近来,一个小伙子挺苦恼,喜欢一个姑娘,频频约会,两人感情日渐升温,可是,小伙子却始终不敢去亲姑娘,因为他知道,自己有口臭。
为什么会有口臭?口臭应该怎么办?
口臭有很多原因,有生理性的,也有病理性的。有口腔疾病的原因,也有口腔以外疾病的原因。
生理性的口臭,往往和吃的食物有关。有些食物比如洋葱,大蒜之类,吃了以后,如果没有及时漱口刷牙,那就会产生口臭。因为这些食物含硫物质比较高,食物残渣留在口腔里面,在口腔细菌作用下,就会产生含硫的气体,这些气体就很臭。不过,这些口臭往往是短期的,不吃这些引起口臭的食物后,口臭就会减轻。
如果口臭问题持续一周以上,往往是身体有了疾病的一个讯号。这种疾病可以是全身性的,也可以是局部器官的疾病,要引起警惕。
我们按照全身、口腔上、口腔以及口腔下四个方面来说明。

在抢救病人的时候,因为手边没有人工呼吸器,就是那个呼吸用球囊,在护士去拿器械的间隙,为了争取时间,在病人的嘴巴上垫了一块纱布就在现场进行了口对口的人工呼吸,那一次,感受到了病人口腔的恶臭。那臭味,至今记忆犹新。后来,在病房里,我特别注意到这种臭味,一旦危重病人出现这种口腔臭味,基本上是临终状态了,救也救不回来又。后来,有一次,夏天,我在野地里遇见了一具腐败的猪的尸体,又闻到那种臭味,才明白,那是一种尸体臭。人还没死,口腔里的组织已经有部分腐败了,才会发出那种臭味。所以,这种口臭一旦出现,人也是终末状态了,也是说活不长了。
还有许多口臭,是长期慢性病的表现。比如,慢性肝病的病人,会有肝臭,长期慢性肾脏病,肾功能不全的病人,也会有一种肾臭。这类口臭,病人一开口,有经验的医生,闻到这种气味,就可以判断出他有肝病或者肾病。
口腔以上部位来源的口臭,大部分来自鼻腔,其中,鼻窦炎最常见。鼻窦炎的时候,有脓液会流出来,口腔里会有臭味,这种臭味是一种腥臭味,当然,鼻窦炎的时候,还会有流脓鼻涕,发热,头痛等伴随症状。
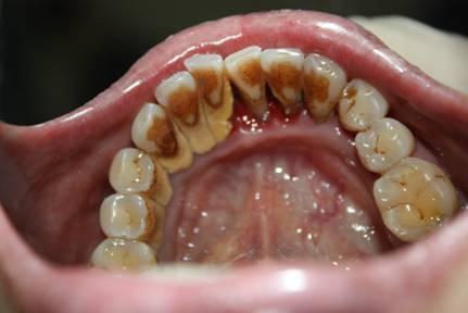
八成以上的口臭,来源于口腔。其中牙周病,龋齿和厚厚的舌苔是最常见的原因。

牙周病的病人,由于牙结石上有大量的细菌,可以分解食物碎屑,发出难闻的臭味。牙周病和龋齿一样,需要及时治疗。所以,口臭的人需要引起重视,及时找牙医看病。
有些人的口臭,是因为有厚厚的舌苔,这些人在刷牙的时候往往没有刷舌头。改变这个生活习惯,刷牙的时候,刷刷舌头,包括背面和正面,口臭也就好了。
有些人的口臭来自口腔的下方。包括扁桃体结石、胃溃疡、胃食管反流病等疾病。这些,都需要治疗。

总之,口臭不是简单的症状,口臭往往提示身体的某个方面出现了问题。如果你有口臭,首先要找口腔科医生看看,其次要找耳鼻喉科医生看,如果再找不出问题,就要找外科医生或者消化科医生看胃肠道的问题了。
肝病和肾病等全身性的疾病也会导致口臭,这种时候,出了口臭,还会有其他更严重的症状,很容易确诊。
治疗口臭,最重要的是治疗原发病,有口臭的话,要去看医生哦!