海都记者 杨清竹 通讯员 黎斌
因为月经不调、肥胖
一年多前在厦门一家医院治疗
长期服用黄体酮和达英35
16岁的龙海女孩玲玲(化名)
竟引发了脑出血
差点没命

达英35是啥?
玲玲的管床医生、第909医院神经外科副主任医师:
达英35是一种短效避孕药,长期服用可能导致静脉窦血栓。
玲玲是4月6日突然出现头痛、头晕和、呕吐的,起初症状较轻,她就没太在意。不料4天后,不仅上述症状加重了,而且左侧完全偏瘫、无法正常行走。
入院的相关检查发现,玲玲的头颅皮层下有出血,医生怀疑是静脉窦血栓引起的脑出血。后经静脉窦成像检查,明确是上矢状窦堵塞了三分之二。

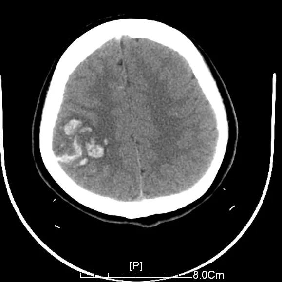
▲玲玲的右侧顶叶皮层散在出血
一般颅内出血需要止血药物治疗,可当时玲玲的顶叶血肿使用止血药物,不但起不到止血作用,还会加重静脉窦血栓,导致出血增加。
一旦顶叶血肿持续增加或局部脑水肿进一步加重,则随时都有脑疝的危险,甚至危及生命。
医务人员不敢有丝毫大意,通过采取尿激酶溶栓、肝素钙抗凝和改善循环等对症措施,先后三次进行腰椎穿刺监测颅内压变化情况,以及高压氧促进神经功能和肢体功能康复。
经过一周的精心治疗和护理,一度病危的玲玲生命体征逐渐平稳,于4月17日从重症病房转入普通病房进行后续治疗。
目前,玲玲神志清楚、言语正常,左侧肢体肌力明显改善,颅内压从入院时的 400毫米水柱下降到了150毫米水肿,头痛症状也基本消失。
为何避孕药会诱发脑出血?
医生解释道,避孕药含有大量孕激素,长期大量服用会使血液中的凝固成分增加,导致血液粘稠度增加与血流速度减缓,就很可能引发静脉窦血栓。
有统计表明,长期大剂量服用避孕药比未服用口服避孕药的健康女性,深静脉窦血栓的发生率会增加四至八倍。
医生提醒,调理月经服用避孕药有不少禁忌症,需专业医生指导,还要定期复查各项指标,尤其是处于发育期的女性,服用避孕药调节月经更应格外慎重。
若在服药期间出现腿痛、腿部肿胀、呼吸困难、胸痛等症状时,要尽快就医检查。
编辑:毋惊