医生,我是口腔癌患者,我坚持治疗,克服万难,好不容易捡条命回来!最后发现牙齿 全不 行了,黑的黑,坏的坏。
这是为什么呢?这位患者到底经历什么治疗?
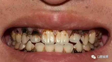
这种蛀牙的症状表现得非常有特色:龋损可发生于牙颈部、牙尖、切缘及牙光滑面,且进展迅速,可在数周内累及大多数或全口牙。
大家应该猜到了,这是头颈部肿瘤患者放射治疗后常见的口腔并发症之一,称为放射性龋。

既然并发症这么严重,为什么还要放疗?头颈部肿瘤的发病在全身恶性肿瘤的发病中约占5.0%左右,头颈部解剖结构具有复杂性,一旦发生肿瘤,临床治疗难度大,根治性切除 可能性低。故头颈部肿瘤患者的治疗主要是采用放射治疗的方法,放射治疗主要是针对局部肿瘤细胞进行充分的放射性射线照射,但治疗的同时无法避免对周围正常组织造成损害。
既然不可避免,但我们要把伤害降到最低!这是我们牙医肩负的重任!
放射性龋的危害

牙齿损伤属于迟发性放疗反应之一。具有高发、累及范围广、进展速度快、病情持续发展等特点,属于后期的放射损伤。放射性龋齿轻者可引起患者进食时牙齿疼痛,重者可致牙齿变尖、变黑,甚至完全脱落,严重影响了患者放疗后的咀嚼功能、社会交往及生存质量。心疼~
放射性龋为什么会发生?
(1)唾液问题:由于放疗对唾液腺的损伤是终生性的,唾液总量降至原来的10%~30%,其冲刷能力降低,导致食物及细菌残留量大大增加;唾液质量也降低,其有机成分增多呈黄色胶状物,易附着于牙齿表面,为细菌的粘附生长创造了条件,抗菌能力下降,使口腔内细菌量增加,菌种失调,致龋齿发生;唾液的润滑能力下降,使牙齿在咀嚼运动中阻力增加,牙齿本身被破坏,pH下降,唾液缓冲对减少,增加了酸对牙齿的破坏;
(2)患者自身的免疫力及自身修复能力下降,以上原因导致患者口腔内食物、菌群、牙齿之间的平衡失调使龋齿发生率大大增加。
我该怎么办?
在您下决心治癌的同时找一位靠谱的口腔医生。让口腔医师配合并参与头颈部肿瘤放射治疗,可最大程度减少或预防放射性龋的发生。
Ta会在放疗前完成对患者的评价、治疗、指导。评价全身、肿瘤及口腔情况;进行治疗口腔疾病,主要完成龋齿、牙髓炎、根尖周炎、牙龈炎、牙周炎、黏膜病的治疗,拔除无法保留或干扰日后修复的牙齿,拆除不良修复体。
放疗前治疗口腔疾病,Ta会指导患者掌握并坚持正确的口腔清洁方法,自觉形成进食后刷牙的习惯,局部使用含氟量高的牙膏并适时使用含氟凝胶。

放疗结束后患者每 3 ~4 个月复查口腔。常规检查:口腔干燥情况、唾液流 率、口腔清洁的效果,有无放疗并发症(口干燥症、放射性龋等),特别询问患者的口腔卫生习惯,适时预防性的局部用氟,定期安排头颈部肿瘤患者的口腔健康讲座。
由于放射性口干是终身的,Ta会与患者建立定期联系制度,让接受放射治疗的患者应终身坚持每3~6个月复查口腔,以便及时发现口腔清洁问题并早期发现放射性龋。
最后,需要提醒的是:放疗导致患者严重不适,也降低了患者进行口腔清洁的意愿和能力。同时患者可能更关注病情的发展,未充分认识到口腔清洁的重要性;另外,随着放疗的进展,其他药物的使用也会导致患者的低依从性,各种肿瘤的治疗措施导致患者没有足够的时间和精力去保持腔清洁。

所以,建立由口腔科、肿瘤科医生及药师、护士组成的多学科团队,制定基于循证证据的口腔照护策略,以改善患者的口腔健康行为是十分必要的。在制定口腔照护策略时要关注疾病状态以及治疗不良反应对患者的影响,除要提高患者的认知外,还要教会患者在不适的情况下如何保持口腔卫生。
作者 黄晶晶
修复硕士研究生