拳击选手的一拳力量能有多大呢?我们一般看拳击比赛,看他们一回合出很多拳,拳击手看起来一点事都没有,这力量应该不是很大的吧?其实拳击擂台上面的每一拳都是我们普通人难以承受的,没有经受过训练的根本就忍受不住。就像下图这位英国拳王,一拳竟然把自己手打废了,

英国拳王
他就是英国著名拳王“阿米尔-可汗”,曾是WBA超轻量级世界拳王,相信熟悉拳击的应该知道他,他的右手就存在这一个硬伤,这个硬伤困扰了他多年,就是曾经自己的一个右钩拳,由于力量太大,导致自己右手手掌多处骨折,

英国拳王阿米尔可汗
下图是阿米尔-可汗早期做完手术的样子,他在强忍着完成比赛后,自己的手已经不行了,到了医院整个手已经肿成了猪头

阿米尔可汗
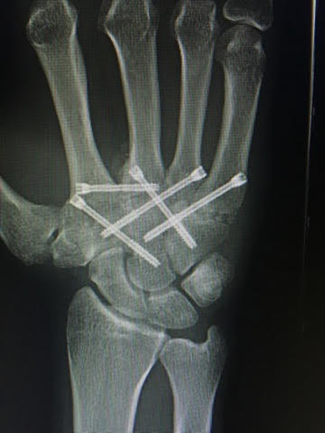
下图是他手掌的X光,显示着里面放着很多钢钉。从这可见有时候拳击选手的一拳,力量真的非常大,因为在拳击赛场上一拳把自己手打废,打伤的有很多,甚至还有被连续重拳打死的,还有一些身体器官被损坏的,就像下面这位,

阿米尔可汗
下图是自由搏击名将,成吉思汗达占巴,仔细看他现在的鼻子是歪的,这就是遭到了重击所导致的鼻梁骨骨折,而他由于需要连续比赛,在加上疏忽治疗,所以导致鼻梁骨无法正常恢复,所以就歪了。从此可见他们的一拳力量都是不小的。

成吉思汗
感谢你们的阅读!不管是综合格斗还是散打搏击,搏击教授每天都会更新最精彩,最好看的内容呈现给你们!