做好冠脉造影是开展PCI治疗的基本功。冠脉造影导管入冠困难的常见原因和处理方法?何时需要更换导管?桥血管造影的操作技巧有哪些?如何优化CTO病变造影展示?本期《CMIT周刊》邀请多位专家讲解上述“困难”冠脉造影的原因与对策,敬请关注!

导读
⊙技术1:经桡途径造影导管不能到位的情况及处理方法
⊙技术2:冠脉造影导管更换的时机与技巧
⊙技术3:桥血管造影导管选择、投照体位与操作技巧
⊙技术4:优化CTO病变展示的技巧与PCI策略制定
技术1
经桡途径造影导管不能到位的情况及处理方法
北京医院心内科张闻多介绍,桡动脉至主动脉窦沿途血管的解剖变异是导致桡动脉途径介入治疗失败的主要原因之一,因此,熟悉桡动脉径路血管解剖变异的类型并掌握各变异的处理技巧有助于提高经桡动脉(TRI)介入诊断和治疗的成功率。
1. 桡动脉迂曲
桡动脉迂曲在TRI中是一常见问题,约占3.8%~4.2%,桡动脉迂曲的部位在桡动脉近心端三分之一处,老年及女性患者的发生率要明显高于其他人群。根据桡动脉迂曲的形态可进一步将其细分“S”、“α”、“Ω”以及“Z”等多种类型,其中以“S”和“Ω”形迂曲最为常见,不同类型的桡动脉迂曲处理难度亦不相同,例如桡动脉“S”形迂曲的处理相对较为容易,其操作成功率要高于其它类型的桡动脉迂曲。

“S”

“α”

“Ω”
2. 桡动脉痉挛
桡动脉直径较细且富含α1肾上腺素能受体,加之前臂皮肤对疼痛敏感,在精神紧张、操作粗暴、疼痛刺激时易发生痉挛。发生率早年报道高达10%~15%,随着器械和技术进步,在技术成熟的介入中心,严重桡动脉痉挛发生率已经降低到1%左右。
桡动脉痉挛的常见处理方法如下:
①镇静、止痛或鞘管内反复注射抗痉挛药物,包括硝酸甘油200μg,利多卡因10mg,维拉帕米200μg或地尔硫䓬2.5~5mg,法舒地尔30mg,或上述药物组成的各种鸡尾酒配方。
②换用0.014”PTCA导丝,尽量减小导管尺寸,导管前进时避免直接推送,螺旋形前进可能有助于通过痉挛节段。
③罕见情况下,导管被痉挛节段咬住而且解痉药物无效时,可尝试臂丛神经麻醉或全麻。
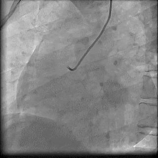
2014年,Patel T等首先采用球囊辅助通过技术(Balloon-assisted tracking,BAT),用于通过桡动脉途径中扭曲、细小节段(包括严重痉挛节段)(图1-2)。

图1

图2 BAT技术应用实例1。52岁女性患者冠脉严重痉挛(A),注射2次鸡尾酒后仍未缓解(B),采用BAT技术(C),顺利介导7F指引导管通过桡动脉严重痉挛节段(D)
3. 前臂动脉分支异常
常见类型包括高位桡动脉、高位尺动脉、双桡动脉、双尺动脉和副肱动脉等,其中高位尺动脉、双尺动脉以及双桡动脉一般不会对TRI的操作带来影响,其中高位桡动脉和副肱动脉的处理尤为重要。
高位桡动脉是前臂动脉分支异常中最常见的类型,发生率大约为2.4%~8.3%,多半存在高位桡动脉的患者中约2/3起源于肱动脉,通常对于起源于肱动脉水平的高位桡动脉患者TRI的治疗成功率相对较高。另约1/3患者的桡动脉起源于腋动脉,又分为三种常见的类型(图3):

图3 桡动脉起源于腋动脉的三种常见类型
第一类为桡动脉直接从腋动脉发出,与肱动脉、尺动脉间无交通支存在;

高位桡动脉-1型
第二类为桡动脉起源于腋动脉,在肘关节水平与肱动脉和尺动脉间存在有交通支;

