你笑起来真好看
像春天的花儿一样
爱笑的孩子突然不笑了
是什么夺走了孩子的微笑
又该怎么解决
今天统统告诉你
为什么孩子不爱笑了?为什么孩子笑到一半时又马上捂嘴?
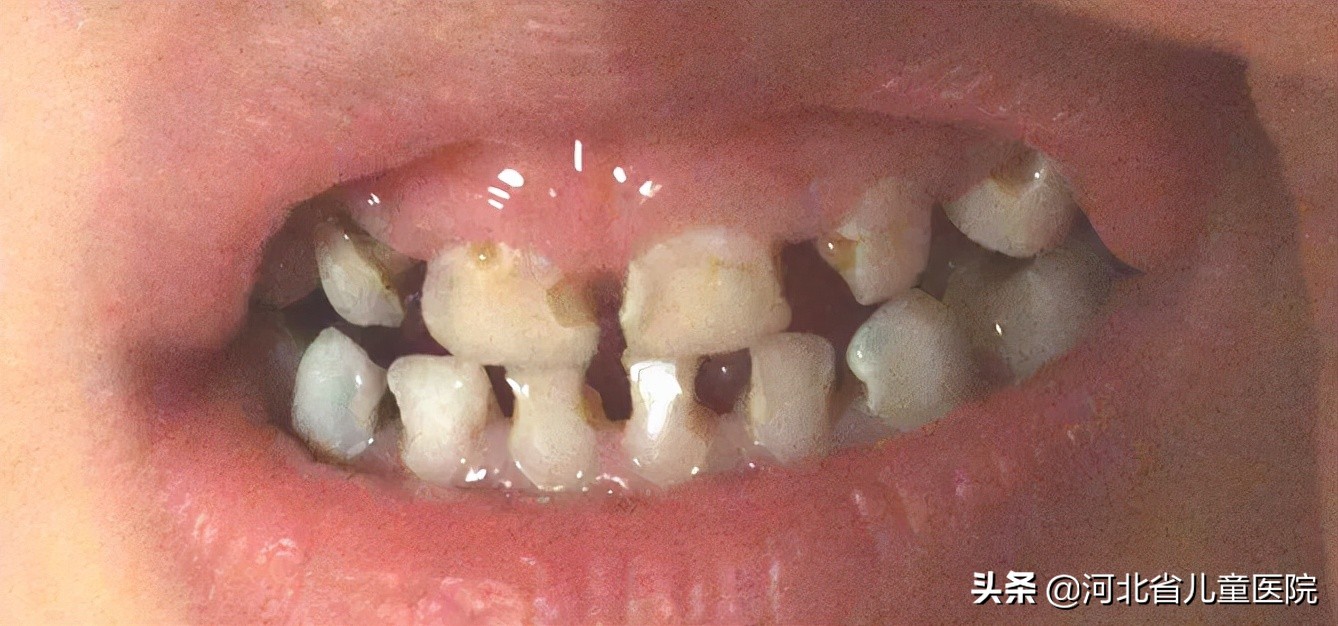
当你发现,孩子一笑就露出一排黑色的小牙齿时,问题的答案也就显而易见了——是龋齿夺走了孩子的笑容。
龋齿的危害
儿童龋齿尤其是当乳前牙龋坏时,会造成其特有的不良影响:

1.乳前牙龋齿会产生冷热敏感、甚至疼痛;
2. 乳前牙龋齿会改变牙齿形态,影响准确发音和面型美观;
3.乳前牙龋齿会影响恒牙萌出和颌面部骨胳的生长发育; 严重龋坏导致牙体缺失时将影响儿童的发音,造成伸舌等不良习惯;
4.乳前牙龋齿影响儿童的心理健康。
病例介绍
3岁的果果乳牙龋坏半年多,对持续加重的龋坏牙齿,父母十分担忧,于是来到河北省儿童医院中西医结合院区口腔科。
针对龋坏的乳前牙,口腔科医生对其龋坏的全口乳牙进行了治疗,他们为果果选择了 透明预成冠修复 的治疗方式。


修复前后
经过透明预成冠修复治疗后,果果小朋友再次从镜子中看到了自己洁白的牙齿,脸上洋溢出灿烂的笑容。
门牙的龋坏不但影响宝宝的颜值,还会影响到孩子的自信心,但是单纯的充填很容易脱落,那么有什么更完美的解决方法呢?

今天就带大家了解一下乳前牙龋齿修复的“明星方法”——乳牙透明预成冠。
乳牙透明预成冠修复

乳牙透明预成冠是一种外壳透明、与牙齿形态相近的预成冠套。在其内部充填树脂,套于预备好的龋坏乳牙上,待树脂固化后去除冠套,达到美容修复龋坏乳牙目的的技术。
乳牙透明预成冠修复治疗的优点

1.乳前牙透明预成冠与牙齿的接触面较多,延展性较高,边缘折断情况较少,固位性更强,修复成功率高于传统树脂修复,尤其具有良好的远期疗效;
2.透明预成冠外形恢复自然,表面光滑,色泽同天然牙接近,美观性能好,咬合和邻接关系佳;

3.透明预成冠在稳定性及减少修复后并发症上都具有明显优势,因而长期疗效相对较好;
4.透明预成冠无需再次抛光,缩短治疗时间,短时间内可以恢复牙齿外观及功能,改善患儿咬合力、咀嚼效率,有助于儿童颌骨发育。
综上所述,乳牙透明预成冠修复具有操作方便,修复迅速、美观性好、边缘密合度高、微渗漏低、邻接关系佳、固位好等优点,治疗满意度和修复成功率均较高。