今天给大家分享一个常见的病例。
经常有患者因为胳膊、大腿、腰背部、颈肩部等摸着有肿块来医院检查,一般接诊这样的患者我们都会问,“发现多长时间了”,患者回答“好多年了,以前小,最近感觉长大了或者是没注意,偶然发现的”,继续问“别的地方还有吗”,回答“有,好多地方都有”,这种肿块摸起来很柔软、活动度比较好,超声检查下可见皮下脂肪层内低回声、等回声或者高回声结节,形态一般都比较规则,呈圆形或椭圆形,边界一般比较清晰,结节内部可见条索样高回声,结节内部一般无血流信号,探头加压结节可发生形变。超声诊断:脂肪瘤可能。
下面给大家分享一下有关脂肪瘤的相关内容。
脂肪瘤,顾名思义,其实就是由脂肪细胞组成的,它是常见的软组织良性肿瘤,通俗来说,有脂肪的地方就有可能有它,它一般发生在皮下脂肪层,所以一般我们都能用手摸到,但少部分它也可以发生深层组织中,比如肌肉组织内。脂肪瘤可大可小,小的仅有几毫米,大的可有数十厘米,一般生长缓慢,不会有什么症状,治疗方法一般为手术切除。
作为一名超声医生,其实更关注的是脂肪瘤的超声表现,它在超声上可以表现为低回声结节、等回声结节或者是高回声结节,形态一般呈椭圆形或者分叶状,边界清,结节内部一般无明显血流信号,不过这也要取决于脂肪瘤内部有无其他成分,如含有血管成分多,可伴有少量血流信号。
此外还有一个名词大家或许听得比较多,“富贵包”,有些人,尤其是肥胖的人脖子后边凸起一个包块,其实本质上就是异常的脂肪堆积,也是脂肪瘤。
通过上述的简单介绍,相比大家对于这个脂肪瘤有了一定的了解,它就是一般长在皮下脂肪层的一个良性的软组织肿瘤,可单发,也可多发,有些人浑身都长脂肪瘤,以后的生活中,如果发现身边人或者朋友四肢躯干、颈肩部、腰背部、腹部等摸着一个个的小疙瘩,不疼不痒,好长时间了,不放心就来医院做个超声检查,如果医生诊断了脂肪瘤,那就请大家不要过分紧张,它本质上就是脂肪(“俗称的一块肥肉”),是良性的,一般不需要特别处理,想要处理也很简单,手术切除就可以了。
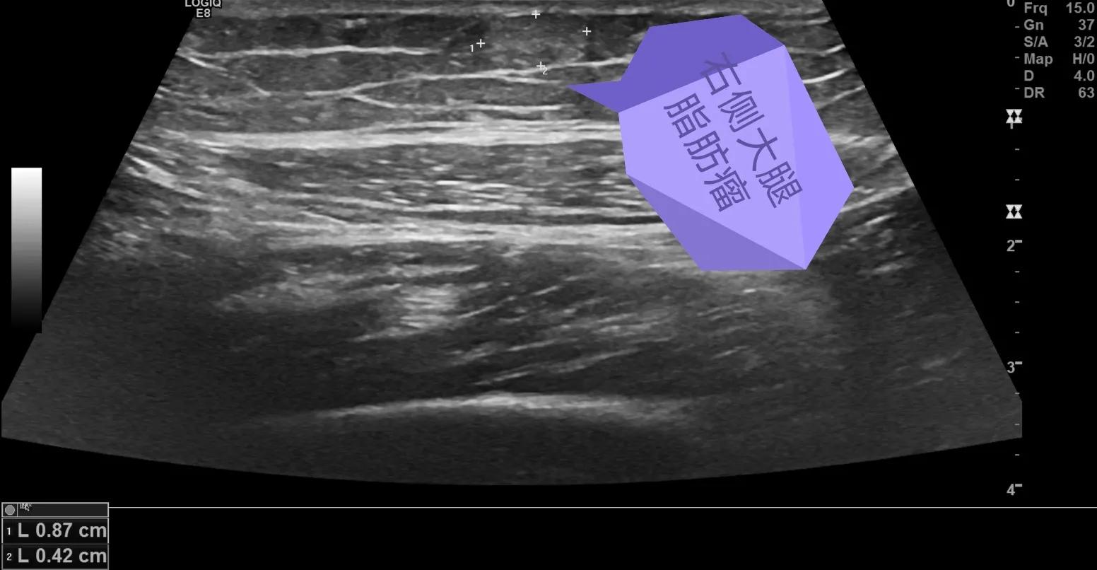
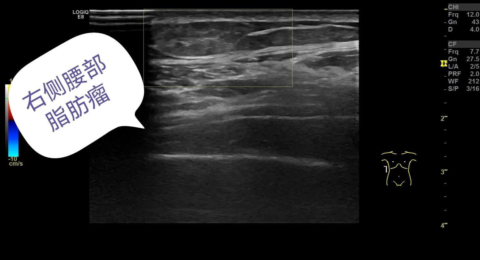
下面给大家分享几个我平时做的病例,发生在各个部位的脂肪瘤。

低回声的脂肪瘤,内部可见高回声的纤维分隔,可见少量血流信号

低回声的脂肪瘤,无血流信号

高回声的脂肪瘤

低回声的脂肪瘤

等回声的脂肪瘤,无血流信号
大家通过上述几个具体的病例图像,应该又有了更多的了解,以后如果我们大家看到手里的诊断报告,相信不会再紧张。
如果后续大家还有什么不明白的或者其他想了解的,尤其是关于超声方面的内容(比如看不懂的超声检查报告、诊断结果等等),可以评论区留言或者私信我,我会尽可能第一时间回复大家,给大家答疑解惑。[微笑][微笑][微笑][玫瑰][玫瑰][玫瑰]