
本文为作者授权医脉通发布,未经授权请勿转载。
异丙醇是一种无色、味苦的液体,异丙醇中毒常见于误服或自杀者。跟其他醇类中毒一样,异丙醇中毒也可引起中毒性脑病。但临床上当异丙醇中毒合并酒精性酮症酸中毒时可被误诊为乙醇或甲醇或乙二醇中毒。本文将通过4月25日NEJM发布的一个病例 [1],回顾分析异丙醇中毒的神经系统表现。
病史
患者为54岁男性,流浪汉,在康复中心戒酒治疗。此次入院前4天,患者离开康复中心并每天酗酒(伏特加0.5-1加仑/日)。入院前一天晚上,患者决定停止饮酒。大约10h后,患者述其从地上醒来,但毫无记忆何时躺下,述有生动的梦魇和颤抖,并担心自己可能有癫痫发作,为此就诊。
患者述弥漫性头痛、恶心、非血性呕吐、烦躁不安、幻听,以及皮肤蚁爬感。此外,患者述烧心感,但无意识模糊、共济失调、头晕、局灶性无力和麻木、尿*禁失**、幻视、发热、寒战、呼吸困难、胸痛、腹痛、腹泻和排尿困难等。
既往病史有儿童期癫痫发作史、高血压和青光眼病史,曾行脐疝修补术。目前正服用加巴喷丁和羟嗪,无药物不良反应。患者有长期饮酒史,伴震颤性谵妄和戒断性癫痫发作。患者有过7年的戒酒史,但入院前8年已经结束。既往吸烟(自18岁起,0.5-1包/日)、*麻大**、哈希油和麦角酰二乙胺使用史。家族史比较明显的是其父母和两兄弟均因酒精使用出现疾病。
查体可见:体温为36.7°C,心率为108次/分,血压为161/96 mm Hg,呼吸频率为22次/分,氧饱和度为98%,体重为55.4kg,身高为142cm,体重指数27.5;患者显得坐立不安、焦虑、脸红,可见舌颤动和轻度手臂震颤;头部、面部或脊柱无压痛;听诊可见心动过速和散在喘息声;余未见明显异常。
急诊科行实验室检查:血常规未见明显异常,球蛋白和促甲状腺激素水平正常,钠为138 mmol/L,钾为3.7 mmol/L,氯离子为98 mmol/L,二氧化碳为19 mmol/L,尿素氮为17 mg/dL,肌酐为0.93 mg/dL,乳酸为5.1mmol/L,乙醇为136mg/dL;尿液分析显示尿液略微混浊,有微量酮,余正常;心电图显示窦性心动过速和左心房扩大;胸部X片未见异常;头颅CT平扫未显示颅内出血、肿块或卒中。患者为此接受叶酸、多种维生素、静脉注射生理盐水、硫胺素和劳拉西泮治疗。
经上述治疗10h后再次行实验室检查:血常规未见明显异常,钠为140 mmol/L,钾为3.6 mmol/L,氯离子为102 mmol/L,二氧化碳为22 mmol/L,尿素氮为13 mg/dL,肌酐为0.66 mg/dL,乳酸为1.3 mmol/L;尿液分析正常。病人收住院后给予苯巴比妥以逐渐减量的剂量给药以控制酒精戒断综合征。苯巴比妥治疗后震颤、幻觉和心动过速均减轻,但酒精渴望持续存在。
住院第5天,患者感到焦虑。当天晚上,护士述其急发神志不清、昏昏欲睡、反应性极差。末梢血糖为8.4。查体可见心动过速107次/分(前6小时为78次/分),呼吸频率30次/分,吸氧情况下血氧饱和度为95%,新发腹胀但无压痛;未见震颤、癫痫发作、尿*禁失**或舌头咬伤。
患者接受了纳洛酮治疗但无效果;心电图提示窦性心动过速;实验室检查:血常规未见明显异常,钠为139 mmol/L,钾为3.5 mmol/L,氯离子为101 mmol/L,二氧化碳为18 mmol/L,尿素氮为14 mg/dL,肌酐为1.24 mg/dL,乳酸为1.7 mmol/L;尿液分析正常;胸片正常;头颅CT平扫正常。
次日(住院第6天)早上,病人变清醒,对人和地点警觉性好,对命令有反应。脑电图显示广泛的θ减慢,无癫痫样异常。随后,患者又变得昏昏欲睡,述胃灼热、恶心并呕吐深褐色胃内容物。查体可见腹胀、隐血阳性和黑便。
