01
基本资料
LWQ先生,53岁,贵州人,无吸烟史,无家族史。
2019-10因无明显诱因下发热,于当地医院就诊,胸部CT提示:右上肺占位(5.6*4.8cm)。 考虑肺癌,伴纵膈淋巴结多发转移。
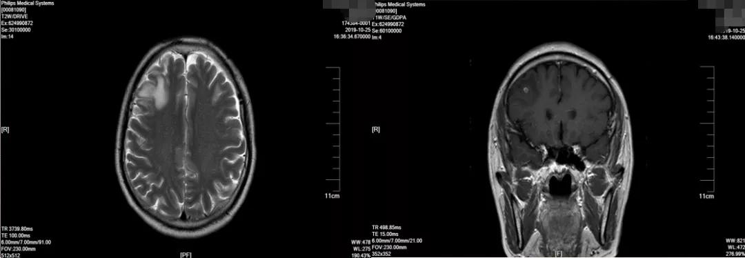
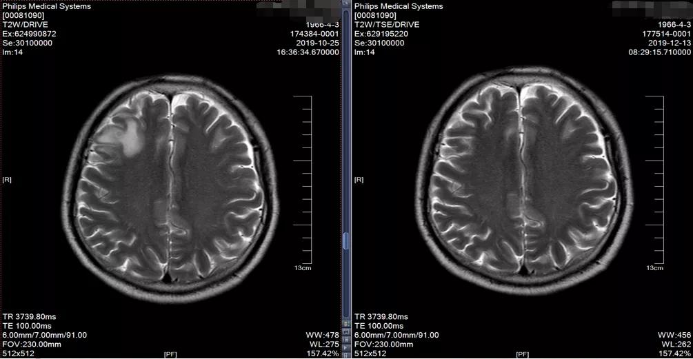
2019-10-25于广医一院行PET/CT检查考虑右上肺肺癌并右肺门、纵隔淋巴结转移。头颅MR:右侧额叶异常信号影, 考虑转移瘤。 双侧额顶叶散在缺血灶。
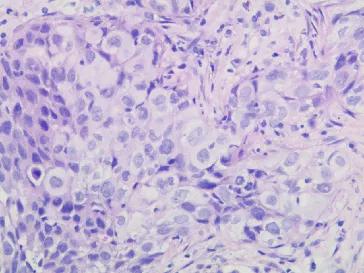
2019-10-31行CT引导下穿刺活检:右上肺浸润性癌,符合肺腺癌。基因测序:EGFR(-),ALK(-),ROS1(-)。明确诊断: 右上肺腺癌伴脑转移 cT3N2M1b,IVA期
2019-10-25 PET/CT示右上肺癌伴纵膈多发淋巴结转移

2019-10 头颅MRI示右额叶转移瘤,伴瘤旁水肿

2019-10-31 CT引导下穿刺活检
病理示:右上肺浸润性癌,结合免疫组化结果,符合肺腺癌(实性生长方式)。免疫组化:CK7(+),TTF-1(+),CK5/6(-),P40(-),ALK(D5F3)(-),ALK(D5F3)Neg(-)。
基因测序:EGFR(-),ALK(-),ROS1(-)。


