门诊上经常有孕妇因为牙疼来就诊,因为孕妇的特殊性,很多治疗和药物都不宜使用,所以治疗起来就比较麻烦,有些牙病只能缓解症状,待孕妇分娩之后才能做彻底治疗,这样一来孕妇要承受更多的痛苦,不仅影响孕妇个人身体,而且还会对胎儿的发育有一定影响。所以在备孕时,一定要去医院检查自己的口腔牙齿健康状况,如果有问题,应该在怀孕前及时处理。

备孕期应该处理的口腔牙齿问题,主要有以下几个方面:
1、牙龈炎。如果有牙龈炎或者牙周炎的情况,要做及时的治疗,包括洗牙、刮治、局部上药等措施。因为孕前有牙龈炎的话,怀孕之后由于激素水平的变化,牙龈炎症会加重,牙龈肿胀出血症状更加明显。建议孕前做一次洗牙,清除牙石、菌斑、色素沉着等。

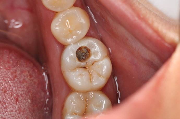
2、龋病。如果口腔内有蛀牙(龋齿),应该及时补牙,当浅龋、中龋的时候,没有不适症状,往往被忽视,在怀孕过程中,龋齿可能会发展为深龋,甚至牙髓炎。当深龋的时候,当食物进入牙洞后,容易引起明显的刺激痛;如果发展到牙髓炎,疼痛就非常明显了,无需刺激,牙齿会不定时的疼痛,尤其晚上疼痛更加明显,半夜因为牙疼来医院就诊的孕妇大多就是这种情况。

3、牙髓炎、根尖炎。如果孕前有牙齿已经发生了牙髓炎、根尖炎,一定要根据医生治疗方案,做好根管治疗。如果只是通过止痛片、抗生素药物,熬过了牙疼期,那怀孕后,近10个月的时间,牙疼肯定还会再复发,疼痛更剧烈。

4、智齿。如果大夫检查智齿长得不正需要拔除,或者之间经常发生智齿冠周炎,建议提前拔除智齿。如果怀孕期间发生了智齿冠周炎,不能应用有效的抗生素,只能局部冲洗用药消炎,病程会比较长,孕妇会承受更多的痛苦。

5、残根残冠。对于没有保留价值的残根残冠,建议提前拔除,以免孕期发生根尖炎;对于有保留价值,可以修复的残根残冠,要做好根管治疗,如果时间充裕,孕前做好冠修复,如果时间比较紧张,可以等生完孩子再做冠修复。

平时在门诊见到了太多孕妇牙疼的痛苦,所以备孕期做口腔牙齿的检查及牙病治疗很重要。