实验室检查:血常规未见明显异常,钠为140 mmol/L,钾为3.5 mmol/L,氯离子为104 mmol/L,二氧化碳为22 mmol/L,尿素氮为12 mg/dL,肌酐为1.15 mg/dL,乳酸为2.4 mmol/L;动脉血气提示PH为7.40,二氧化碳压力为32 mm Hg;尿液分析显示微量酮,其余正常;腹部CT增强扫描显示多发扩张的小肠环,小肠壁增厚,但无肠梗阻。外科立即放置鼻胃管,抽出400ml深棕色和“咖啡渣”胃内容物。 为此患者接受生理盐水、万古霉素、头孢吡肟和甲硝唑治疗。
病情分析
患者有高血压,呼吸急促,心动过速和舌肌颤动和脸红,血液酒精含量为136mg/dL,阴离子间隙为21mmol/L[血清阴离子间隙=血清钠-(血清氯化物+血清碳酸氢盐),正常范围7-13],血清乳酸水平轻度升高,尿液中有酮。可以肯定的是患者入院时的诊断是酒精中毒,酒精戒断综合症的早期症状。此外,由于乳酸酸中毒和酒精性酮症酸中毒,合并有阴离子间隙代谢性酸中毒。

图1 患者阴离子间隙、乳酸、血肌酐和尿素氮动态变化图
由上图可见,患者血清阴离子间隙随着治疗而减少,提示其从酒精中毒中得到了适当的恢复。但到了第5天又出现了急性精神状态改变,当天(住院第6天)早上焦虑,但到了晚上变得心动过速、反应差,随后呕吐并出现上消化道出血。实验室检查结果显示阴离子间隙代谢性酸中毒,血清乳酸水平仅有极低的升高,尿酮再次阳性。上述病程提示患者因某种原因,于住院第5日出现新的症状。
鉴别诊断
对于该患者出现的阴离子间隙代谢性酸中毒需要考虑的鉴别诊断有:
1.先天代谢障碍
包括几种先天性代谢缺陷(如丙酸血症和脂肪酸氧化缺陷等)。实际上,所有这些疾病在出生时都存在或者在婴儿期被诊断出来,因此对于该患者可能性不大。
2.乳酸酸中毒
在该患者中,L-乳酸水平轻度升高,达到2.4 mmol/L(21.6 mg/dL),这种程度的升高显然不足以解释阴离子间隙的升高。此外,患者接受苯巴比妥(含有丙二醇)治疗,丙二醇可代谢成d-乳酸和L-乳酸立体异构体。d-乳酸性酸中毒病例可引起混乱、记忆力减退和小脑性共济失调。但该患者仅接受少量肌内注射剂量,并且在住院的最后3天内没有治疗,因此其可能性不大。
3.酮症酸中毒
酮症酸中毒包括酒精性、糖尿病和饥饿性酮症酸中毒。该患者的血糖水平仅略微升高且正规饮食,酒精摄入史离此次发病时间较长,无法引起这种诊断,因此可能性不大。
4.肾功能衰竭
肾功能衰竭中的代谢性酸中毒是由氢离子和阴离子(如硫酸盐、磷酸盐和尿酸盐)的滞留所致。其血清肌酸酐水平的轻度增加并未表明急性肾衰竭,因此不能解释患者的阴离子间隙显著升高。
5.中毒
患者一直在住院,甲醇和乙二醇等物质根本不可能接触到。但异丙醇可以接触到,因为医院常用的洗手液含有63%的异丙醇。口服洗手液可以解释尿液中出现的酮体(异丙醇可代谢为*酮丙**)和意识障碍,但仍然解释阴离子间隙代谢性酸中毒。但洗手液中含有一些乳酸,可能引起阴离子间隙的升高。此外,有报道称异丙醇中毒后血清肌酐水平假性增加[2],这可以解释血清肌酐水平的增加与该患者中观察到的正常血尿素氮水平。因此,摄入大量的洗手液可引起精神状态,上消化道出血,尿液中的*酮丙**和血清肌酸酐水平的假性增加。
最后诊断
追问病史,患者承认偷食洗手液。因此最后诊断为异丙醇中毒。
讨论
1.异丙醇的代谢
异丙醇主要通过乙醇脱氢酶代谢为*酮丙**,后者进一步代谢为*酮丙**醇和甲基乙二醛、丙二醇、乙酸盐和甲酸盐。 根据激素状态和代谢需求,这些次级代谢物可转化为葡萄糖和其他中间代谢产物。其中,*酮丙**是异丙醇的主要代谢产物。
2.临床表现
异丙醇中毒的症状与血清浓度相关,当血清异丙醇浓度>150 mg/dL时则会出现昏迷和低血压,浓度>200 mg/dL时会严重危及生命。其主要临床表现包括中枢神经系统、胃肠道和心血管系统症状。中枢神经系统症状包括共济失调、精神错乱、木僵和昏迷。
