今年45岁的张大姐(化名)经营一家早餐店,自己在后厨忙碌。后厨的蒸笼加上夏季的高温使得在后厨的张姐,几乎每天都会用汗水“洗澡”。

胸部瘙痒
汗水浸透的衣服,湿了又干,干了又湿,几乎每天都是这样。
半年前一次偶然的机会,张姐洗澡的时候发现自己胸部乳头有一点点破皮,当时自己并未在意,认为是自己每天在早餐店反复的动作摩擦导致的,为此自己还去更换了舒适的内衣。
可是,随着时间的推移,张姐发现乳头上破损的皮肤并没有好转,反而是破损的地方越来越大。之前无痛无痒,现在还出现了一点点瘙痒。
自己上网查询了一下,感觉像是湿疹,于是在下班的时候就去附近的药房买了药膏来涂抹,但是用了个把礼拜的药膏,张姐的症状并没有好转。瘙痒持续存在,破损的地方还出现了红色的糜烂面。
早已经习惯生活中磕磕碰碰的张姐,认为是夏季经常出汗导致伤口不愈合,也就没有放在心上。
直到有一天,恰好张姐去女儿家路过城里的大医院,就想起自己的胸部瘙痒破损糜烂的事情,就想去看一下皮肤科,买一点好点的药膏来涂抹。

涂抹药膏不见效
期初,张姐以为很快就能看好,结果去了皮肤科,医生一看,当场表示:“我建议你还是住院详细检查一下,你现在不能走!”
“什么?一个湿疹还要住院?你给我配点药膏不就好了?”张姐不解。
“你这个不是湿疹,从你的症状以及皮肤破损的情况来看,很像是常见的乳房湿疹样癌!”皮肤科医生和张姐解释道。
一听说是癌症,张姐更加不解了:“不可能,我年初才进行的体检,什么都是正常的!”
说完张姐情绪都不对了,站起身立马就想走。
“你别着急,从经验来看,应该是错不了。我们可以先做一个病理检查一下,也不耽误你多少时间。如果是癌症,耽误了治疗就不好了。如果不是不更好!而且乳房湿疹样癌是一种皮肤癌,也可以算是乳腺癌的一种类型。很多患者发病时就是没有明显症状,没有肿块,哪怕B超还是钼靶检查都是正常的!”
张姐听了医生的话,心想这个医院是有名的大型三甲医院应该也不会乱说的,于是就按照医生的建议进行了病理活检。
等待病理结果的过程是漫长且煎熬的。张姐一直劝自己,“就是湿疹,不会是癌症的!”
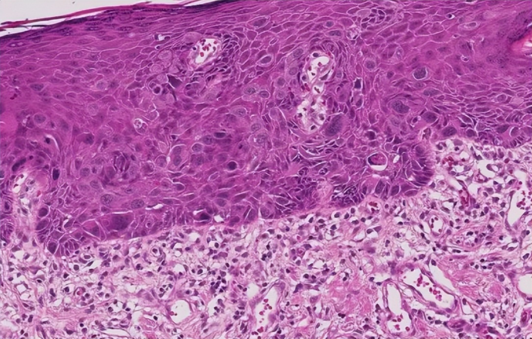
可是事实并不是张姐想的那样。病理结果出来证实,张姐就是患上了乳房湿疹样癌!

病理结果为湿疹样癌
直到看到病理结果的那一刻,张姐才彻底崩溃,蹲在地上哭了起来。因为这些天,自己一直隐瞒家人,自己一个人也一直默默的安慰自己。
医生看到张姐情绪崩溃,连忙安慰道:“从目前病理结果来看,应该是一个早期原位癌,并没有发生转移。现在发现及时,治愈是完全可行的!”
听到医生这么一说,张姐顿时感觉好了许多。
经过医生的精准手术切除,加上本身就是一个早期原位癌,张姐术后也不需要进行放化疗辅助治疗,很快就康复出院了。
出院的时候,医生对张姐说:“这个乳房湿疹样癌,虽然临床治愈率比较高,但是临床还是很容易误诊和漏诊的!如果当初你没有听从医生的建议进行病理检查,现在结果可就不一样了!”
张姐自己十分庆幸,连忙向医生道谢!
其实,皮肤湿疹是一种十分常见的皮肤病,主要是因为内、外因素导致的真皮浅层及皮肤表层严重糜烂,可有十分严重的瘙痒,且长期不能愈合,病情易反复。

癌症
而乳房湿疹样癌则是因为真皮细胞发生了原位癌变,不再是简单的皮肤炎症,由于其外表看起来和湿疹很类似,临床表现及症状都像是慢性湿疹,因此称之为湿疹样癌,又称之为乳腺Paget’s病(译作“佩吉特病”或“派杰特病”)。临床主要表现为乳头乳晕皮肤瘙痒、糜烂、破溃、渗液、结痂、脱屑、伴疼痛等湿疹样改变,长期不愈合。
在日常生活中,正是由于湿疹样癌与常见的皮肤湿疹十分类似,普通老百姓是难以区分的。但是医生提醒,湿疹样癌比较喜欢生长在汗腺发达的地区,比如腋下、乳房、肛周、腹股沟等部位。如果这些区域出现久治不愈的湿疹样病灶,那么一定要引起重视,最好能及时前往医院进行病理检测。病理检查是发现湿疹样癌的“金标准”。
如何预防夏季因为出汗导致的湿疹等皮肤病?
由于夏季人体散热会大量出汗,因此很容易导致湿疹等皮肤病,而且湿疹具有较强的传染性,瘙痒难耐,对于家人的生活健康影响都是比较大的,因此夏季预防湿疹还是比较重要的。对于夏季预防湿疹应当从以下几方面:

乳腺癌
①勤换洗衣服
夏季出汗较多,其中很多代谢废物也会随着汗液一起留在衣服上,因此及时更换衣服,清洗衣服,晾晒衣服,都是十分重要的。确保自己每天都能穿上干净清爽的衣服,对于预防湿疹十分重要。
②生活环境要清洁干爽
生活环境保持清洁干爽,这样才能保证真菌、细菌等对皮肤有害的物质不易存在,这也能避免出现湿疹。
③注意保证充足的睡眠,提高免疫力
在日常生活中,要保证充足的睡眠,注意参加体育锻炼,积极进行户外运动,提高机体免疫力,这样也能抵挡病原微生物的侵袭,预防疾病。
最后提醒:对于乳房湿疹样癌,早发现早治疗,临床治愈率还是很高的。