高位桡动脉-2型
第三类自腋动脉发出细小桡动脉支,但在肘关节水平有较大的桡-尺吻合支。

高位桡动脉-3型
4. 桡尺动脉环
桡尺动脉环是一种相对少见的解剖变异类型,发生率大约在1%左右,其典型表现为桡动脉近端在肘关节部位附近形成一袢状结构后再汇入肱动脉。桡尺动脉环的位置相对较高,桡动脉鞘多能成功置入,但送入导引钢丝进入肱动脉时常会受阻。由于桡尺环多合并走行较直、近心走向的小分支,长超滑导丝很容易误入该分支血管,如果强行推送导丝,很容易造成该分支血管穿孔而引发前臂张力性血肿。

桡尺动脉环
5. 桡动脉发育不良

6. 肱动脉迂曲
肱动脉迂曲的发生率较低,且常常较粗大,走形直。对于前臂和上臂段的动脉迂曲,标准导丝能通过但导管不能通过的情况,可使用球囊“寻径”法(Balloon tracking technique)更换PTCA导丝,先送球囊后跟进导管。

7. 副肱动脉
也是临床上常见的一种变异类型,腋动脉在肩部水平发出双肱动脉,其中一支平行于肱动脉主支,管径较细的分支血管称之为副肱动脉。经桡动脉介入治疗时,超滑导丝通常能顺利通过副肱动脉到达腋动脉,但如果导管误入副肱动脉,常会发生推送阻力增加或推进受阻的情况。经导管动脉造影可以很容易地证实副肱动脉的存在。由于副肱动脉管腔较小且易发生痉挛,因此导管误入副肱动脉后切忌在副肱动脉内过多操作,避免引发血管痉挛,应先通过造影了解血管走行状况,在透视下调整导丝至主肱动脉后再沿送导管。

8. 肱动脉其他异常

肱动脉弥漫狭窄,斑块负荷重
9. 锁骨下动脉和头臂干迂曲
锁骨下动脉和头臂干迂曲也是一种常见的变异类型,是影响TRI操作成功的重要原因之一,多见于高血压、老年患者。锁骨下动脉和头臂干迂曲不仅会增加导丝、导管通过的难度,而且会增加患者发生血管痉挛和导管扭折的风险。
处理锁骨下动脉和头臂干迂曲的常用方法是:选用亲水涂层导丝试图通过迂曲动脉段,时可嘱患者配合深吸气动作以减轻血管的迂曲程度,也可考虑前送造影导管至血管迂曲段,通过旋转导管调整导丝的尖端走向,有助于导丝顺利通过。

10. 锁骨下动脉闭塞

11. 食管后起源右锁骨下动脉
食管后起源右锁骨下动脉是一种较为少见的变异类型,发生率约为0.5%,食管后起源右锁骨下动脉是在右颈总动脉、左颈总动脉和左锁骨下动脉发出后直接起源于主动脉,随后绕行于食管的后方(图4)。由于食管后起源右锁骨下动脉进入主动脉的位置过于靠后,因此操作导引钢丝时非常容易进入降主动脉,此时前送造影导管至右锁骨动脉在主动脉的入口部,通过逆时针旋转导管使导管尖端指向升主动脉方向后再前送导丝。但即使应用上述方法也很难使导丝到位,大多数情况下不得不更换为对侧桡动脉或股动脉路径。

图4 食管后起源右锁骨下动脉

图5 食管后起源右锁骨下动脉造影导管到位处理:先尝试常用方法,包括选用亲水涂层导丝、前送导丝时患者深吸气以拉直血管、利用造影导管的头端弯曲调整导丝的尖端走向、利用导管和导丝的相对运动前送导丝等等,努力将导丝送入升主动脉
12. 一些少见动脉畸形

观点总结

1. 经桡动脉路径困难最常见的是冠脉痉挛。
2. 肱动脉,腋动脉以及头臂干迂曲一般可通过更换亲水导丝、小心扭控导丝和导管完成造影。
3. 桡动脉严重迂曲和变异以及食管后起源右锁骨下动脉,往往更改穿刺路径,更改穿刺路径可以优选肱动脉,或对侧桡动脉及尺动脉。
技术2
冠脉造影导管更换的时机与技巧
阜外医院心脏中心胡奉环介绍,影响冠脉造影成功的因素包括:升主动脉根部内径大小、冠脉开口位置是否正常、造影导管选择合适与否以及术者操作技术。
一、经股动脉途径冠脉造影
首选JL4.0,JR4.0,Tiger导管,一般均能完成。升主动脉增宽时,应更换大号导管,如JL5.0,JL6.0;JR5.0;升主动脉偏细时,更换小号导管,如JL3.5;JR3.0。
经股动脉途径左冠脉造影(方法1)

1、导管送至近左冠开口水平,缓慢撤出导丝;
2、缓慢前送或旋转导管。
经股动脉途径左冠脉造影(方法2)

