
医脉通编译整理,未经授权请勿转载。
病例资料
患者男性,69岁。主因腹痛于急诊就诊。患者既往有高血压,房颤,抗中性粒细胞胞浆抗体(ANCA)血管炎,慢性肾脏病,胃食管反流病以及食管裂孔疝病史。
患者自述就诊前1天腹痛缓慢发作,呈持续性、中度钝性疼痛、无放射性上腹不适,但伴有腹胀、恶心和食欲下降,且就诊前呕吐2次。患者否认发烧、发冷、腹泻、便秘、黑便或血便、腰痛、背痛、排尿异常、胸痛、气短、心悸或晕厥。
此次入院,患者体温36.8℃,血压157/106 mmHg,心率83次/min,呼吸率14次/min,氧饱和度95%。呈现继发于疼痛的中度痛苦状态。腹部触诊上腹部和左上腹压痛明显,无反跳痛、肌紧张或腹膜刺激征。其余无异常。心电图显示正常窦性心律,无急性缺血性改变。
患者临床表现为急腹症。随即安排进行腹盆CT检查、实验室检查并给予止痛药、止吐药和静脉输液治疗。
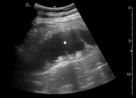
腹部床旁超声检查(POCUS)显示,胃部扩张并充满液体,高度疑似梗阻(图1,2)。

(图1 POCUS检查显示胃部膨胀充满液体[星号])

(图2)
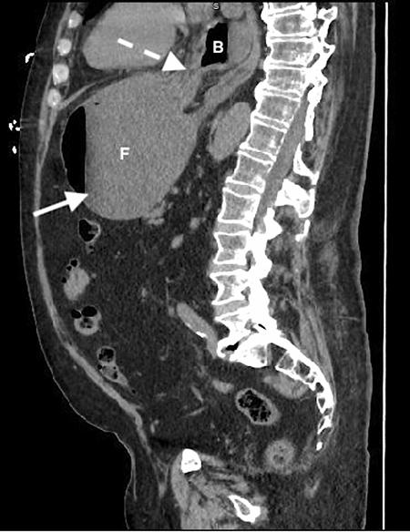
加急CT检查显示中至大型食管裂孔疝和由于胃扭转而呈现的胃部水肿膨胀并伴有部分梗阻(图3-5)。

(图3)

(图4)

(图5)
随后患者进行紧急进行外科会诊评估。多次尝试放置鼻胃管,最终放置成功后引流非胆汁性胃内容物 2,000 ml,重复进行POCUS检查证实胃减压(图6)。

(图6 )
实验室检查未见急性异常。
后续处理
此后,患者入院进行更进一步的治疗。邀请消化科医生会诊行紧急食道、胃、十二指肠镜检查(EGD)证实存在部分器官轴性扭转,无胃缺血的证据。除大的食管裂孔疝和轻度胃炎外,EGD检查未发现任何上消化道的潜在病理状态。
患者接受腹腔镜下胃扭转复位术、食管裂孔疝补片修补术以及胃底折叠术。入院第6天患者病情稳定出院,按要求进行门诊手术随访。
分析讨论
胃因异常旋转致形态发生改变称为胃扭转,临床比较少见。胃扭转按病因分为解剖学异常及病理因素等,解剖学异常主要有胃周围韧带松弛或缺如;病理因素则包括食管裂孔疝等。急性胃扭转多有急腹症的表现,常需与上消化道穿孔、急性胰腺炎等鉴别,典型的临床表现为 Bochardt 三联征: 上腹部局限性胀痛、重复性干呕、胃管插入困难。
本例患者主诉明显上腹疼痛,但在急诊就诊过程中未出现任何顽固性干呕或呕吐。鼻胃管置入过程困难,但最终成功置入提示不完全阻塞。急诊室内胃扭转的诊断充满挑战。因此,急诊医师在接诊已知的潜在裂孔疝患者时,应高度警惕。
当怀疑有胃扭转时,选择初始的影像学检查非常重要,因为诊断延迟可能导致致命的并发症。CT检查高度可靠,主要有两种表现,即正常的胃窦幽门移行区和胃窦位置异常,诊断急性胃扭转的敏感性和特异性均为100%。POCUS是一种有效的非侵入性影像检查方式,主要用于床旁评估。此外,POCUS无辐射,并可根据临床情况随时进行重复检查。本例患者POCUS检查显示,胃部严重扩张,胃内容物分层,类似胃出口梗阻(GOO)的“黑白饼干”征象。POCUS还可以用来动态观察胃减压成功与否。
参考资料:
1.Shokraneh K, Johnson J, Cabrera G, et al. (August 22, 2020) Emergency Physician-Performed Bedside Ultrasound of Gastric Volvulus. Cureus 12(8): e9946. doi:10.7759/cureus.9946.
2.田福起,王东升,*云陈**翔.等.食管裂孔疝合并左侧中央区膈疝伴胃扭转1例.临床合理用药.2018,11(10A):173.