每个爸爸妈妈在迎接新生命时
都怀着激动、喜悦的心情
宝宝呱呱坠地
带给家庭的幸福感是无以言语的
但新生儿出生时也会存在风险......
病情一览
宝宝小方6月15日于外院剖腹产出生,6月16日(出生第二天)发现右腿出现肿胀,随后孩子拍片发现右腿股骨骨折。听到才刚出生第二天的孩子发生了骨折,家属觉得简直太不可思议了,担忧、恐慌地四处寻求医生帮助。几经辗转,今天家属通过医生推荐找到了我会诊。今天恰好是周一全天门诊,看完门诊已是晚上19:00。家属非常焦急,因此我和助手顾不上吃饭就直奔外院给孩子会诊。
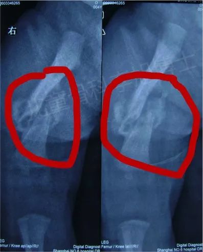
我们先来看看孩子出生第二天时拍的片子:

从片子上看,可以很明显地看到孩子右侧股骨骨折完全错位

李旭博士查看孩子情况中
这属于一种产伤,对于产伤导致的骨折的新生儿,李旭儿童骨科团队多年来已经接诊过太多病例了,对于新生儿产伤,在此您需要了解的是以下知识:
如何应对新生儿产伤导致的股骨骨折?
首先要给大家科普的是新生儿产伤导致的股骨骨折无需手术治疗!!
我们推荐一种特殊的固定方法——Pavlik吊带固定。对于6个月龄以内的孩子,这个方法可以保证绝大多数股骨干骨折得到良好的愈合而不留任何后遗症,现在让我们来看一看什么是Pavlik吊带以及如何穿戴,以下是今天的Pavlik吊带的部分穿戴视频。
视频加载中...
孩子穿戴结束后是这样的:

很可爱吧
其实很多家里有孩子为髋关节发育不良的妈妈,一看到这种吊带就会感到异常熟悉:这不就是我家宝宝6个月龄内带的吊带吗?
没错,其实治疗6个月龄以内的股骨干骨折和治疗小儿髋关节发育不良的,是同一种吊带。而它已经被全世界公认为治疗低龄股骨干骨折和髋关节发育不良的金标准。
现在大家再看一下我们之前治疗过的产伤病例:

孩子出生时发现股骨干骨折

佩戴Pavlik吊带两周后,骨折已初步愈合,大量骨痂形成

孩子5个月龄时复查,塑形完成
最后,祝孩子早日康复!