1、导管送至冠脉窦底,缓慢撤出导丝;
2、缓慢上提导管至冠脉口水平,或需要轻轻旋转导管。
经股动脉途径右冠脉造影

1、导管送至窦底,慢慢撤出导丝;
2、顺时针旋转导管,同时上提导管至开口水平。
二、冠脉造影何时需要更换导管?
1.常规导管不易完成
(1)主动脉窦部异常增宽或偏细
-
升主动脉增宽时,应更换大号造影导管,如JL5.0,JL6.0;JR5.0;
-
升主动脉偏细时,更换小号造影导管,如JL3.5;JR3.0;
-
上述导管仍不能完成,则需更换特殊造影导管AL1.0,AL1.5等。
(2)冠脉开口异常
常规造影导管不易找到异常冠脉口部,或造影结果不清楚。
第一步:在主动脉窦部行非选择性造影(包括升主动脉造影),寻找异常开口位置;
第二步:更换特殊的造影导管,如AL1.0,AL1.5或其它。
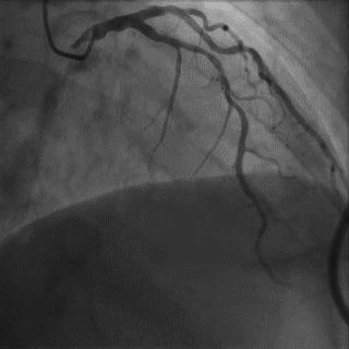
➢ CASE 1

➢ CASE 2

右冠起源异常,开口于左冠窦
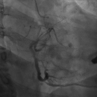
(3)冠状动脉静脉桥血管
首选导管:JR4.0;
其他导管:AL 1.0;AR 1.0
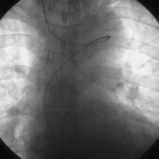
操作:升主动脉造影,寻找静脉桥血管
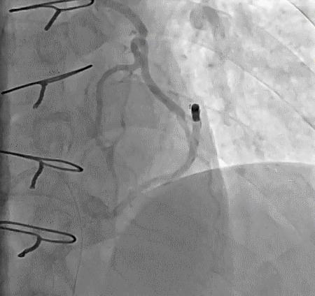
➢ CASE 3

AL1.0
➢ CASE 4

➢ CASE 5

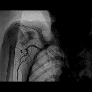
升主动脉造影未见桥血管显影,原位血管造影也没发现竞争血流迹象,可以确定桥血管已闭塞,必要时可以借助冠脉CTA辅助诊断
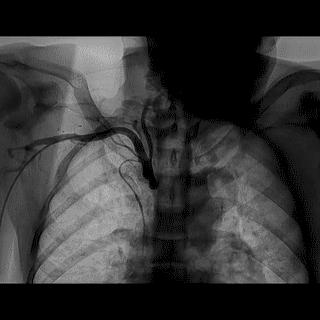
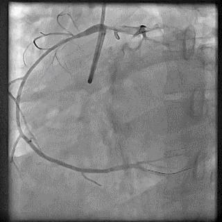
(4)LIMA桥血管造影
首选导管:JR4.0导管
其他导管:如果开口明显成角应选用专用的内乳动脉造影导管
➢ CASE 6

经股动脉途径TIG,非选择造影如果能清晰显影,可不做超选造影
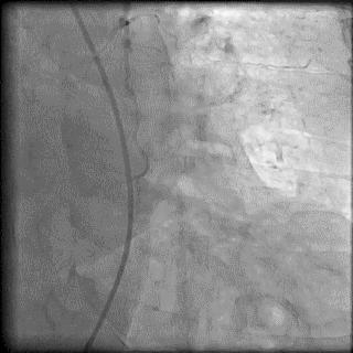
➢ CASE 7

经左侧桡动脉途径JR4.0,非选择造影如果能清晰显影,可不做超选造影
2.安全方面考虑
(1)导管总进圆锥动脉
➢ CASE 8

必要时更换导管,避免并发症的发生
(2)口部病变

应换短头、小号导管,轻柔少量注射对比剂
观点总结
1. 根据升主动脉窦部宽部、冠脉起源位置等解剖因素,判断导管大小是否合适,及时更换导管。
2. 开口病变,特殊解剖等复杂高危造影,为保证操作安全,需要及时更换导管。
3. 常规导管不能发现冠脉血管、桥血管开口时,及时进行窦部造影或升主动脉造影,寻找冠脉开口位置。
未完待续