今天诊断了3例肺癌病人,有喜有忧,都很有代表性!
下面做个分享,希望读者朋友了解一些这方面知识。
幸运的病例1:
第一位是56岁的女士,咳嗽20多天,吃药不管用,主动要求做胸部CT检查:

在右下肺靠近边缘区,查出一个混合磨玻璃密度结节,伴有胸膜牵拉(红箭头),病灶边缘可见清晰的磨玻璃密度影(绿箭头),直径1.3cm。
我们前面的文章里提过:
1.边界清晰的混合磨玻璃密度结节,伴有胸膜牵拉,提示肺腺癌;
2.小于2厘米的早期肺癌,很少含有分化不良的成分。
所以这是一例早期肺腺癌,预后良好,手术切除可以治愈!
而且这个病灶位于肺边缘胸膜下,不需要开胸手术,采用胸腔镜下微创切除即可。
病人办了住院手术,将在近期手术,很幸运!
乐观的病例2:
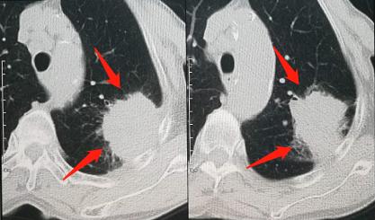
今天确诊的第二例肺癌患者,是一位92岁的老爷子,在家门口摔了一跤,胸口疼,孩子护送着来做胸部CT:

老爷子断了一根肋骨,不严重,休养一阵、预防感染就好,但同时,竟发现了周围型肺癌。
这个病灶跟上面的病人类似,也是混合磨玻璃密度结节,伴有胸膜牵拉,直径2.4cm。
如果是青壮年发现这种病灶,肯定首选手术切除。
考虑到老人92岁高龄,手术创伤大,不敢保证一切顺利。
那么,老人的孩子们问:这种情况不做手术可以吗?会不会影响寿命?
我们再细看这个病灶:红色箭头区为管状的支气管充气征,在肺腺癌病灶中见到支气管充气征,常提示肿瘤分化良好,提示预后较好;另外,病灶边缘的磨玻璃影在病理上属于贴壁生长,也是一种高分化。
一般来说,从病理角度,贴壁生长代表高分化,乳头样和腺泡样生长代表中分化,微乳头样和实性生长代表低分化。
所以这个病灶可以谨慎观察,暂不处理。
这个病灶应该已经存在好几年了,现在还没有任何症状。
抽烟60年的病例3:
第三例肺癌病人,是一位78岁的老太太,抽烟60年,嗯,从18岁就开始吸烟了,有多年的支气管炎和肺气肿(慢阻肺),胸部CT发现左上肺大肿块:

我们知道,慢阻肺是肺癌的高危人群之一,并且在正常肺与间质病变的边缘常高发肿瘤,以肺鳞癌最常见,其次是小细胞肺癌。
这是一例肺鳞癌。
在慢阻肺基础上发生的肺癌,常常预后不良,原因之一是患者的肺功能受多年吸烟的影响,已经下降好多。
而肺鳞癌大多对放疗敏感,这位老太太的病灶位于肺外围,方便放疗定位治疗,可以借以延长寿命。
病人家属说,要回去商量一下。
重申:吸烟是肺癌的高危因素,尤其是肺鳞癌和小细胞肺癌,这是我们倡导戒烟的依据之一。

成年人已经对*草烟**成瘾,很多人难以戒掉,但我们至少应监督孩子们不要学习吸烟!也不要在妇女儿童身边吸烟,杜绝二手烟对她们的伤害!
这里是影像科豪大夫,感谢您的阅读!
如有疑问可在留言区提问,我将尽量回复。