春节要到了,有钱没钱回家过年。
春运早已开始,门诊的病人也少了些。作为一名大夫,看好病为己任。但总有一些特殊的人和事会给你留下很深刻的印象。
这是9月份的一个病人,一个淳朴的农民工。来做左小腿核磁。腿肿的厉害,皮肤有些发青。

来自网络
“腿怎么不好?”
“大约一周前在工地干活,被砖砸了下。”
“现在才来看病?”
“当时拍了片子,说骨头没事。大夫建议做核磁,说怕肌肉有事,我寻思着养养就好了。”
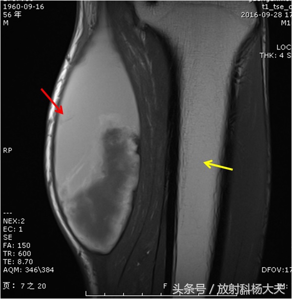
核磁出来了,左腿腓肠肌血肿。

图中红箭所示的白白的区域为血肿,黄箭为小腿的骨骼-胫骨。
肌肉的损伤,轻度可表现为肌肉拉伤,在MRI上可仅仅有肌肉的水肿,水肿在MRI的T2WI图像上为高信号。严重者可以肌肉断裂,在MRI上也表现为连续性中断,多出现在肌肉和肌腱的连接处。也有的表现为肌肉或肌肉之间的血肿,当然,血肿也完全可以是迟发性的。当时没事,过两天出来了。

此图为一跳高运动员的大腿伤,红箭为半腱肌的拉伤,像羽毛状的高信号。
老刘不做核磁,其实还有一个很重要的原因,他在老家参加了新农合,但当地的新农合在北京看门诊,基本上报不了多少,或者报销的手续非常繁琐。参合农民就诊实行分级报销制,农民工在异地住院就诊,不仅花销更大,而且报销比例逐级降低。
以新农合重特大疾病报销为例,在省、市、县三级医疗机构政策范围内看病的报销比例分别是65%、70%、80%。而分级转诊制度则明确,基层可以诊治的病种,上转不予报销或大幅降低报销比例,逐步形成转诊按规定报销、下转优惠报销、未经转诊不予报销的支付政策。
(【放射科杨大夫】系头条号签约作者,本文为原创文章,首发于*今条头日**号。更多好玩好看的放射科资讯请订阅放射科杨大夫微信公众号:yxyx211)