有些小朋友很爱喝可乐、雪碧...
家长一直不怎么放在心上
直到有一天牙面上出现了白斑
孩子的牙齿迅速龋坏
这时候家长才心急火燎地带孩子去看牙
这时候问题已经难以挽回...
所以这些白斑到底是怎么回事呢?
其实这很可能是牙齿矿化的表现
在科普之前
先来说说一种相似的牙齿疾病
叫做氟斑牙
它和牙齿矿化那样,会在牙面形成白斑

对症下药,才能药到病除!
牙齿脱矿和氟斑牙,都能造成牙齿出现白斑
但是,我们应该如何区分这两者呢?
看完这篇文章,你就知道!
氟斑牙的成因
氟斑牙是一种慢性氟中毒在牙齿中的表现,由于在牙齿在发育过程中,有高氟地区的生活史,过量的氟聚积在牙齿里面,形成了黄褐色或白色的斑块。


我国许多地区饮用水氟含量都高于正常值,东北、山西、陕西、山东、内蒙古、河南、云南、贵州等地区都是氟斑牙发生率较高地区。饮用水中的氟浓度越高,氟斑牙就越严重。

当人过了牙齿发育矿化的时期,也就是人在8岁以后,水中的氟含量再高也不会引起这种牙齿病变。但如果不加以治疗,这样的白斑就会跟着人的一生。
牙齿脱矿的成因
严重的脱矿,除去先天的因素,其中的一大原因,就是长期饮用碳酸饮料造成的。
饮料中的酸融化牙齿表面的牙釉质,早期的牙面形成小面积的白斑,如果不加以治疗,矿化会持续不断地进行,中期牙齿的透明度会不断下降,白斑会变成灰白色。

还有一种不那么严重的脱矿,是因为口腔中的致龋菌分解蔗糖产酸,而酸造成牙齿脱矿。牙齿不断矿化,形成龋洞。
牙齿脱矿和氟斑牙的症状区别
氟斑牙:氟斑牙的人在儿童期有高氟区生活史,而且左右牙通常对称发生。面积较大,白斑表面坚硬。
牙齿脱矿:正常情况下,釉质表面光滑,饱满有光泽。当牙齿脱矿的时候,下降变为灰白色,如果要进一步发展,出现黄褐色或暗棕色斑块,最终形成釉质龋洞。
还是不清楚它们的区别?看下图表格:

氟斑牙的治疗
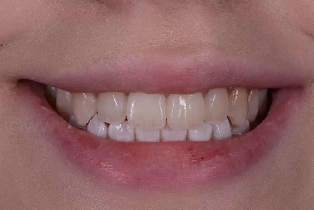
① 烤瓷冠/全瓷冠
在牙齿上套个更加美观的牙冠。重度的氟斑牙和缺损严重的牙齿更加适合这个方法。

② 3D超薄瓷贴面
如果牙齿没有较大的缺损,而只是色泽不佳,建议采用这种方法,可达到近乎完美的效果,坚固耐用,风靡全球的美齿黑科技。

牙齿脱矿的治疗
在白斑还不严重的初期,需要促进牙齿表面的再矿化:
①日常生活中避免牙齿接触酸性物质。
②每日认真刷牙,使用含氟牙膏、护牙素。
③前往医院进行专业的涂氟处理。
一旦白斑已经变为黑棕色的斑块,牙齿已经形成了龋洞了,一定要马上到专业的口腔机构进行补牙哟~