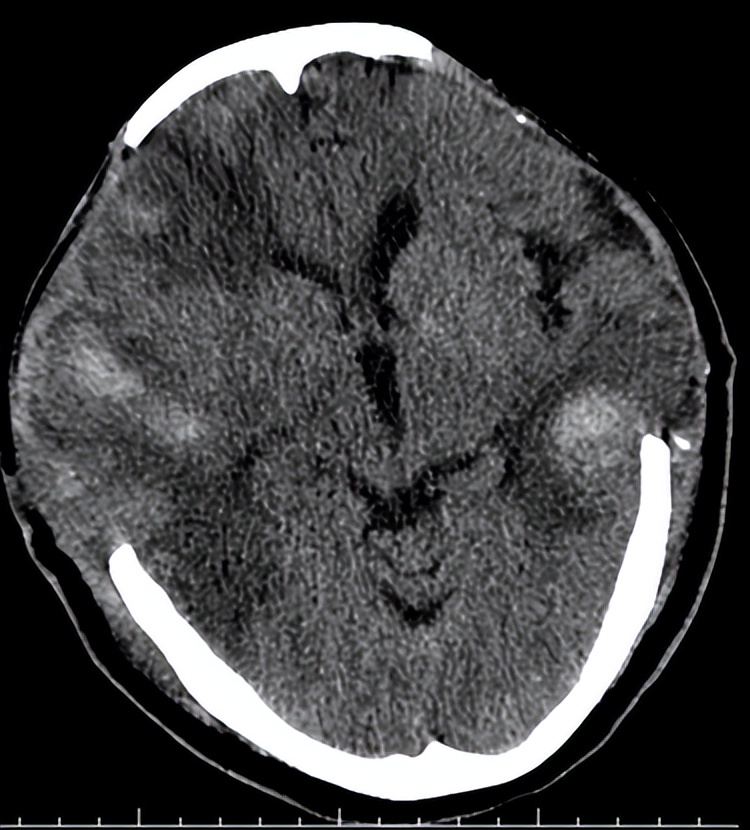
术后第三天,复查头颅CT(见下图)提示患者 脑水肿较前明显, 中线较前移位明显。目前正处在脑水肿高峰期,如果中线移位继续加重时,有必要 再次开颅 进行血肿清除。 病情危重 ,院方向患者家属交待病情,家属中有一位懂医的,都表示理解。
06-10(术后第三天复查头CT)



术后第四天。
我被邀请查看了该患者。我先看了6月10日的头颅CT,又亲自检查了患者。
当时患者仍呈 昏迷状态 ,血压148/70mmHg,自主呼吸不规则,需有创呼吸机辅助通气,痰多,有明显痰鸣音。双侧瞳孔等大,约1.5mm,对光反射消失。脑干反射明显减弱。疼痛刺激右下肢回缩反应,左下肢无肢体回缩,双侧巴氏征阳性。
最近一次头颅CT,脑水肿明显,中线移位,双侧脑组织有继发性血肿。
看完病人后我提出了几点建议:
1、目前仍处于脑水肿高峰期,继续加强脱水方案,动态复查头颅CT了解颅内情况。
2、注意防治并发症:1)严密监测血压;2)动态评估感染科控制情况(如肺炎、泌尿系感染等);3)注意预防电解质紊乱;4)加强床旁护理、预防褥疮;5)关注脑内脏并发症的发生。
3、适当使用脑保护剂。根据医院条件可使用“纳洛酮”促醒对症处理。
4、积极采取中西医结合治疗。
根据患者昏迷,痰多,颅内血肿,中医辨证为 痰蒙清窍证 ,使用豁痰祛瘀、醒脑开窍法给予治疗,方剂如下:
石菖浦10 郁金10 天竺黄10 竹茹10
丹参15 红花5 黄芩15 苏叶10
川贝10 橘红10 枳壳10 大枣15
炙甘草10
每天一剂,水煎服。
方中使用:
石菖浦,郁金,化痰开窍;
天竺黄,竹茹,加强清热化痰;
丹参,红花活血祛瘀;
苏叶,川贝,橘红,枳壳行气理气、止咳化痰;
黄芩,清热燥湿、泻火解毒;
炙甘草,大枣补中生津。
医院及科室领导积极配合,上述建议均被积极采纳。
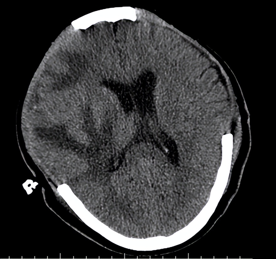
06-20复查头CT