查阅已有文献报道的病例,出现意识障碍的患者比例为60%,其中嗜睡为31.1%、木僵为8.9%、昏迷为20%;出现反射减弱的患者比例为20%;出现肌张力降低患者的比例为6.7%;出现共济失调的患者比例为13.3%;出现头痛的患者比例为2.2%,其他还有瞳孔改变、眼球震颤等。而胃肠道症状包括恶心、呕吐、腹痛等。
3.神经系统影像学表现
异丙醇中毒导致的脑病在MRI影像上无特异性表现,相关文献报道较少,目前研究显示异丙醇中毒性脑病的MRI表现为缺血性表现,可累及大脑和颈髓,病变常为双侧对称性[3]。

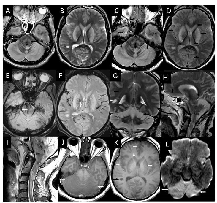
图2 一名60岁男性患者,异丙醇中毒入院后6天头颅MRI影像结果[3]
T2(A和B)和FLAIR(C和D)显示大脑和小脑皮层、白质、基底节、丘脑和双侧脑干(实心黑色箭头)呈高信号改变,右侧颞叶周围白质(B,黑边箭头)存在局灶性高信号病变;T2 *(E和F)图像显示双侧脑干和基底节区存在出血(实心白色箭头);T2冠状位(G)和矢状位(H)图像显示小脑皮质和脑干高信号改变(G和H,实心黑色箭头),右侧颞叶白质局灶性高信号病变(G,实心白色箭头),脑干存在局灶性出血(H,黑边箭头);颈髓T2影像显示颈脊髓肿胀,内部呈高信号改变(I,白边箭头);大脑(J和K)T1平扫显示大脑和小脑皮质、白质、基底节、丘脑和脑干呈双侧低信号改变(J和K,实心白色箭头)),右侧颞叶白质局灶性低信号病变(K,实心黑色箭头); DWI影像可见双侧小脑弥散受限(L,实心白色箭头)。
4. 特异性实验室检查
摄入异丙醇后的实验室检查一般提示酮症,且无明显的代谢性酸中毒,且血清葡萄糖水平正常。此外,渗透压升高会很早出现(异丙醇和*酮丙**都可能导致渗透压间隙增加)。假性肾功能衰竭也是异丙醇中毒比较特异的表现,可能与Jaffe反应有关[4]。Jaffe反应是一种比色分析法,用于测定血清和尿液中的肌酐水平。但当*酮丙**存在时,该方法会使肌酸酐水平假性升高(研究显示每100 mg/dL的*酮丙**会导致肌酐水平增加1 mg/dL),而尿素氮没影响。
治疗
无特异性治疗,以支持性治疗为主。
关键要点
➤ 异丙醇摄入很少有致命性后果。
➤ 异丙醇中毒特征性指标是无酸中毒的酮症。
➤ 假性肾功能衰竭(血肌酐升高)是异丙醇摄入时常见异常表现。
➤ 治疗措施通常为支持性治疗。
➤ 对于住院患者管理,需注意含有异丙醇成分洗手液的管理。
参考文献:
[1] Fenves AZ, Mojtahed A, Nisavic M, Massoth LR. Case 13-2019: A 54-Year-Old Man with Alcohol Withdrawal and Altered Mental Status. N Engl J Med, 2019; 380(17): 1657-1665.
[2] Killeen C, Meehan T, Dohnal J, Leikin JB. Pseudorenal insufficiency with isopropyl alcohol ingestion. Am J Ther, 2011; 18(4): e113-e116.
[3] Mahajan PS, Mathew JJ, Jayaram AP, Negi VC, Abu Hmaira MM. Magnetic resonance imaging features of brain and spinal cord injury in a fatal case of isopropanol intoxication. Int Med Case Rep J, 2014; 7:57-61.
[4] Kroll MH, Roach NA, Poe B, Elin RJ. Mechanism of interference with the Jaffé reaction for creatinine. Clin Chem, 1987; 33: 1129-1132.