前几天我们聊了欧美突然爆发不明原因的儿童肝炎,今天我们再补充一些信息,继续探讨一下这个事儿。
根据欧洲疾控中心26日的报告,世界范围内已报告了超过190例的不明原因儿童肝炎病例,数量还在不断上升中。那么大家都在关心,这到底是怎么回事儿?

来自德国的最新临床研究,给了我们一种可能性。
4月21日,一篇题为《新冠疫苗可诱导CD8 T细胞显性肝炎》的文章,发表在肝病领域国际权威期刊《肝病学杂志》上,这项研究是由包括德国弗莱堡大学医学院、德国慕尼黑工业大学医学院病理研究所、德国癌症协会等多个单位联合进行的。


《肝病学杂志》2021年影响因子为25.083,是肝病领域排名第一的学术期刊,它的权威性不容置疑。所以这条消息一经爆出,也引发了国内多家媒体的报道和网友们的关注。

研究发现,辉瑞和德国BioNTech联合开发的mRNA新冠疫苗BNT162b2,可能引发一种罕见的以T细胞为介导的自身免疫性肝炎。
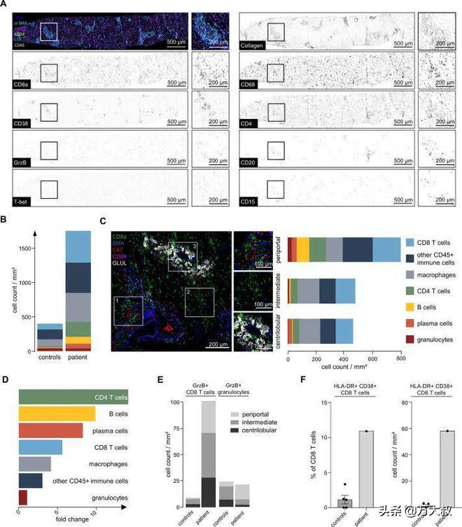
文章中披露了一位52岁男性患者的临床治疗情况。该患者在无其他病史的情况下,先 后两次接种了辉瑞的新冠疫苗,但巧合的是,每次都出现了急性肝炎。
他在接种第一针疫苗的10天后,出现黄疸,肝功能检查显示为急性混合性肝炎。并在第25天,住院接受治疗。
随后,他在第41天又接种了第二针疫苗,没想到过了20天,急性混合性肝炎复发,6天后再次入院接受治疗。
研究团队认为,该患者接种的BNT162b2疫苗,可能会引发以T细胞为介导的自身免疫肝炎。

不过必须要注意的是,这项研究的对象只是一个个例,基数比较小。
而在德国这项研究结果发表之前的4月8日, 欧洲药品管理局药物警戒风险评估委员会曾表示,现有的证据不支持新冠mRNA疫苗与自身免疫性肝炎之间存在因果关系。
当然,最关键的是,这项研究结果,仍然无法解释不明原因儿童肝炎的情况。因为在爆发数量最多的 英国,是不允许5岁以下儿童接种新冠疫苗的。 同时,世卫组织在4月23日也曾表示, 全球范围内的绝大部分儿童患者都未接种过新冠疫苗 。所以,英国专家和世卫组织都认为,这次的不明肝炎与新冠疫苗无关。
所以人们的目光又再次地回到了新冠病毒和腺病毒身上。

英国卫生安全局的统计数据显示,77%的病例检测出腺病毒。而从全球范围内来看,有74例病例中发现了腺病毒。另外,在20例感染新冠的病例中,有19例同时感染了腺病毒。
27日,美国威斯康星州卫生服务部表示,美国出现了首例不明原因儿童肝炎死亡病例,并且死因或与腺病毒有关。之前英国卫生安全局的专家指出,最有可能的触发因素是腺病毒。
所以,综合各种信息来看,貌似新冠病毒和腺病毒即便不是直接致病原因,也均无法摆脱嫌疑。因为有分析认为,肝炎与免疫力有关,儿童在感染新冠以后,免疫力会出现下降。与这种观点类似的是我国专家的推测,因为经常处于隔离状态,儿童长时间没有接触过病毒,突然接触会产生比较严重的免疫损伤,进而导致出现肝炎。
总之,不明原因肝炎这件事儿,想要弄清楚,还需时日。但需要注意的是,这次的不明肝炎具备了聚集性发病的特点,发病率超出了往年。 而且确诊病例数还在不断增加, 例如,28日葡萄牙出现了首例不明原因儿童肝炎,同一天,日本又出现2个疑似病例。
所以,大家要引起重视,家里有小朋友的,要保持好卫生、注意清洁和消毒,远离新冠和腺病毒,问题应该就不大了。