在我国很多人都存在吃东西出现牙齿酸软的问题,很多人都不当回事,牙齿酸软,很可能是身体给的“警钟”,正在预示你的牙齿出现问题:
1、蛀牙
牙齿烂了,在刷牙的时候、喝冷、热饮出现酸软的感觉。
解决办法:蛀牙后及时进行修补。

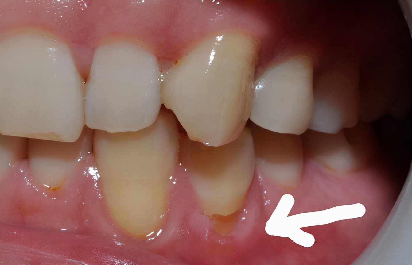
2、牙周炎
牙周组织萎缩,牙根暴露,牙齿根面容易受到冷热刺激,产生敏感,出现酸软无力症状。
解决办法:定期进行洁牙以及牙周刮治。

3、牙本质敏感
牙本质敏感多由于牙齿外层的牙釉质遭到破坏,导致牙本质暴露。当有冷热、酸甜等刺激,容易出现酸痛感觉。
解决办法:尽量少吃硬物,饮食均衡,严重的可到正规医院进行脱敏治疗。
4、锲状缺损
牙齿颈部出现缺损,这种情况多是由于刷牙方法、力度不对造成的。出现这种情况在有外来物质刺激时候,牙齿就会出现酸软、无力的状况。

解决办法:使用软毛刷头、学习巴斯刷牙法进行刷牙。
5、牙隐裂
牙齿表面产生非生理性的裂纹,当裂纹渗入牙本质的时候,牙齿就会出现酸软等问题。
解决办法:目前牙隐裂没有很好的治疗办法,更多的是在于预防,日常生活尽量少咬食硬物,不要用牙齿开酒瓶。

提醒:有牙齿问题的一定要及时解决,切不可拖,否则后果越来越严重,越来越难处理且预后效果差。