6.23 患者已经服完一个疗程中药。
结合西医一系列治疗措施,患者意识状态开始 由昏迷转入昏睡状 ,气管套管内的痰明显减少,无呼吸困难。
查体:
神志昏睡状,GCS评分8T分(E4MTV4)双侧瞳孔3.0mm,对光反射灵敏。骨窗张力不高。双肺呼吸音清,下肺闻及散在湿罗音。四肢肌力检查不配合,左侧肢体未见肌肉收缩,双侧巴氏征阳性。此时我不在现场,科主任给我发了6月20日的头颅CT,和患者当时的病情描述,并拍了患者的照片发送给我。我考虑患者受到如此严重的颅脑创伤,身体元气大伤,如果不及时补益,即使生命保住,很可能留下严重后遗症。


根据患者目前状态,我重新拟定中药如下:
黄芪50 石菖蒲15 郁金15 黄连10
黄芩15 瓜蒌10 半夏15 陈皮10
桔梗10 生姜15 大枣30(去核) 炙甘草15
方中:
重用黄芪大补元气,大枣,炙甘草补中生津,
继续用石菖浦,郁金醒脑开窍;
黄连,黄芩清降肺热,
瓜蒌,半夏,陈皮,桔梗,宽中理气,益气化痰。
每天一剂,水煎服,继续服十天。
经过中西结合治疗
到了7月3日,患者终于 神志转清 ,仍有少量咳嗽、咳痰,痰量明显减少。
查体: 神志清,情绪不安 。GCS评分9T分(E4MTV5),双侧瞳孔3.0mm,对光反射灵敏。头部骨窗张力不高。颈软,无抵抗,双肺呼吸音清,下肺闻及散在湿罗音。四肢肢体肌力欠配合,估测右侧肢体肌力正常,左下肢肌力4级,四肢肌张力正常,双侧巴氏征仍阳性。
患者继续在颅脑外科康复治疗。
07-11复查头CT



7月30日
我再次查看了一下该患者。
这次检查令人非常欣慰,因为患者已经神志清楚,语言流利,能对答交流。但思维有点散漫,有欣快激动的表现。颅神经检查无明显异常,四肢均能活动,肌力5级。四肢腱反射活跃,病理征未引出。患者坐起后偶有头痛、头晕,无恶心、呕吐。余无特殊。患者目前状态非常良好。


我咨询了一些有名的颅脑外科医生,他们说对于一些受伤比较轻微的患者,可能不会遗留任何程度的神经功能障碍。象这样重症脑挫裂伤患者,其预后都有可能发生长期昏迷,甚至植物生存状态的。患者的意识状况在短时间内,也不可能完全恢复,同时还会伴有一定程度的神经功能障碍,比如肢体无力、偏瘫、肌肉萎缩、癫痫、偏身的感觉障碍、视野缺损、精神症状、性格改变、癫痫等一系列情况,这些情况对于中重型的颅脑损伤患者是比较常见的。
本例患者的成功救治,充分体现了中西医结合治疗的优势,希望通过本例的经验总结,能够造福更多的颅脑外伤患者。
(本文特别致谢连洲市中心人民医院脑外科成庆辉主任和神经内科唐宗玉医生提供详细资料)