02
主要治疗过程
2019-11-02、2019-11-23行卡瑞丽珠单抗200mg+培美曲塞 800mg+洛铂 30mg化疗2疗程
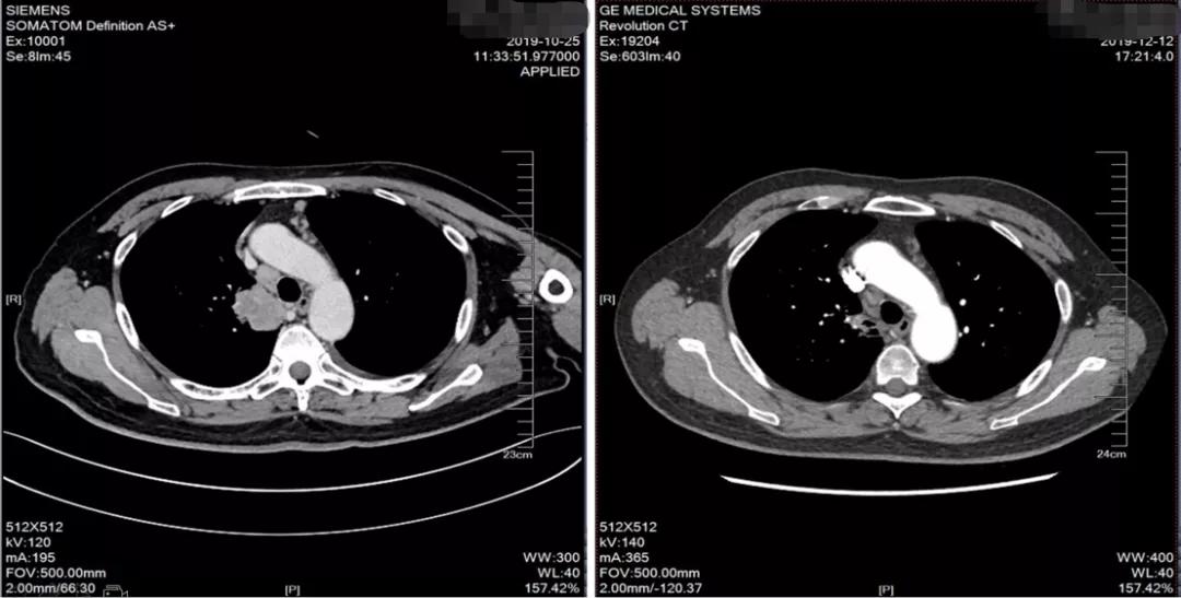
化疗两程后复查
2019-12-12胸部CT示考虑右上肺癌并右肺门及纵隔淋巴结转移,较前缩小



2019-12-12头颅MRI示右侧额叶及左侧顶叶少许缺血灶,未见异常强化影



2019-12-31行全麻VATS单操作孔下右上肺叶切除+纵膈淋巴结清扫术


病理显示肿瘤完全消失

术后五天出院,恢复良好


术后辅助治疗:
2020-1-30开始术后辅助治疗
采用卡瑞利珠单抗200mg+培美曲塞800mg+铂类4程后改用卡瑞利珠单抗单药维持辅助治疗至今,无明显并发症。

03
术后随访
脑转移持续完全缓解


胸部无病灶复发/进展


该病例手术医生邵文龙主任医师点评:
广州医科大学附属第一医院胸外科邵文龙主任医师指出:
PD-1/PD-L1单抗联合化疗目前已成为驱动基因阴性晚期肺癌患者新的一线标准治疗方案,被国内外各大肺癌诊疗指南所推荐。
比如KEYNOTE 189 研究,该研究发现帕博利珠单抗联合培美曲塞和铂类较单纯化疗治疗晚期EGFR/ALK 野生型非鳞 NSCLC患者,联合治疗组ORR( 47.6% vs 18.9%,P<0.0001)、PFS (中位8.8 vs 4.9月,HR=0.52,P<0.00001)和OS均有显著获益, 且在各个PD-L1表达亚组均能获益。
IMpower130研究显示,阿替利珠单抗联合化疗一线治疗无EGFR及ALK突变的晚期NSCLC患者,相比于单纯化疗可显著延长患者的PFS(中位7.0 vs 5.5月,HR=0.64,P <0.0001)和OS(中位18.6 vs 13.9月,HR=0.79,P=0.033)。
除此之外,我国自主研发的PD-1单抗卡瑞利珠单抗联合化疗(培美曲塞+卡铂)对比化疗一线治疗晚期/转移性非小细胞肺癌CAMEL Ⅲ期临床研究显示,卡瑞利珠单抗+化疗组相比化疗组显著延长PFS(中位11.3 vs 8.3月,HR=0.61,P=0.0002),显著提高ORR(60.0% vs 39.1%, P<0.0001)、3/4级TRAEs发生率相似(66.3% vs 45.9%)。
NMPA已于2020年5月批准其一线适应症。值得注意的是,CAMEL研究中纳入了17例脑转移非鳞非小细胞肺癌患者,PFS亚组分析HR=0.14,提示卡瑞利珠单抗联合化疗可能对脑转移灶有效且延长患者的PFS。
另外卡瑞利珠单抗联合化疗组2例(1%)获得完全缓解(CR),121例(59%)获得部分缓解(PR),这也为CR和部分大PR晚期非鳞非小细胞肺癌患者带来根治性手术切除的可能。
我们也希望免疫治疗 长拖尾效应能为晚期肺癌患者带来更长的无瘤生存期。