
天坛医院颅内动脉血管内介入治疗团队周记(2017.11.6-2017.11.10)
作者:董欢欢,李新明,孙瑄,马宁
单位: 首都医科大学附属北京天坛医院
单纯球囊扩张是颅内动脉狭窄血管内介入治疗的干预手段之一,适于较直的局限性狭窄,在此领域缪中荣教授2011年既有报道(Neuroradiology,2011,53:651-657)。部分病例术后远期出现再狭窄,如合并症状可再次进行干预治疗。本周我们汇报一例近期完成的基底动脉重度狭窄球囊扩张术后1.5年再狭窄血管内介入治疗过程。
病例详情
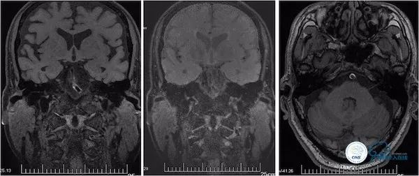
患者,男,69岁,主因“基底动脉球囊扩张术后1.5年,发作性头晕2月”入院。患者1年9个月前(2016-2)出现发作性头晕,持续数分钟后缓解,反复发作后遗留头昏沉感及走路不稳伴行走右偏,就诊附近医院,MRI示双侧小脑半球多发栓塞(图1)。

图1
MRA示基底动脉近段重度狭窄(图2)。

图2
予以双联抗血小板(拜阿司匹林100mg 1/日+氯吡格雷 75mg 1/日)、降脂(阿托伐他汀20mg 1/日)等治疗,仍有症状反复,遂就诊我科。
行头颅DSA示左椎动脉优势,左椎动脉V2段迂曲,基底动脉下段重度狭窄;左颈动脉造影见左后交通动脉开放,向双侧大脑后动脉及基底动脉远段代偿(2016-4-11,图3、4、5)。

图3

图4

图5
高分辨核磁示(图6):基底动脉斑块形成,横断面可见斑块内出血。

图6
考虑到基底动脉下段重度狭窄,斑块波及范围虽然较长,但最重处较为局限,故选择Gateway2.0×9mm球囊对狭窄最重处予以扩张,扩张后造影示残余狭窄约30%(2016-4-13,图7)。

图7
术后坚持规范服用双联抗血小板聚集及他汀类药物,未再发头晕。患者术后3个月及术后1年复查CTA及灌注CT(图8,9)提示:基底动脉下段狭窄,后循环区域可见低灌注。

图8

图9
术后CTA虽提示狭窄程度加重,但患者无新发症状,改为单抗继续保守治疗。
患者2月前(2017-8)活动后出现头晕,伴有双下肢无力,短期内发作4-5次,每次持续1-2分钟缓解。外院头颅MRI未见新发梗死,改为双抗治疗后仍未缓解,遂再次收住院。
既往 “冠心病”病史2年。
入院神经系统查体无阳性定位体征。
入院后给予双联抗血小板及降脂治疗。
LDL:2.14mmol/L 血栓弹力图:AA100% ADP50.9%。
入院后头颅CTA+CTP示(图10,11):基底动脉近段狭窄程度同前,中段狭窄程度进展,与近端狭窄形成串联狭窄。后循环低灌注较前有加重。

图10

图11
高分辨核磁示(图12):基底动脉多发管壁不均匀偏心性增厚,增强呈局部不均匀强化,Mprage提示斑块内出血。

图12
术前讨论
1.患者基底动脉狭窄球囊扩张术后再狭窄,伴发新症状,有血管内介入治疗指征。2.本次病变为串联病变,拟选用稍长的球囊扩张,再放置自膨支架。3.主要风险:穿支损伤。4.血管整体较为迂曲,球囊或者支架输送系统有到位困难的可能。
治疗过程简述:
全麻下右股动脉入路,放置7F长鞘(70cm)置于左锁骨下动脉近端,沿长鞘送入5F Navien导管(115cm)至左椎动脉V2段远端(图13)。

图13
造影示基底动脉中下段重度狭窄,近端狭窄可见局部斑块掀起,类似夹层样改变(图14)。

图14
路径图下将Traxcess微导丝(0.014”,200cm)在Echelon-10辅助下放置在右大脑后动脉P2段,交换送入Transend微导丝(0.014”,300cm),沿微导丝送入Gateway(2.0mm×15mm)球囊预扩张(图15)。

图15
后更换Select Plus微导管至右侧大脑后P2段,沿微管送入Enterprise自膨式支架(4.5mm×37mm),到位后释放,造影示:支架贴壁良好,前向血流TICI3级,残余狭窄约30%(图16)。

图16
术后查体同前,术后即刻复查头颅CT未见出血。术后复查头颅CTA示基底动脉支架内通畅(图17)。

图17
灌注CT示后循环低灌注区较前改善(图18)。

图18
讨论
1. 对于短且较直的颅内狭窄,单纯球囊扩张是风险较小的临床操作,但要考虑到如形成夹层或者明显扩张后弹性回缩,需要置入支架补救。对于本例患者在第一次干预治疗时,尽管斑块波及范围较广,但狭窄最重处较为局限,所以选择短球囊单纯扩张治疗。2.第二次干预治疗选择放置支架是因狭窄程度加重,局部斑块掀起,单纯球囊扩张有可能会造成斑块进一步撕裂,针对类似病变扩张后置入支架可能会更安全。3.两次干预都选择2mm的球囊,主要是避免过大球囊损伤边支和穿支动脉的风险,但也遗留一定程度的残余狭窄,第二次治疗的远期疗效还待未来随访观察。